Coexistence of multiple sclerosis and systemic lupus erythematosus - a case report.

Postepy psychiatrii neurologii Pub Date : 2024-03-01 Epub Date: 2024-01-17 DOI:10.5114/ppn.2023.134444
Maciej Dubaj, Aleksandra Dembowska, Karol Bigosiński, Ewa Belniak, Konrad Rejdak
{"title":"Coexistence of multiple sclerosis and systemic lupus erythematosus - a case report.","authors":"Maciej Dubaj, Aleksandra Dembowska, Karol Bigosiński, Ewa Belniak, Konrad Rejdak","doi":"10.5114/ppn.2023.134444","DOIUrl":null,"url":null,"abstract":"<p><strong>Purpose: </strong>Multiple sclerosis (MS) and systemic lupus erythematosus (SLE) are two autoimmune diseases that are relatively common, especially in women. However, it is extremely rare for them to coexist in a single patient (only 18 cases have been recorded worldwide). Both affect the nervous system and may manifest in identical ways. This creates significant difficulties, both in terms of diagnosis and choice of appropriate therapy.</p><p><strong>Case description: </strong>A 54-year-old female patient with quadriparesis, superficial sensory disturbance and gait and balance disorders was diagnosed with primary progressive MS according to McDonald's criteria. The magnetic resonance images were typical for MS. Previously, in 2013, she was diagnosed with SLE, treated successfully, and is currently in remission. After excluding neuropsychiatric lupus, ocrelizumab treatment was administered, with good clinical results.</p><p><strong>Comment: </strong>Adequate differentiation (magnetic resonance imaging, analysis of cerebrospinal fluid, clinical observation) as to whether the patient's symptoms are related to MS or to SLE nervous system involvement is the basis for proper diagnosis and treatment.</p>","PeriodicalId":74481,"journal":{"name":"Postepy psychiatrii neurologii","volume":"33 1","pages":"39-42"},"PeriodicalIF":0.0000,"publicationDate":"2024-03-01","publicationTypes":"Journal Article","fieldsOfStudy":null,"isOpenAccess":false,"openAccessPdf":"https://www.ncbi.nlm.nih.gov/pmc/articles/PMC11211911/pdf/","citationCount":"0","resultStr":null,"platform":"Semanticscholar","paperid":null,"PeriodicalName":"Postepy psychiatrii neurologii","FirstCategoryId":"1085","ListUrlMain":"https://doi.org/10.5114/ppn.2023.134444","RegionNum":0,"RegionCategory":null,"ArticlePicture":[],"TitleCN":null,"AbstractTextCN":null,"PMCID":null,"EPubDate":"2024/1/17 0:00:00","PubModel":"Epub","JCR":"","JCRName":"","Score":null,"Total":0}
引用次数: 0

Abstract

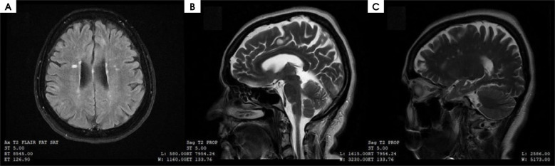
Purpose: Multiple sclerosis (MS) and systemic lupus erythematosus (SLE) are two autoimmune diseases that are relatively common, especially in women. However, it is extremely rare for them to coexist in a single patient (only 18 cases have been recorded worldwide). Both affect the nervous system and may manifest in identical ways. This creates significant difficulties, both in terms of diagnosis and choice of appropriate therapy.

Case description: A 54-year-old female patient with quadriparesis, superficial sensory disturbance and gait and balance disorders was diagnosed with primary progressive MS according to McDonald's criteria. The magnetic resonance images were typical for MS. Previously, in 2013, she was diagnosed with SLE, treated successfully, and is currently in remission. After excluding neuropsychiatric lupus, ocrelizumab treatment was administered, with good clinical results.

Comment: Adequate differentiation (magnetic resonance imaging, analysis of cerebrospinal fluid, clinical observation) as to whether the patient's symptoms are related to MS or to SLE nervous system involvement is the basis for proper diagnosis and treatment.

Abstract Image

Abstract Image

多发性硬化症与系统性红斑狼疮并存--病例报告。
目的:多发性硬化症(MS)和系统性红斑狼疮(SLE)是两种相对常见的自身免疫性疾病,尤其是在女性患者中。然而,这两种疾病同时出现在一名患者身上的情况却极为罕见(全世界仅有 18 例记录在案)。这两种疾病都会影响神经系统,表现形式也可能相同。这给诊断和选择适当的治疗方法造成了极大的困难:一位 54 岁的女性患者患有四肢瘫痪、浅表感觉障碍、步态和平衡障碍,根据麦克唐纳标准,她被诊断为原发性进行性多发性硬化症。磁共振图像是典型的多发性硬化症。在此之前的2013年,她曾被诊断患有系统性红斑狼疮,并接受了成功的治疗,目前病情正在缓解。在排除神经精神狼疮后,她接受了奥克雷珠单抗治疗,临床效果良好:评论:充分鉴别(磁共振成像、脑脊液分析、临床观察)患者的症状是与多发性硬化症有关,还是与系统性红斑狼疮神经系统受累有关,是正确诊断和治疗的基础。
本文章由计算机程序翻译,如有差异,请以英文原文为准。
求助全文
约1分钟内获得全文 求助全文
来源期刊
自引率
0.00%
发文量
0
×
引用
GB/T 7714-2015
复制
MLA
复制
APA
复制
导出至
BibTeX EndNote RefMan NoteFirst NoteExpress
×
提示
您的信息不完整,为了账户安全,请先补充。
现在去补充
×
提示
您因"违规操作"
具体请查看互助需知
我知道了
×
提示
确定
请完成安全验证×
copy
已复制链接
快去分享给好友吧!
我知道了
右上角分享
点击右上角分享
0
联系我们:info@booksci.cn Book学术提供免费学术资源搜索服务,方便国内外学者检索中英文文献。致力于提供最便捷和优质的服务体验。 Copyright © 2023 布克学术 All rights reserved.
京ICP备2023020795号-1
ghs 京公网安备 11010802042870号
Book学术文献互助
Book学术文献互助群
群 号:604180095
Book学术官方微信