Oxidised cellulose-based reaction mimicking a suspicious ovarian mass: a case report and a systematic review.

IF 1.4 Q3 OBSTETRICS & GYNECOLOGY
R Nasir, I Alkiumi, E Alzahmi, B AlMaamari, H Gharbi, Z Hakim, P Koninckx, A Wattiez
{"title":"Oxidised cellulose-based reaction mimicking a suspicious ovarian mass: a case report and a systematic review.","authors":"R Nasir, I Alkiumi, E Alzahmi, B AlMaamari, H Gharbi, Z Hakim, P Koninckx, A Wattiez","doi":"10.52054/FVVO.16.2.015","DOIUrl":null,"url":null,"abstract":"<p><p>Oxidised regenerated cellulose was introduced 60 years ago to control diffuse bleeding from large surfaces. Although considered safe and effective, foreign body reactions can mimic suspicious masses in several organs. We describe the third case, reported in PubMed, of an oxidised regenerated cellulose-based granuloma mimicking a suspicious ovarian tumour on MRI. During surgery, the diagnosis was suspected by granulomatous tissue and confirmed by pathology. The follow-up after the excision was uneventful. Although a rare complication, physicians should be aware of this presentation and of the recommendation to remove excess Surgicel after the bleeding has stopped.</p>","PeriodicalId":46400,"journal":{"name":"Facts Views and Vision in ObGyn","volume":"16 2","pages":"237-240"},"PeriodicalIF":1.4000,"publicationDate":"2024-06-01","publicationTypes":"Journal Article","fieldsOfStudy":null,"isOpenAccess":false,"openAccessPdf":"https://www.ncbi.nlm.nih.gov/pmc/articles/PMC11366120/pdf/","citationCount":"0","resultStr":null,"platform":"Semanticscholar","paperid":null,"PeriodicalName":"Facts Views and Vision in ObGyn","FirstCategoryId":"1085","ListUrlMain":"https://doi.org/10.52054/FVVO.16.2.015","RegionNum":0,"RegionCategory":null,"ArticlePicture":[],"TitleCN":null,"AbstractTextCN":null,"PMCID":null,"EPubDate":"","PubModel":"","JCR":"Q3","JCRName":"OBSTETRICS & GYNECOLOGY","Score":null,"Total":0}
引用次数: 0

Abstract

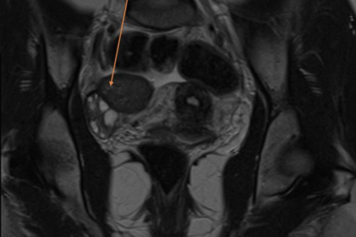
Oxidised regenerated cellulose was introduced 60 years ago to control diffuse bleeding from large surfaces. Although considered safe and effective, foreign body reactions can mimic suspicious masses in several organs. We describe the third case, reported in PubMed, of an oxidised regenerated cellulose-based granuloma mimicking a suspicious ovarian tumour on MRI. During surgery, the diagnosis was suspected by granulomatous tissue and confirmed by pathology. The follow-up after the excision was uneventful. Although a rare complication, physicians should be aware of this presentation and of the recommendation to remove excess Surgicel after the bleeding has stopped.

Abstract Image

Abstract Image

Abstract Image

模仿可疑卵巢肿块的氧化纤维素反应:病例报告和系统综述。
氧化再生纤维素于 60 年前问世,用于控制大面积的弥漫性出血。尽管异物反应被认为是安全有效的,但它可能会模仿多个器官中的可疑肿块。我们描述了 PubMed 上报道的第三例病例,该病例中的氧化再生纤维素肉芽肿在核磁共振成像上模仿了可疑的卵巢肿瘤。在手术过程中,肉芽肿组织使诊断变得可疑,病理结果证实了这一诊断。切除术后的随访情况良好。虽然这是一种罕见的并发症,但医生应注意这种表现,并建议在止血后清除多余的 Surgicel。
本文章由计算机程序翻译,如有差异,请以英文原文为准。
求助全文
约1分钟内获得全文 求助全文
来源期刊
Facts Views and Vision in ObGyn
Facts Views and Vision in ObGyn OBSTETRICS & GYNECOLOGY-
自引率
15.00%
发文量
59
×
引用
GB/T 7714-2015
复制
MLA
复制
APA
复制
导出至
BibTeX EndNote RefMan NoteFirst NoteExpress
×
提示
您的信息不完整,为了账户安全,请先补充。
现在去补充
×
提示
您因"违规操作"
具体请查看互助需知
我知道了
×
提示
确定
请完成安全验证×
copy
已复制链接
快去分享给好友吧!
我知道了
右上角分享
点击右上角分享
0
联系我们:info@booksci.cn Book学术提供免费学术资源搜索服务,方便国内外学者检索中英文文献。致力于提供最便捷和优质的服务体验。 Copyright © 2023 布克学术 All rights reserved.
京ICP备2023020795号-1
ghs 京公网安备 11010802042870号
Book学术文献互助
Book学术文献互助群
群 号:604180095
Book学术官方微信