Treatment of a Localized Stage III Periodontitis in the Esthetic Zone with Guided Tissue Regeneration Technique on a Heavy Smoker Patient with 12-Year Follow- up: A Case Report.

Fatme Mouchref Hamasni, Fady El Hajj
{"title":"Treatment of a Localized Stage III Periodontitis in the Esthetic Zone with Guided Tissue Regeneration Technique on a Heavy Smoker Patient with 12-Year Follow- up: A Case Report.","authors":"Fatme Mouchref Hamasni, Fady El Hajj","doi":"10.30476/dentjods.2024.100483.2224","DOIUrl":null,"url":null,"abstract":"<p><p>This case report exhibits a heavy smoker female patient with a localized stage III periodontitis who has been under the smoking cessation program during the pre-surgical period, followed by a strict maintenance program for the past twelve years, after being treated with guided tissue regeneration techniques and restored with zirconia prosthetic crowns. A 50-year-old, heavy smoker (> 40 cigarettes per day), systemically healthy female patient presented complaining of mobility and pain in the upper right central incisor, which was temporarily splinted to the left central incisor using resin composite. After clinical and radiographic examination, significant damage of the attachment apparatus, deep periodontal lesions extending the middle portion of the root, and severe infrabony defect were noted. Following the initial hygienic phase, a guided tissue regeneration surgery using xenograft bone substitute covered by a resorbable collagen membrane was performed. After six months of healing, four zirconia crowns were cemented on the central and lateral incisors based on patient esthetic compliance. During the 12-year follow-up period, neither residual pockets nor gingival recession were observed, and perfect marginal bone stability, and esthetic and functional results were noted. This case shows the predictability of a conservative surgical technique, the guided tissue regeneration, based on appropriate treatment planning and a strict maintenance program. It also demonstrates the importance of at least a 6-month healing period after such surgeries, allowing complete tissue maturation and a re-establishment of the supra osseous gingival tissues in order to locate the prosthetic margins without interfering with the soft tissues integrity.</p>","PeriodicalId":73702,"journal":{"name":"Journal of dentistry (Shiraz, Iran)","volume":"25 2","pages":"183-189"},"PeriodicalIF":0.0000,"publicationDate":"2024-06-01","publicationTypes":"Journal Article","fieldsOfStudy":null,"isOpenAccess":false,"openAccessPdf":"https://www.ncbi.nlm.nih.gov/pmc/articles/PMC11217061/pdf/","citationCount":"0","resultStr":null,"platform":"Semanticscholar","paperid":null,"PeriodicalName":"Journal of dentistry (Shiraz, Iran)","FirstCategoryId":"1085","ListUrlMain":"https://doi.org/10.30476/dentjods.2024.100483.2224","RegionNum":0,"RegionCategory":null,"ArticlePicture":[],"TitleCN":null,"AbstractTextCN":null,"PMCID":null,"EPubDate":"","PubModel":"","JCR":"","JCRName":"","Score":null,"Total":0}
引用次数: 0

Abstract

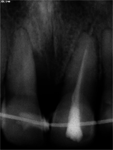
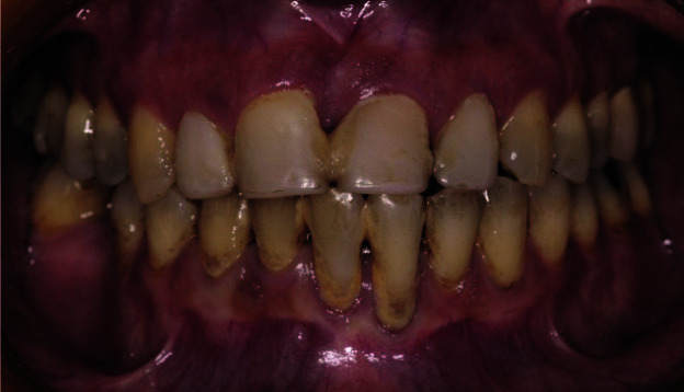
This case report exhibits a heavy smoker female patient with a localized stage III periodontitis who has been under the smoking cessation program during the pre-surgical period, followed by a strict maintenance program for the past twelve years, after being treated with guided tissue regeneration techniques and restored with zirconia prosthetic crowns. A 50-year-old, heavy smoker (> 40 cigarettes per day), systemically healthy female patient presented complaining of mobility and pain in the upper right central incisor, which was temporarily splinted to the left central incisor using resin composite. After clinical and radiographic examination, significant damage of the attachment apparatus, deep periodontal lesions extending the middle portion of the root, and severe infrabony defect were noted. Following the initial hygienic phase, a guided tissue regeneration surgery using xenograft bone substitute covered by a resorbable collagen membrane was performed. After six months of healing, four zirconia crowns were cemented on the central and lateral incisors based on patient esthetic compliance. During the 12-year follow-up period, neither residual pockets nor gingival recession were observed, and perfect marginal bone stability, and esthetic and functional results were noted. This case shows the predictability of a conservative surgical technique, the guided tissue regeneration, based on appropriate treatment planning and a strict maintenance program. It also demonstrates the importance of at least a 6-month healing period after such surgeries, allowing complete tissue maturation and a re-establishment of the supra osseous gingival tissues in order to locate the prosthetic margins without interfering with the soft tissues integrity.

Abstract Image

Abstract Image

Abstract Image

用引导组织再生技术治疗一名重度吸烟患者的修复区局部 III 期牙周炎并随访 12 年:病例报告。
本病例报告展示了一名患有局部 III 期牙周炎的重度吸烟女性患者,该患者在手术前接受了戒烟计划,随后在过去的 12 年中一直接受严格的维护计划,术后采用引导组织再生技术进行治疗,并用氧化锆修复冠进行修复。一位 50 岁的重度吸烟者(每天吸烟超过 40 支)、全身健康的女性患者主诉右上中切牙移动和疼痛,使用树脂复合材料将其临时夹板固定在左上中切牙上。经过临床和影像学检查,发现附着器明显受损,深牙周病损延伸至牙根中部,牙槽骨下缺损严重。在最初的卫生阶段后,使用异种骨替代物和可吸收胶原膜进行了引导组织再生手术。六个月愈合后,根据患者的审美要求,在中切牙和侧切牙上粘接了四个氧化锆牙冠。在长达 12 年的随访期间,既没有发现残余牙周袋,也没有发现牙龈退缩,边缘骨的稳定性、美观性和功能性都非常完美。该病例表明,基于适当的治疗规划和严格的维护计划,保守的外科技术--引导组织再生--具有可预见性。该病例还说明了此类手术后至少 6 个月愈合期的重要性,这段时间可以让组织完全成熟,重新建立骨上龈组织,以便在不影响软组织完整性的情况下确定修复体边缘的位置。
本文章由计算机程序翻译,如有差异,请以英文原文为准。
求助全文
约1分钟内获得全文 求助全文
来源期刊
CiteScore
0.50
自引率
0.00%
发文量
0
×
引用
GB/T 7714-2015
复制
MLA
复制
APA
复制
导出至
BibTeX EndNote RefMan NoteFirst NoteExpress
×
提示
您的信息不完整,为了账户安全,请先补充。
现在去补充
×
提示
您因"违规操作"
具体请查看互助需知
我知道了
×
提示
确定
请完成安全验证×
copy
已复制链接
快去分享给好友吧!
我知道了
右上角分享
点击右上角分享
0
联系我们:info@booksci.cn Book学术提供免费学术资源搜索服务,方便国内外学者检索中英文文献。致力于提供最便捷和优质的服务体验。 Copyright © 2023 布克学术 All rights reserved.
京ICP备2023020795号-1
ghs 京公网安备 11010802042870号
Book学术文献互助
Book学术文献互助群
群 号:604180095
Book学术官方微信