Left Pulmonary Artery Stenting for Left Pulmonary Artery Stenosis Following Patent Ductus Arteriosus Device Closure: Case Series and Review of the Literature.

IF 0.5 Q4 CARDIAC & CARDIOVASCULAR SYSTEMS
Case Reports in Cardiology Pub Date : 2024-06-24 eCollection Date: 2024-01-01 DOI:10.1155/2024/6690515
Víctor Molina, Mehdi Hadid, Joaquim Miró, Nagib Dahdah
{"title":"Left Pulmonary Artery Stenting for Left Pulmonary Artery Stenosis Following Patent Ductus Arteriosus Device Closure: Case Series and Review of the Literature.","authors":"Víctor Molina, Mehdi Hadid, Joaquim Miró, Nagib Dahdah","doi":"10.1155/2024/6690515","DOIUrl":null,"url":null,"abstract":"<p><p>Percutaneous device occlusion is currently the standard of care for most cases of patent ductus arteriosus (PDA). Albeit infrequent, device-related left pulmonary artery (LPA) stenosis is a known complication of this procedure, occasionally requiring stent placement to relieve the obstruction. We present a series of four patients who required left pulmonary stenting after ductus arteriosus device closure. A review of the current evidence is presented.</p>","PeriodicalId":51760,"journal":{"name":"Case Reports in Cardiology","volume":"2024 ","pages":"6690515"},"PeriodicalIF":0.5000,"publicationDate":"2024-06-24","publicationTypes":"Journal Article","fieldsOfStudy":null,"isOpenAccess":false,"openAccessPdf":"https://www.ncbi.nlm.nih.gov/pmc/articles/PMC11217573/pdf/","citationCount":"0","resultStr":null,"platform":"Semanticscholar","paperid":null,"PeriodicalName":"Case Reports in Cardiology","FirstCategoryId":"1085","ListUrlMain":"https://doi.org/10.1155/2024/6690515","RegionNum":0,"RegionCategory":null,"ArticlePicture":[],"TitleCN":null,"AbstractTextCN":null,"PMCID":null,"EPubDate":"2024/1/1 0:00:00","PubModel":"eCollection","JCR":"Q4","JCRName":"CARDIAC & CARDIOVASCULAR SYSTEMS","Score":null,"Total":0}
引用次数: 0

Abstract

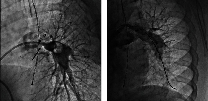
Percutaneous device occlusion is currently the standard of care for most cases of patent ductus arteriosus (PDA). Albeit infrequent, device-related left pulmonary artery (LPA) stenosis is a known complication of this procedure, occasionally requiring stent placement to relieve the obstruction. We present a series of four patients who required left pulmonary stenting after ductus arteriosus device closure. A review of the current evidence is presented.

Abstract Image

Abstract Image

Abstract Image

左肺动脉支架植入术治疗动脉导管未闭装置闭合后左肺动脉狭窄:病例系列和文献综述。
经皮装置闭塞是目前治疗大多数动脉导管未闭(PDA)病例的标准方法。与设备相关的左肺动脉(LPA)狭窄是这种手术的一种已知并发症,虽然并不常见,但偶尔也需要放置支架来缓解阻塞。我们介绍了四例在动脉导管未闭装置关闭术后需要植入左肺支架的患者。并对目前的证据进行了回顾。
本文章由计算机程序翻译,如有差异,请以英文原文为准。
求助全文
约1分钟内获得全文 求助全文
来源期刊
Case Reports in Cardiology
Case Reports in Cardiology CARDIAC & CARDIOVASCULAR SYSTEMS-
自引率
0.00%
发文量
63
审稿时长
13 weeks
期刊介绍: Case Reports in Cardiology is a peer-reviewed, Open Access journal that publishes case reports and case series related to hypertension, arrhythmia, congestive heart failure, valvular heart disease, vascular disease, congenital heart disease and cardiomyopathy.
×
引用
GB/T 7714-2015
复制
MLA
复制
APA
复制
导出至
BibTeX EndNote RefMan NoteFirst NoteExpress
×
提示
您的信息不完整,为了账户安全,请先补充。
现在去补充
×
提示
您因"违规操作"
具体请查看互助需知
我知道了
×
提示
确定
请完成安全验证×
copy
已复制链接
快去分享给好友吧!
我知道了
右上角分享
点击右上角分享
0
联系我们:info@booksci.cn Book学术提供免费学术资源搜索服务,方便国内外学者检索中英文文献。致力于提供最便捷和优质的服务体验。 Copyright © 2023 布克学术 All rights reserved.
京ICP备2023020795号-1
ghs 京公网安备 11010802042870号
Book学术文献互助
Book学术文献互助群
群 号:604180095
Book学术官方微信