Edible mushroom (Pleurotus cornucopiae) extract vs. glibenclamide on alloxan induced diabetes: sub-acute in vivo study of Nrf2 expression and renal toxicity.

IF 1.2 Q3 ANATOMY & MORPHOLOGY
Anatomy & Cell Biology Pub Date : 2024-09-30 Epub Date: 2024-07-05 DOI:10.5115/acb.24.054
Chinedu Godwin Uzomba, Uchenna Kenneth Ezemagu, Mary-Sonia Ofoegbu, Njoku Lydia, Essien Goodness, Chinedum Emelike, Uchewa Obinna, Alo Joseph Nwafor, Ejikeme Felix Mbajiorgu
{"title":"Edible mushroom (<i>Pleurotus cornucopiae</i>) extract vs. glibenclamide on alloxan induced diabetes: sub-acute <i>in vivo</i> study of Nrf2 expression and renal toxicity.","authors":"Chinedu Godwin Uzomba, Uchenna Kenneth Ezemagu, Mary-Sonia Ofoegbu, Njoku Lydia, Essien Goodness, Chinedum Emelike, Uchewa Obinna, Alo Joseph Nwafor, Ejikeme Felix Mbajiorgu","doi":"10.5115/acb.24.054","DOIUrl":null,"url":null,"abstract":"<p><p>The study aims to compare the action of <i>Pleurotus cornucopiae</i> and glibenclamide on alloxan-induced diabetes and ascertain how an aqueous extract of the edible mushroom regulates the expression of nuclear factor erythroid 2-related factor 2 (Nrf2), oxidative stress biomarkers and renal toxicity in a diabetic male Wistar rat model. Twenty-five adult male Wistar rats were randomly grouped into five groups with five rats per. Group 1 and those in the treatment groups received normal feed and water <i>ad libitum</i>. Group 2 received intraperitoneal administration of alloxan monohydrate (150 mg/kg body weight). Group 3 received alloxan monohydrate and glibenclamide (5 mg/kg body weight bwt), group 4 received alloxan monohydrate plus the extract (250 mg/kg bwt) and group 5 received alloxan monohydrate plus the extract (500 mg/kg bwt). The administration of glibenclamide plus the extract was oral for 14 days. Glibenclamide and the extract lowered blood glucose level, catalase, and glutathione peroxidase activities, increased the superoxide dismutase (SOD) activity in rats with alloxan induced diabetes. The extract at 500 mg/kg bwt reduced the plasma urea and sodium concentration in the treated rats. The extract and glibenclamide could detoxify alloxan and restore its induced renal degeneration and glomeruli atrophy, intra renal hemorrhage and inflammation and oxidative biomarkers through activation of Nrf2 expression. The drug glibenclamide and <i>P. cornucopiae</i> have appreciable hypoglycemic activity and potential to restore the normal renal architecture in the rats, hence they offer similar curative effects. Additionally, the extract at 500 mg/kg bwt activated SOD and Nrf2 expression more than glibenclamide in rats with alloxan-induced diabetes.</p>","PeriodicalId":7831,"journal":{"name":"Anatomy & Cell Biology","volume":" ","pages":"446-458"},"PeriodicalIF":1.2000,"publicationDate":"2024-09-30","publicationTypes":"Journal Article","fieldsOfStudy":null,"isOpenAccess":false,"openAccessPdf":"https://www.ncbi.nlm.nih.gov/pmc/articles/PMC11424557/pdf/","citationCount":"0","resultStr":null,"platform":"Semanticscholar","paperid":null,"PeriodicalName":"Anatomy & Cell Biology","FirstCategoryId":"1085","ListUrlMain":"https://doi.org/10.5115/acb.24.054","RegionNum":0,"RegionCategory":null,"ArticlePicture":[],"TitleCN":null,"AbstractTextCN":null,"PMCID":null,"EPubDate":"2024/7/5 0:00:00","PubModel":"Epub","JCR":"Q3","JCRName":"ANATOMY & MORPHOLOGY","Score":null,"Total":0}
引用次数: 0

Abstract

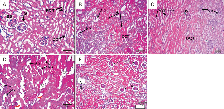
The study aims to compare the action of Pleurotus cornucopiae and glibenclamide on alloxan-induced diabetes and ascertain how an aqueous extract of the edible mushroom regulates the expression of nuclear factor erythroid 2-related factor 2 (Nrf2), oxidative stress biomarkers and renal toxicity in a diabetic male Wistar rat model. Twenty-five adult male Wistar rats were randomly grouped into five groups with five rats per. Group 1 and those in the treatment groups received normal feed and water ad libitum. Group 2 received intraperitoneal administration of alloxan monohydrate (150 mg/kg body weight). Group 3 received alloxan monohydrate and glibenclamide (5 mg/kg body weight bwt), group 4 received alloxan monohydrate plus the extract (250 mg/kg bwt) and group 5 received alloxan monohydrate plus the extract (500 mg/kg bwt). The administration of glibenclamide plus the extract was oral for 14 days. Glibenclamide and the extract lowered blood glucose level, catalase, and glutathione peroxidase activities, increased the superoxide dismutase (SOD) activity in rats with alloxan induced diabetes. The extract at 500 mg/kg bwt reduced the plasma urea and sodium concentration in the treated rats. The extract and glibenclamide could detoxify alloxan and restore its induced renal degeneration and glomeruli atrophy, intra renal hemorrhage and inflammation and oxidative biomarkers through activation of Nrf2 expression. The drug glibenclamide and P. cornucopiae have appreciable hypoglycemic activity and potential to restore the normal renal architecture in the rats, hence they offer similar curative effects. Additionally, the extract at 500 mg/kg bwt activated SOD and Nrf2 expression more than glibenclamide in rats with alloxan-induced diabetes.

Abstract Image

Abstract Image

Abstract Image

食用菌提取物与格列本脲对阿脲诱导糖尿病的影响:Nrf2表达和肾毒性的亚急性体内研究。
本研究旨在比较褐飞虱和格列本脲对阿脲诱导糖尿病的作用,并确定食用菌水提取物如何调节糖尿病雄性 Wistar 大鼠模型中核因子红细胞 2 相关因子 2 (Nrf2)、氧化应激生物标志物和肾毒性的表达。将 25 只成年雄性 Wistar 大鼠随机分为 5 组,每组 5 只。第 1 组和治疗组大鼠自由摄入正常饲料和水。第 2 组腹腔注射一水阿脲(150 毫克/千克体重)。第 3 组接受一水阿脲和格列本脲(5 毫克/千克体重),第 4 组接受一水阿脲加提取物(250 毫克/千克体重),第 5 组接受一水阿脲加提取物(500 毫克/千克体重)。格列本脲和提取物口服 14 天。格列本脲和提取物降低了阿脲诱导糖尿病大鼠的血糖水平、过氧化氢酶和谷胱甘肽过氧化物酶活性,提高了超氧化物歧化酶(SOD)活性。每千克体重 500 毫克的提取物可降低治疗大鼠的血浆尿素和钠浓度。通过激活 Nrf2 的表达,提取物和格列本脲可以解毒阿脲,恢复阿脲诱导的肾脏变性和肾小球萎缩、肾内出血、炎症和氧化生物标志物。药物格列本脲和玉米须具有明显的降血糖活性和恢复大鼠正常肾脏结构的潜力,因此它们具有相似的治疗效果。此外,在阿脲诱导的糖尿病大鼠体内,500 毫克/千克体重的提取物比格列本脲更能激活 SOD 和 Nrf2 的表达。
本文章由计算机程序翻译,如有差异,请以英文原文为准。
求助全文
约1分钟内获得全文 求助全文
来源期刊
Anatomy & Cell Biology
Anatomy & Cell Biology ANATOMY & MORPHOLOGY-
CiteScore
1.80
自引率
9.10%
发文量
75
×
引用
GB/T 7714-2015
复制
MLA
复制
APA
复制
导出至
BibTeX EndNote RefMan NoteFirst NoteExpress
×
提示
您的信息不完整,为了账户安全,请先补充。
现在去补充
×
提示
您因"违规操作"
具体请查看互助需知
我知道了
×
提示
确定
请完成安全验证×
copy
已复制链接
快去分享给好友吧!
我知道了
右上角分享
点击右上角分享
0
联系我们:info@booksci.cn Book学术提供免费学术资源搜索服务,方便国内外学者检索中英文文献。致力于提供最便捷和优质的服务体验。 Copyright © 2023 布克学术 All rights reserved.
京ICP备2023020795号-1
ghs 京公网安备 11010802042870号
Book学术文献互助
Book学术文献互助群
群 号:604180095
Book学术官方微信