Renal Manifestations of IgG4-Related Disease: A Concise Review.

IF 1.4 Q3 UROLOGY & NEPHROLOGY
International Journal of Nephrology Pub Date : 2024-06-24 eCollection Date: 2024-01-01 DOI:10.1155/2024/4421589
Shahrukh T Towheed, Wayel Zanjir, Kevin Yi Mi Ren, Jocelyn Garland, Marie Clements-Baker
{"title":"Renal Manifestations of IgG4-Related Disease: A Concise Review.","authors":"Shahrukh T Towheed, Wayel Zanjir, Kevin Yi Mi Ren, Jocelyn Garland, Marie Clements-Baker","doi":"10.1155/2024/4421589","DOIUrl":null,"url":null,"abstract":"<p><p>IgG4-related disease (IgG4-RD) is an immune-mediated disorder marked by fibro-inflammatory masses that can infiltrate multiple organ systems. Due to its relatively recent discovery and limited understanding of its pathophysiology, IgG4-related disease may be difficult to recognize and is consequently potentially underdiagnosed. Renal involvement is becoming regarded as one of the key features of this disease. To date, the most well-recognized renal complication of IgG4-related disease is tubulointerstitial nephritis, but membranous glomerulonephritis, renal masses, and retroperitoneal fibrosis have also been reported. This concise review has two objectives. First, it will briefly encapsulate the history, epidemiology, and presentation of IgG4-related disease. Second, it will examine the reported renal manifestations of IgG4-related disease, exploring the relevant histology, imaging, clinical features, and treatment considerations. This synthesis will be highly relevant for nephrologists, rheumatologists, general internists, and renal pathologists to raise awareness and help improve early recognition of IgG4-related kidney disease (IgG4-RKD).</p>","PeriodicalId":14177,"journal":{"name":"International Journal of Nephrology","volume":"2024 ","pages":"4421589"},"PeriodicalIF":1.4000,"publicationDate":"2024-06-24","publicationTypes":"Journal Article","fieldsOfStudy":null,"isOpenAccess":false,"openAccessPdf":"https://www.ncbi.nlm.nih.gov/pmc/articles/PMC11217581/pdf/","citationCount":"0","resultStr":null,"platform":"Semanticscholar","paperid":null,"PeriodicalName":"International Journal of Nephrology","FirstCategoryId":"1085","ListUrlMain":"https://doi.org/10.1155/2024/4421589","RegionNum":0,"RegionCategory":null,"ArticlePicture":[],"TitleCN":null,"AbstractTextCN":null,"PMCID":null,"EPubDate":"2024/1/1 0:00:00","PubModel":"eCollection","JCR":"Q3","JCRName":"UROLOGY & NEPHROLOGY","Score":null,"Total":0}
引用次数: 0

Abstract

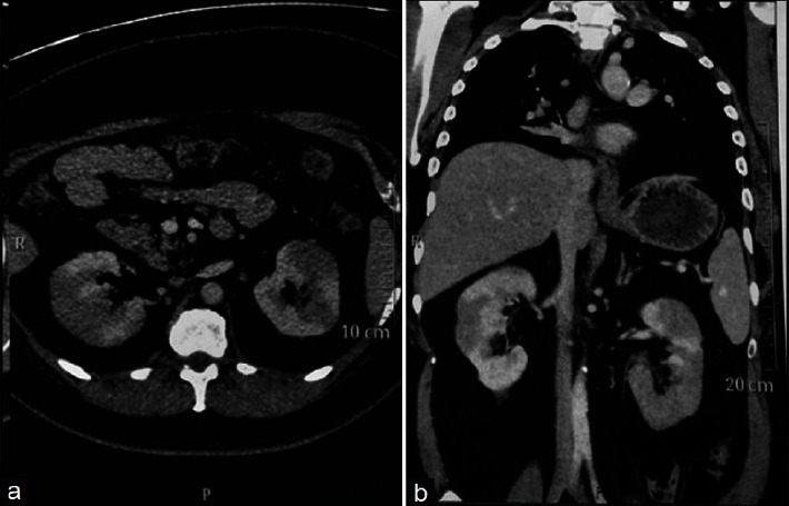
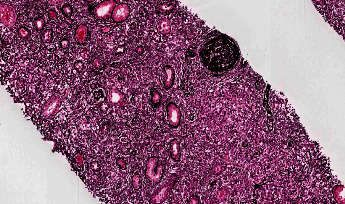
IgG4-related disease (IgG4-RD) is an immune-mediated disorder marked by fibro-inflammatory masses that can infiltrate multiple organ systems. Due to its relatively recent discovery and limited understanding of its pathophysiology, IgG4-related disease may be difficult to recognize and is consequently potentially underdiagnosed. Renal involvement is becoming regarded as one of the key features of this disease. To date, the most well-recognized renal complication of IgG4-related disease is tubulointerstitial nephritis, but membranous glomerulonephritis, renal masses, and retroperitoneal fibrosis have also been reported. This concise review has two objectives. First, it will briefly encapsulate the history, epidemiology, and presentation of IgG4-related disease. Second, it will examine the reported renal manifestations of IgG4-related disease, exploring the relevant histology, imaging, clinical features, and treatment considerations. This synthesis will be highly relevant for nephrologists, rheumatologists, general internists, and renal pathologists to raise awareness and help improve early recognition of IgG4-related kidney disease (IgG4-RKD).

Abstract Image

Abstract Image

Abstract Image

IgG4 相关疾病的肾脏表现:简明综述。
IgG4 相关疾病(IgG4-RD)是一种免疫介导的疾病,其特征是可浸润多个器官系统的纤维炎性肿块。由于 IgG4 相关疾病是最近才被发现的,而且人们对其病理生理学的了解有限,因此可能难以识别,进而导致诊断不足。肾脏受累逐渐被认为是这种疾病的主要特征之一。迄今为止,IgG4 相关疾病最公认的肾脏并发症是肾小管间质性肾炎,但膜性肾小球肾炎、肾肿块和腹膜后纤维化也有报道。这篇简明扼要的综述有两个目的。首先,它将简要概述 IgG4 相关疾病的病史、流行病学和表现。其次,它将研究已报道的 IgG4 相关疾病的肾脏表现,探讨相关的组织学、影像学、临床特征和治疗注意事项。本综述对肾脏病学家、风湿病学家、普通内科医生和肾脏病理学家具有重要意义,有助于提高对 IgG4 相关肾脏疾病(IgG4-RKD)的认识和早期识别能力。
本文章由计算机程序翻译,如有差异,请以英文原文为准。
求助全文
约1分钟内获得全文 求助全文
来源期刊
International Journal of Nephrology
International Journal of Nephrology UROLOGY & NEPHROLOGY-
CiteScore
3.40
自引率
4.80%
发文量
44
审稿时长
17 weeks
期刊介绍: International Journal of Nephrology is a peer-reviewed, Open Access journal that publishes original research articles, review articles, and clinical studies focusing on the prevention, diagnosis, and management of kidney diseases and associated disorders. The journal welcomes submissions related to cell biology, developmental biology, genetics, immunology, pathology, pathophysiology of renal disease and progression, clinical nephrology, dialysis, and transplantation.
×
引用
GB/T 7714-2015
复制
MLA
复制
APA
复制
导出至
BibTeX EndNote RefMan NoteFirst NoteExpress
×
提示
您的信息不完整,为了账户安全,请先补充。
现在去补充
×
提示
您因"违规操作"
具体请查看互助需知
我知道了
×
提示
确定
请完成安全验证×
copy
已复制链接
快去分享给好友吧!
我知道了
右上角分享
点击右上角分享
0
联系我们:info@booksci.cn Book学术提供免费学术资源搜索服务,方便国内外学者检索中英文文献。致力于提供最便捷和优质的服务体验。 Copyright © 2023 布克学术 All rights reserved.
京ICP备2023020795号-1
ghs 京公网安备 11010802042870号
Book学术文献互助
Book学术文献互助群
群 号:604180095
Book学术官方微信