New Onset of Symptomatic Peptic Ulcer Disease Postpartum Secondary to Nonsteroidal Anti-Inflammatory Drug Use.

IF 0.8 Q4 OBSTETRICS & GYNECOLOGY
Case Reports in Obstetrics and Gynecology Pub Date : 2024-06-11 eCollection Date: 2024-01-01 DOI:10.1155/2024/6422824
Maggie Tallmadge, Margaret MacBeth, Anna Palatnik
{"title":"New Onset of Symptomatic Peptic Ulcer Disease Postpartum Secondary to Nonsteroidal Anti-Inflammatory Drug Use.","authors":"Maggie Tallmadge, Margaret MacBeth, Anna Palatnik","doi":"10.1155/2024/6422824","DOIUrl":null,"url":null,"abstract":"<p><p>The use of nonsteroidal anti-inflammatory drug (NSAID) medications is a risk factor for peptic ulcer disease (PUD). PUD in the postpartum period is rare, despite the common use of NSAIDs. A G1P0 presented 6 days postcesarean section with fatigue, lightheadedness, melenic stools, and a hemoglobin of 5.4 g/dL after using NSAIDs and acetaminophen for postoperative pain control. An esophagogastroduodenoscopy (EGD) was performed for a suspected upper gastrointestinal bleed and found one gastric and one duodenal ulcer. Though typically used for a short course in the postpartum period, NSAIDs remain a predisposing risk factor for PUD postpartum, and patients and providers must be aware of this risk.</p>","PeriodicalId":9610,"journal":{"name":"Case Reports in Obstetrics and Gynecology","volume":"2024 ","pages":"6422824"},"PeriodicalIF":0.8000,"publicationDate":"2024-06-11","publicationTypes":"Journal Article","fieldsOfStudy":null,"isOpenAccess":false,"openAccessPdf":"https://www.ncbi.nlm.nih.gov/pmc/articles/PMC11221993/pdf/","citationCount":"0","resultStr":null,"platform":"Semanticscholar","paperid":null,"PeriodicalName":"Case Reports in Obstetrics and Gynecology","FirstCategoryId":"1085","ListUrlMain":"https://doi.org/10.1155/2024/6422824","RegionNum":0,"RegionCategory":null,"ArticlePicture":[],"TitleCN":null,"AbstractTextCN":null,"PMCID":null,"EPubDate":"2024/1/1 0:00:00","PubModel":"eCollection","JCR":"Q4","JCRName":"OBSTETRICS & GYNECOLOGY","Score":null,"Total":0}
引用次数: 0

Abstract

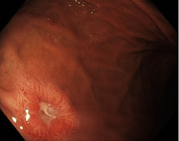
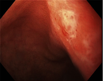
The use of nonsteroidal anti-inflammatory drug (NSAID) medications is a risk factor for peptic ulcer disease (PUD). PUD in the postpartum period is rare, despite the common use of NSAIDs. A G1P0 presented 6 days postcesarean section with fatigue, lightheadedness, melenic stools, and a hemoglobin of 5.4 g/dL after using NSAIDs and acetaminophen for postoperative pain control. An esophagogastroduodenoscopy (EGD) was performed for a suspected upper gastrointestinal bleed and found one gastric and one duodenal ulcer. Though typically used for a short course in the postpartum period, NSAIDs remain a predisposing risk factor for PUD postpartum, and patients and providers must be aware of this risk.

Abstract Image

Abstract Image

产后因服用非甾体类消炎药而新发的无症状消化性溃疡。
使用非甾体抗炎药(NSAID)是消化性溃疡病(PUD)的一个危险因素。尽管非甾体抗炎药的使用很普遍,但产后发生消化性溃疡的情况却很少见。一名 G1P0 患者在剖腹产术后 6 天出现乏力、头晕、拉稀便、血红蛋白为 5.4 g/dL,此前曾使用非甾体抗炎药和对乙酰氨基酚控制术后疼痛。因怀疑上消化道出血而进行了食管胃十二指肠镜检查(EGD),发现一个胃溃疡和一个十二指肠溃疡。虽然非甾体抗炎药通常在产后短期使用,但它仍然是产后 PUD 的一个易感风险因素,患者和医疗服务提供者必须意识到这一风险。
本文章由计算机程序翻译,如有差异,请以英文原文为准。
求助全文
约1分钟内获得全文 求助全文
来源期刊
Case Reports in Obstetrics and Gynecology
Case Reports in Obstetrics and Gynecology Medicine-Obstetrics and Gynecology
CiteScore
1.30
自引率
0.00%
发文量
64
审稿时长
12 weeks
×
引用
GB/T 7714-2015
复制
MLA
复制
APA
复制
导出至
BibTeX EndNote RefMan NoteFirst NoteExpress
×
提示
您的信息不完整,为了账户安全,请先补充。
现在去补充
×
提示
您因"违规操作"
具体请查看互助需知
我知道了
×
提示
确定
请完成安全验证×
copy
已复制链接
快去分享给好友吧!
我知道了
右上角分享
点击右上角分享
0
联系我们:info@booksci.cn Book学术提供免费学术资源搜索服务,方便国内外学者检索中英文文献。致力于提供最便捷和优质的服务体验。 Copyright © 2023 布克学术 All rights reserved.
京ICP备2023020795号-1
ghs 京公网安备 11010802042870号
Book学术文献互助
Book学术文献互助群
群 号:604180095
Book学术官方微信