Laparoscopic resection rectopexy (RRP) combined with mesh sacrocolpopexy (SCP) for obstructed defecation syndrome with pelvic organ prolapse in an interdisciplinary approach.

IF 1.4 Q3 OBSTETRICS & GYNECOLOGY
C Rudroff, S Ludwig
{"title":"Laparoscopic resection rectopexy (RRP) combined with mesh sacrocolpopexy (SCP) for obstructed defecation syndrome with pelvic organ prolapse in an interdisciplinary approach.","authors":"C Rudroff, S Ludwig","doi":"10.52054/FVVO.16.2.017","DOIUrl":null,"url":null,"abstract":"<p><strong>Background: </strong>Obstructive defecation syndrome (ODS) is frequently associated with pelvic organ prolapse (POP) and compromises the quality of life in affected patients. In cases conservative treatment fails surgical therapy is required.</p><p><strong>Objectives: </strong>The video case study combines a laparoscopic resection rectopexy (RRP) with a mesh sacrocolpopexy (SCP) in an interdisciplinary surgical approach.</p><p><strong>Materials and methods: </strong>In this video an 86-year-old woman with ODS and POP, suffering from a dolichocolon with rectal intussusception, an apical prolapse after total hysterectomy 1990, and occasional stress urinary incontinence underwent interdisciplinary laparoscopic surgery. A tubular anterior rectal and sigmoid resection with suture rectopexy as in a resection rectopexy (RRP) was combined with a sacrocolpopexy (SCP) using a synthetic mesh.</p><p><strong>Main outcome measures: </strong>Surgical outcome including postoperative morbidity, functional bowel evacuation, and POP reconstitution as in POP-Q score after surgery were documented.</p><p><strong>Results: </strong>No intra- or postoperative complications occurred. At 6 months follow-up clinical outcomes for ODS, bowel dysfunction, and faecal control were improved. Anatomical outcome for POP and stress urinary incontinence symptoms were corrected.</p><p><strong>Conclusions: </strong>We report a promising interdisciplinary surgical approach as a single treatment option for the complex medical condition of women suffering from ODS and POP combining laparoscopic RRP with SCP. This surgical approach proved to be feasible, safe, and effective.</p>","PeriodicalId":46400,"journal":{"name":"Facts Views and Vision in ObGyn","volume":"16 2","pages":"231-236"},"PeriodicalIF":1.4000,"publicationDate":"2024-06-01","publicationTypes":"Journal Article","fieldsOfStudy":null,"isOpenAccess":false,"openAccessPdf":"https://www.ncbi.nlm.nih.gov/pmc/articles/PMC11366123/pdf/","citationCount":"0","resultStr":null,"platform":"Semanticscholar","paperid":null,"PeriodicalName":"Facts Views and Vision in ObGyn","FirstCategoryId":"1085","ListUrlMain":"https://doi.org/10.52054/FVVO.16.2.017","RegionNum":0,"RegionCategory":null,"ArticlePicture":[],"TitleCN":null,"AbstractTextCN":null,"PMCID":null,"EPubDate":"","PubModel":"","JCR":"Q3","JCRName":"OBSTETRICS & GYNECOLOGY","Score":null,"Total":0}
引用次数: 0

Abstract

Background: Obstructive defecation syndrome (ODS) is frequently associated with pelvic organ prolapse (POP) and compromises the quality of life in affected patients. In cases conservative treatment fails surgical therapy is required.

Objectives: The video case study combines a laparoscopic resection rectopexy (RRP) with a mesh sacrocolpopexy (SCP) in an interdisciplinary surgical approach.

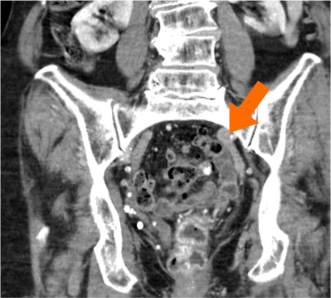
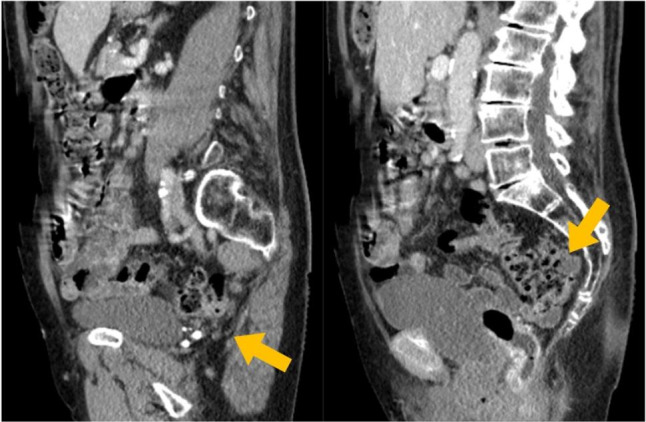
Materials and methods: In this video an 86-year-old woman with ODS and POP, suffering from a dolichocolon with rectal intussusception, an apical prolapse after total hysterectomy 1990, and occasional stress urinary incontinence underwent interdisciplinary laparoscopic surgery. A tubular anterior rectal and sigmoid resection with suture rectopexy as in a resection rectopexy (RRP) was combined with a sacrocolpopexy (SCP) using a synthetic mesh.

Main outcome measures: Surgical outcome including postoperative morbidity, functional bowel evacuation, and POP reconstitution as in POP-Q score after surgery were documented.

Results: No intra- or postoperative complications occurred. At 6 months follow-up clinical outcomes for ODS, bowel dysfunction, and faecal control were improved. Anatomical outcome for POP and stress urinary incontinence symptoms were corrected.

Conclusions: We report a promising interdisciplinary surgical approach as a single treatment option for the complex medical condition of women suffering from ODS and POP combining laparoscopic RRP with SCP. This surgical approach proved to be feasible, safe, and effective.

Abstract Image

Abstract Image

Abstract Image

腹腔镜直肠切除术(RRP)结合网状骶尾部切除术(SCP)治疗伴有盆腔器官脱垂的排便受阻综合征的跨学科方法。
背景:排便阻塞综合征(ODS)常伴有盆腔器官脱垂(POP),影响患者的生活质量。在保守治疗无效的情况下,需要进行手术治疗:本视频病例研究将腹腔镜直肠切除术(RRP)与网状骶尾部整形术(SCP)相结合,采用跨学科手术方法:在这段视频中,一位患有ODS和POP的86岁女性接受了跨学科腹腔镜手术,她患有多结肠伴直肠肠套叠、1990年全子宫切除术后出现顶端脱垂以及偶发性压力性尿失禁。手术采用管状直肠和乙状结肠前部切除术,缝合直肠切除术(RRP)和使用合成网片的骶结肠切除术(SCP):主要结果指标:记录手术结果,包括术后发病率、功能性肠道排空和术后 POP 重建(POP-Q 评分):结果:术中和术后均未出现并发症。结果:术中和术后均未出现并发症,随访6个月后,ODS、排便功能障碍和排便控制的临床结果均有所改善。POP和压力性尿失禁症状的解剖学结果得到了纠正:我们报告了一种很有前景的跨学科手术方法,它将腹腔镜 RRP 与 SCP 结合在一起,作为治疗患有 ODS 和 POP 的复杂病症的单一方法。事实证明,这种手术方法可行、安全且有效。
本文章由计算机程序翻译,如有差异,请以英文原文为准。
求助全文
约1分钟内获得全文 求助全文
来源期刊
Facts Views and Vision in ObGyn
Facts Views and Vision in ObGyn OBSTETRICS & GYNECOLOGY-
自引率
15.00%
发文量
59
×
引用
GB/T 7714-2015
复制
MLA
复制
APA
复制
导出至
BibTeX EndNote RefMan NoteFirst NoteExpress
×
提示
您的信息不完整,为了账户安全,请先补充。
现在去补充
×
提示
您因"违规操作"
具体请查看互助需知
我知道了
×
提示
确定
请完成安全验证×
copy
已复制链接
快去分享给好友吧!
我知道了
右上角分享
点击右上角分享
0
联系我们:info@booksci.cn Book学术提供免费学术资源搜索服务,方便国内外学者检索中英文文献。致力于提供最便捷和优质的服务体验。 Copyright © 2023 布克学术 All rights reserved.
京ICP备2023020795号-1
ghs 京公网安备 11010802042870号
Book学术文献互助
Book学术文献互助群
群 号:604180095
Book学术官方微信