Tolosa-Hunt syndrome: a review of diagnostic criteria based on a case series.

Postepy psychiatrii neurologii Pub Date : 2024-03-01 Epub Date: 2024-02-12 DOI:10.5114/ppn.2023.135176
Piotr R Chądzyński, Katarzyna Stopińska, Izabela Domitrz
{"title":"Tolosa-Hunt syndrome: a review of diagnostic criteria based on a case series.","authors":"Piotr R Chądzyński, Katarzyna Stopińska, Izabela Domitrz","doi":"10.5114/ppn.2023.135176","DOIUrl":null,"url":null,"abstract":"<p><strong>Purpose: </strong>Tolosa-Hunt syndrome (THS) is a rare cause of painful ophtalmoplegia with different clinical manifestations. It is described as a unilateral periorbital headache with concomitant dysfunction of at least one out of the IIIrd, IVth and VIth cranial nerves due to the granulomatous inflammation of periorbital structures, but no underlying cause has been established.</p><p><strong>Case description: </strong>We present six patients referred to the Neurology Department due to a unilateral headache with ipsilateral paresis of at least one cranial nerve responsible for eye movements. The THS diagnostic criteria of the International Headache Disorders Classification (ICHD-3) were applied and analysed. Few patients had atypical clinical manifestations according to these criteria.</p><p><strong>Comment: </strong>Diagnosing THS may prove very challenging. There is a lack of specific markers for the disorder, whereas diagnostic criteria leave a wide area for misdiagnosis. The diagnostic approach should be focused on the exclusion of other pathologies because typical steroid therapy may prove fatal in otherwise benign cases.</p>","PeriodicalId":74481,"journal":{"name":"Postepy psychiatrii neurologii","volume":"33 1","pages":"26-34"},"PeriodicalIF":0.0000,"publicationDate":"2024-03-01","publicationTypes":"Journal Article","fieldsOfStudy":null,"isOpenAccess":false,"openAccessPdf":"https://www.ncbi.nlm.nih.gov/pmc/articles/PMC11211914/pdf/","citationCount":"0","resultStr":null,"platform":"Semanticscholar","paperid":null,"PeriodicalName":"Postepy psychiatrii neurologii","FirstCategoryId":"1085","ListUrlMain":"https://doi.org/10.5114/ppn.2023.135176","RegionNum":0,"RegionCategory":null,"ArticlePicture":[],"TitleCN":null,"AbstractTextCN":null,"PMCID":null,"EPubDate":"2024/2/12 0:00:00","PubModel":"Epub","JCR":"","JCRName":"","Score":null,"Total":0}
引用次数: 0

Abstract

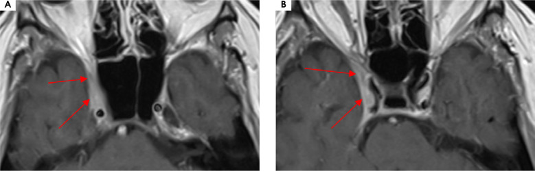
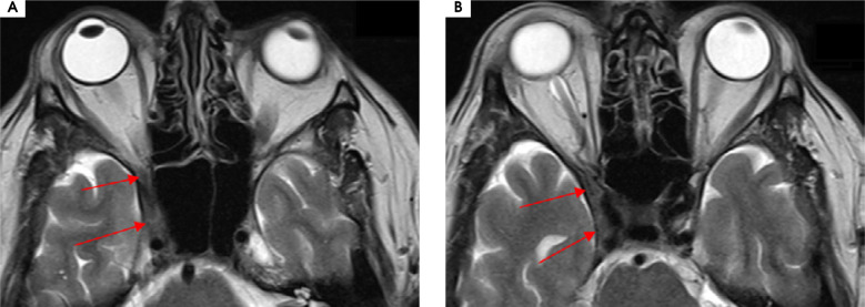
Purpose: Tolosa-Hunt syndrome (THS) is a rare cause of painful ophtalmoplegia with different clinical manifestations. It is described as a unilateral periorbital headache with concomitant dysfunction of at least one out of the IIIrd, IVth and VIth cranial nerves due to the granulomatous inflammation of periorbital structures, but no underlying cause has been established.

Case description: We present six patients referred to the Neurology Department due to a unilateral headache with ipsilateral paresis of at least one cranial nerve responsible for eye movements. The THS diagnostic criteria of the International Headache Disorders Classification (ICHD-3) were applied and analysed. Few patients had atypical clinical manifestations according to these criteria.

Comment: Diagnosing THS may prove very challenging. There is a lack of specific markers for the disorder, whereas diagnostic criteria leave a wide area for misdiagnosis. The diagnostic approach should be focused on the exclusion of other pathologies because typical steroid therapy may prove fatal in otherwise benign cases.

Abstract Image

Abstract Image

Abstract Image

托洛萨-亨特综合征:基于系列病例的诊断标准回顾。
目的:托罗莎-亨特综合征(THS)是一种罕见的引起疼痛性眼睑麻痹的疾病,临床表现各不相同。它被描述为由于眶周结构肉芽肿性炎症引起的单侧眶周头痛,同时伴有第 III、IV 和 VI 颅神经中至少一条神经的功能障碍,但其根本原因尚未确定:我们介绍了六名因单侧头痛且同侧至少有一条负责眼球运动的颅神经瘫痪而转诊至神经内科的患者。我们采用了国际头痛疾病分类(ICHD-3)的 THS 诊断标准并对其进行了分析。根据这些标准,极少数患者有不典型的临床表现:评论:THS 的诊断可能极具挑战性。评论:THS 的诊断可能非常具有挑战性,因为这种疾病缺乏特异性的标记物,而诊断标准又为误诊留下了广阔的空间。诊断方法应侧重于排除其他病症,因为典型的类固醇治疗可能会对原本良性的病例造成致命伤害。
本文章由计算机程序翻译,如有差异,请以英文原文为准。
求助全文
约1分钟内获得全文 求助全文
来源期刊
自引率
0.00%
发文量
0
×
引用
GB/T 7714-2015
复制
MLA
复制
APA
复制
导出至
BibTeX EndNote RefMan NoteFirst NoteExpress
×
提示
您的信息不完整,为了账户安全,请先补充。
现在去补充
×
提示
您因"违规操作"
具体请查看互助需知
我知道了
×
提示
确定
请完成安全验证×
copy
已复制链接
快去分享给好友吧!
我知道了
右上角分享
点击右上角分享
0
联系我们:info@booksci.cn Book学术提供免费学术资源搜索服务,方便国内外学者检索中英文文献。致力于提供最便捷和优质的服务体验。 Copyright © 2023 布克学术 All rights reserved.
京ICP备2023020795号-1
ghs 京公网安备 11010802042870号
Book学术文献互助
Book学术文献互助群
群 号:604180095
Book学术官方微信