Pseudotumour: an uncommon complication of severe haemophilia.

IF 0.5 Q4 RADIOLOGY, NUCLEAR MEDICINE & MEDICAL IMAGING
BJR Case Reports Pub Date : 2024-06-20 eCollection Date: 2024-07-01 DOI:10.1093/bjrcr/uaae019
Alex Kiu, Isaac Yang, Tiffany Fung, Rehana Jaffer, Marie-Helen Martin
{"title":"Pseudotumour: an uncommon complication of severe haemophilia.","authors":"Alex Kiu, Isaac Yang, Tiffany Fung, Rehana Jaffer, Marie-Helen Martin","doi":"10.1093/bjrcr/uaae019","DOIUrl":null,"url":null,"abstract":"<p><p>Pseudotumours are uncommon complications of haemophilia, occurring in 1%-2% of patients with haemophilia.<sup>1</sup> <sup>,</sup> <sup>2</sup> It is a slowly expanding haematoma as a result of recurrent haemorrhage, surrounded by a fibrous capsule. It can occur in both bone and soft tissue, and progressive enlargement may result in bone destruction and/or muscle and skin necrosis. Pseudotumours by themselves are usually painless though its mass effect can result in nerve compression resulting in pain or neurologic symptoms. It may also predispose to pathologic fractures (as in our case) and superimposed infections.<sup>2</sup> <sup>,</sup> <sup>3</sup>.</p>","PeriodicalId":45216,"journal":{"name":"BJR Case Reports","volume":"10 4","pages":"uaae019"},"PeriodicalIF":0.5000,"publicationDate":"2024-06-20","publicationTypes":"Journal Article","fieldsOfStudy":null,"isOpenAccess":false,"openAccessPdf":"https://www.ncbi.nlm.nih.gov/pmc/articles/PMC11216753/pdf/","citationCount":"0","resultStr":null,"platform":"Semanticscholar","paperid":null,"PeriodicalName":"BJR Case Reports","FirstCategoryId":"1085","ListUrlMain":"https://doi.org/10.1093/bjrcr/uaae019","RegionNum":0,"RegionCategory":null,"ArticlePicture":[],"TitleCN":null,"AbstractTextCN":null,"PMCID":null,"EPubDate":"2024/7/1 0:00:00","PubModel":"eCollection","JCR":"Q4","JCRName":"RADIOLOGY, NUCLEAR MEDICINE & MEDICAL IMAGING","Score":null,"Total":0}
引用次数: 0

Abstract

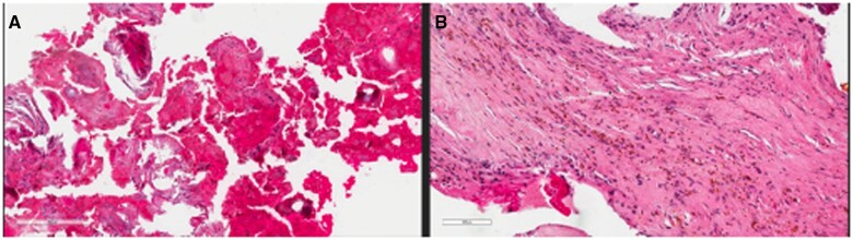
Pseudotumours are uncommon complications of haemophilia, occurring in 1%-2% of patients with haemophilia.1 , 2 It is a slowly expanding haematoma as a result of recurrent haemorrhage, surrounded by a fibrous capsule. It can occur in both bone and soft tissue, and progressive enlargement may result in bone destruction and/or muscle and skin necrosis. Pseudotumours by themselves are usually painless though its mass effect can result in nerve compression resulting in pain or neurologic symptoms. It may also predispose to pathologic fractures (as in our case) and superimposed infections.2 , 3.

Abstract Image

Abstract Image

假性肿瘤:严重血友病的一种不常见并发症。
假性瘤是血友病不常见的并发症,发生率为血友病患者的 1%-2%。1 , 2 它是由于反复出血而形成的缓慢扩大的血肿,周围有纤维囊。它既可发生在骨骼,也可发生在软组织,逐渐扩大可能导致骨骼破坏和/或肌肉和皮肤坏死。假瘤本身通常无痛,但其肿块效应可导致神经受压,从而引起疼痛或神经症状。它还可能导致病理性骨折(如我们的病例)和并发感染。
本文章由计算机程序翻译,如有差异,请以英文原文为准。
求助全文
约1分钟内获得全文 求助全文
来源期刊
BJR Case Reports
BJR Case Reports RADIOLOGY, NUCLEAR MEDICINE & MEDICAL IMAGING-
自引率
0.00%
发文量
77
审稿时长
11 weeks
×
引用
GB/T 7714-2015
复制
MLA
复制
APA
复制
导出至
BibTeX EndNote RefMan NoteFirst NoteExpress
×
提示
您的信息不完整,为了账户安全,请先补充。
现在去补充
×
提示
您因"违规操作"
具体请查看互助需知
我知道了
×
提示
确定
请完成安全验证×
copy
已复制链接
快去分享给好友吧!
我知道了
右上角分享
点击右上角分享
0
联系我们:info@booksci.cn Book学术提供免费学术资源搜索服务,方便国内外学者检索中英文文献。致力于提供最便捷和优质的服务体验。 Copyright © 2023 布克学术 All rights reserved.
京ICP备2023020795号-1
ghs 京公网安备 11010802042870号
Book学术文献互助
Book学术文献互助群
群 号:604180095
Book学术官方微信