A Case of Neglected Posterior Fracture Dislocation of the Shoulder Treated With Greater Tuberosity Osteotomy.

IF 0.6 Q4 ORTHOPEDICS
Case Reports in Orthopedics Pub Date : 2024-06-11 eCollection Date: 2024-01-01 DOI:10.1155/2024/6486750
Masashi Koide, Satoshi Tateda, Sayaka Miyasaka, Akihiro Yasuyama, Yoichi Sasaki, Mika Abe
{"title":"A Case of Neglected Posterior Fracture Dislocation of the Shoulder Treated With Greater Tuberosity Osteotomy.","authors":"Masashi Koide, Satoshi Tateda, Sayaka Miyasaka, Akihiro Yasuyama, Yoichi Sasaki, Mika Abe","doi":"10.1155/2024/6486750","DOIUrl":null,"url":null,"abstract":"<p><p>Posterior dislocation of the shoulder joint is a rare condition. It is often misdiagnosed owing to a lack of evident clinical features compared with anterior shoulder dislocation, and inappropriate radiological examination. We present a case of chronic posterior fracture dislocation treated with greater tuberosity osteotomy. A 66-year-old man was injured in a fall while carrying a drone. He was referred to our hospital following 3 months of conservative treatment at a nearby clinic, without reduction of the posterior dislocation. Physical examination revealed a prominent reduction in shoulder joint range of motion and shoulder pain. Radiological examination revealed posterior shoulder dislocation associated with greater tuberosity malunion and a small bone fracture of the posterior portion of the glenoid. Open reduction and internal fixation, including greater tuberosity osteotomy, were performed. Although subluxation of the posterior dislocation persisted postoperatively, the humeral head gradually returned to its centric shoulder joint position owing to rotator cuff force coupling. At 24-month follow-up, the patient showed excellent shoulder results.</p>","PeriodicalId":30287,"journal":{"name":"Case Reports in Orthopedics","volume":"2024 ","pages":"6486750"},"PeriodicalIF":0.6000,"publicationDate":"2024-06-11","publicationTypes":"Journal Article","fieldsOfStudy":null,"isOpenAccess":false,"openAccessPdf":"https://www.ncbi.nlm.nih.gov/pmc/articles/PMC11221983/pdf/","citationCount":"0","resultStr":null,"platform":"Semanticscholar","paperid":null,"PeriodicalName":"Case Reports in Orthopedics","FirstCategoryId":"1085","ListUrlMain":"https://doi.org/10.1155/2024/6486750","RegionNum":0,"RegionCategory":null,"ArticlePicture":[],"TitleCN":null,"AbstractTextCN":null,"PMCID":null,"EPubDate":"2024/1/1 0:00:00","PubModel":"eCollection","JCR":"Q4","JCRName":"ORTHOPEDICS","Score":null,"Total":0}
引用次数: 0

Abstract

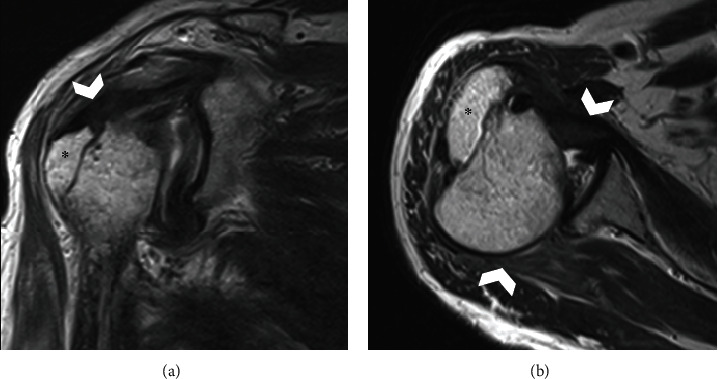
Posterior dislocation of the shoulder joint is a rare condition. It is often misdiagnosed owing to a lack of evident clinical features compared with anterior shoulder dislocation, and inappropriate radiological examination. We present a case of chronic posterior fracture dislocation treated with greater tuberosity osteotomy. A 66-year-old man was injured in a fall while carrying a drone. He was referred to our hospital following 3 months of conservative treatment at a nearby clinic, without reduction of the posterior dislocation. Physical examination revealed a prominent reduction in shoulder joint range of motion and shoulder pain. Radiological examination revealed posterior shoulder dislocation associated with greater tuberosity malunion and a small bone fracture of the posterior portion of the glenoid. Open reduction and internal fixation, including greater tuberosity osteotomy, were performed. Although subluxation of the posterior dislocation persisted postoperatively, the humeral head gradually returned to its centric shoulder joint position owing to rotator cuff force coupling. At 24-month follow-up, the patient showed excellent shoulder results.

Abstract Image

Abstract Image

Abstract Image

一例被忽视的肩关节后方骨折脱位病例:大结节截骨术
肩关节后脱位是一种罕见病。与肩关节前脱位相比,它缺乏明显的临床特征,而且放射学检查也不恰当,因此常常被误诊。我们介绍了一例通过大结节截骨术治疗的慢性后方骨折脱位病例。一名 66 岁的男子在携带无人机时不慎摔伤。他在附近一家诊所接受了 3 个月的保守治疗,但后脱位仍未复位,于是被转诊到我院。体格检查显示肩关节活动范围明显缩小,肩部疼痛。放射学检查显示,肩关节后脱位伴有大结节错位和盂后部小骨骨折。患者接受了切开复位和内固定术,包括大结节截骨术。虽然术后仍存在后脱位,但由于肩袖力量的耦合作用,肱骨头逐渐恢复到肩关节的中心位置。在24个月的随访中,患者的肩关节效果非常好。
本文章由计算机程序翻译,如有差异,请以英文原文为准。
求助全文
约1分钟内获得全文 求助全文
来源期刊
自引率
0.00%
发文量
55
审稿时长
14 weeks
×
引用
GB/T 7714-2015
复制
MLA
复制
APA
复制
导出至
BibTeX EndNote RefMan NoteFirst NoteExpress
×
提示
您的信息不完整,为了账户安全,请先补充。
现在去补充
×
提示
您因"违规操作"
具体请查看互助需知
我知道了
×
提示
确定
请完成安全验证×
copy
已复制链接
快去分享给好友吧!
我知道了
右上角分享
点击右上角分享
0
联系我们:info@booksci.cn Book学术提供免费学术资源搜索服务,方便国内外学者检索中英文文献。致力于提供最便捷和优质的服务体验。 Copyright © 2023 布克学术 All rights reserved.
京ICP备2023020795号-1
ghs 京公网安备 11010802042870号
Book学术文献互助
Book学术文献互助群
群 号:604180095
Book学术官方微信