A Primary Telangiectatic Mandibular Osteosarcoma With Germ-Line Malignancy-Associated DNA Damage Repair Gene Polymorphisms: A Case Report.

IF 0.6 Q4 ONCOLOGY
Case Reports in Oncological Medicine Pub Date : 2024-06-06 eCollection Date: 2024-01-01 DOI:10.1155/2024/2418888
Muhammad Tahir, Eric X Wei, Carlina Madelaire, Alice S Yu, Guillermo A Herrera, Rodney E Shackelford
{"title":"A Primary Telangiectatic Mandibular Osteosarcoma With Germ-Line Malignancy-Associated DNA Damage Repair Gene Polymorphisms: A Case Report.","authors":"Muhammad Tahir, Eric X Wei, Carlina Madelaire, Alice S Yu, Guillermo A Herrera, Rodney E Shackelford","doi":"10.1155/2024/2418888","DOIUrl":null,"url":null,"abstract":"<p><p>Primary mandibular telangiectatic osteosarcomas are very rare lesions, with only nine cases reported. Histologically, these lesions show multiple cystic blood-filled cavities traversed by neoplastic bone in septa lined by high-grade malignant cells. Here, we report an 81-year-old woman who presented with a mandibular mass, which was surgically resected and analyzed by histologic examination and whole exome DNA sequencing. A diagnosis of telangiectatic osteosarcoma was given. Comparative sequencing data analysis of paired benign and tumor DNA revealed 1577 variants unique to the tumor DNA, which clustered into several gene families, including those regulating DNA repair and apoptosis. Comparison of benign and tumor DNA revealed many shared gene polymorphisms associated with an increased cancer risk. These included polymorphisms in the ATM, p53, BRCA1, and BRCA2 and many other genes. Interestingly, the patient's family history showed an unusually high cancer incidence, likely related to these cancer risk-associated polymorphisms. To our knowledge, this is the first-time sequencing applied to a mandibular telangiectatic osteosarcoma. Our findings may shed light on the molecular origins of these rare tumors and how they may relate to other tumors in related kindreds.</p>","PeriodicalId":9636,"journal":{"name":"Case Reports in Oncological Medicine","volume":"2024 ","pages":"2418888"},"PeriodicalIF":0.6000,"publicationDate":"2024-06-06","publicationTypes":"Journal Article","fieldsOfStudy":null,"isOpenAccess":false,"openAccessPdf":"https://www.ncbi.nlm.nih.gov/pmc/articles/PMC11221979/pdf/","citationCount":"0","resultStr":null,"platform":"Semanticscholar","paperid":null,"PeriodicalName":"Case Reports in Oncological Medicine","FirstCategoryId":"1085","ListUrlMain":"https://doi.org/10.1155/2024/2418888","RegionNum":0,"RegionCategory":null,"ArticlePicture":[],"TitleCN":null,"AbstractTextCN":null,"PMCID":null,"EPubDate":"2024/1/1 0:00:00","PubModel":"eCollection","JCR":"Q4","JCRName":"ONCOLOGY","Score":null,"Total":0}
引用次数: 0

Abstract

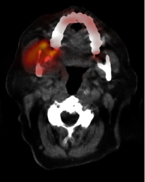
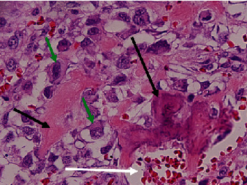
Primary mandibular telangiectatic osteosarcomas are very rare lesions, with only nine cases reported. Histologically, these lesions show multiple cystic blood-filled cavities traversed by neoplastic bone in septa lined by high-grade malignant cells. Here, we report an 81-year-old woman who presented with a mandibular mass, which was surgically resected and analyzed by histologic examination and whole exome DNA sequencing. A diagnosis of telangiectatic osteosarcoma was given. Comparative sequencing data analysis of paired benign and tumor DNA revealed 1577 variants unique to the tumor DNA, which clustered into several gene families, including those regulating DNA repair and apoptosis. Comparison of benign and tumor DNA revealed many shared gene polymorphisms associated with an increased cancer risk. These included polymorphisms in the ATM, p53, BRCA1, and BRCA2 and many other genes. Interestingly, the patient's family history showed an unusually high cancer incidence, likely related to these cancer risk-associated polymorphisms. To our knowledge, this is the first-time sequencing applied to a mandibular telangiectatic osteosarcoma. Our findings may shed light on the molecular origins of these rare tumors and how they may relate to other tumors in related kindreds.

Abstract Image

Abstract Image

Abstract Image

与生殖系恶性肿瘤相关的 DNA 损伤修复基因多态性的原发性下颌骨远端切除性骨肉瘤:病例报告。
原发性下颌骨毛细血管扩张性骨肉瘤是一种非常罕见的病变,目前仅有九例报道。组织学上,这些病变表现为多发性囊性充血腔,由高级别恶性细胞内衬的隔膜中的肿瘤骨穿过。在此,我们报告了一名 81 岁女性的下颌骨肿块病例,该肿块经手术切除,并通过组织学检查和全外显子组 DNA 测序进行了分析。诊断结果为毛细血管扩张性骨肉瘤。对配对的良性和肿瘤DNA进行比较测序数据分析后发现,肿瘤DNA中存在1577个独特的变异,这些变异聚集在多个基因家族中,其中包括调控DNA修复和细胞凋亡的基因。良性和肿瘤DNA的比较发现了许多与癌症风险增加有关的共有基因多态性。这些基因包括 ATM、p53、BRCA1 和 BRCA2 以及许多其他基因的多态性。有趣的是,患者的家族史显示其癌症发病率异常高,这很可能与这些癌症风险相关多态性有关。据我们所知,这是首次对下颌骨毛细血管扩张性骨肉瘤进行测序。我们的研究结果可能会揭示这些罕见肿瘤的分子起源,以及它们与相关血统中其他肿瘤的关系。
本文章由计算机程序翻译,如有差异,请以英文原文为准。
求助全文
约1分钟内获得全文 求助全文
来源期刊
自引率
0.00%
发文量
11
审稿时长
16 weeks
期刊介绍: Case Reports in Oncological Medicine is a peer-reviewed, Open Access journal that publishes case reports and case series related to breast cancer, lung cancer, gastrointestinal cancer, skin cancer, head and neck cancer, paediatric oncology, neurooncology as well as genitourinary cancer.
×
引用
GB/T 7714-2015
复制
MLA
复制
APA
复制
导出至
BibTeX EndNote RefMan NoteFirst NoteExpress
×
提示
您的信息不完整,为了账户安全,请先补充。
现在去补充
×
提示
您因"违规操作"
具体请查看互助需知
我知道了
×
提示
确定
请完成安全验证×
copy
已复制链接
快去分享给好友吧!
我知道了
右上角分享
点击右上角分享
0
联系我们:info@booksci.cn Book学术提供免费学术资源搜索服务,方便国内外学者检索中英文文献。致力于提供最便捷和优质的服务体验。 Copyright © 2023 布克学术 All rights reserved.
京ICP备2023020795号-1
ghs 京公网安备 11010802042870号
Book学术文献互助
Book学术文献互助群
群 号:604180095
Book学术官方微信