WHITE CEREBELLUM SIGN AS A DARK PROGNOSTIC INDICATOR OF CEREBRAL INJURY: A CASE REPORT.

O A Badejo, E C Nwafuluaku, R B Olatunji, J A Balogun
{"title":"WHITE CEREBELLUM SIGN AS A DARK PROGNOSTIC INDICATOR OF CEREBRAL INJURY: A CASE REPORT.","authors":"O A Badejo, E C Nwafuluaku, R B Olatunji, J A Balogun","doi":"","DOIUrl":null,"url":null,"abstract":"<p><strong>Introduction: </strong>The white cerebellum sign (WCS) is a classical but rare radiological finding usually associated with irreversible diffuse hypoxic-ischemic cerebral injury. Very few cases exist in the literature globally, especially from the West African region, as a potential hallmark of poor prognostic outcome. We describe the white cerebellum sign in a Nigerian pediatric patient, managed for severe head injury.</p><p><strong>Case presentation: </strong>A fourteen-year old boy presented to our emergency department with loss of consciousness following a pedestrian road traffic accident. Physical examination revealed a critically ill boy with fever, hypotension, tachycardia, gasping respiration, GCS 3, bilateral dilated unreactive pupils, absent corneal, gag and oculocephalic reflexes. He was thus diagnosed of severe traumatic brain injury and brainstem dysfunction. He had endotracheal intubation, ventilatory and inotropic support. Cranial computerized tomography scan of the patient showed radiological features in keeping with the WCS. His clinical status remained poor until he suffered a cardiac arrest about twelve hours after admission.</p><p><strong>Conclusion: </strong>WCS has been reported in relation to child abuse, anoxic-ischemic brain injury, inflammatory and metabolic brain disorders and trauma. It is a classical radiological description of diffuse cerebral edema alongside relatively normal cerebellar hemispheres and brainstem. Management of this pathology is symptomatic, and aims to ameliorate the associated raised intracranial pressure, control seizures and prevent cerebral infarction. The index patient, who presented 24 hours after severe head injury with associated early post-traumatic seizures, respiratory failure and brainstem dysfunction, had an unfavourable outcome consistent with previous reports of WCS. We have reported the rare but classical white cerebellum sign. It remains a grave prognosticator of cerebral injury and should be sought for in the neuroimaging of patients with acute brain insults.</p>","PeriodicalId":72221,"journal":{"name":"Annals of Ibadan postgraduate medicine","volume":"22 1","pages":"108-111"},"PeriodicalIF":0.0000,"publicationDate":"2024-04-30","publicationTypes":"Journal Article","fieldsOfStudy":null,"isOpenAccess":false,"openAccessPdf":"https://www.ncbi.nlm.nih.gov/pmc/articles/PMC11205724/pdf/","citationCount":"0","resultStr":null,"platform":"Semanticscholar","paperid":null,"PeriodicalName":"Annals of Ibadan postgraduate medicine","FirstCategoryId":"1085","ListUrlMain":"","RegionNum":0,"RegionCategory":null,"ArticlePicture":[],"TitleCN":null,"AbstractTextCN":null,"PMCID":null,"EPubDate":"","PubModel":"","JCR":"","JCRName":"","Score":null,"Total":0}
引用次数: 0

Abstract

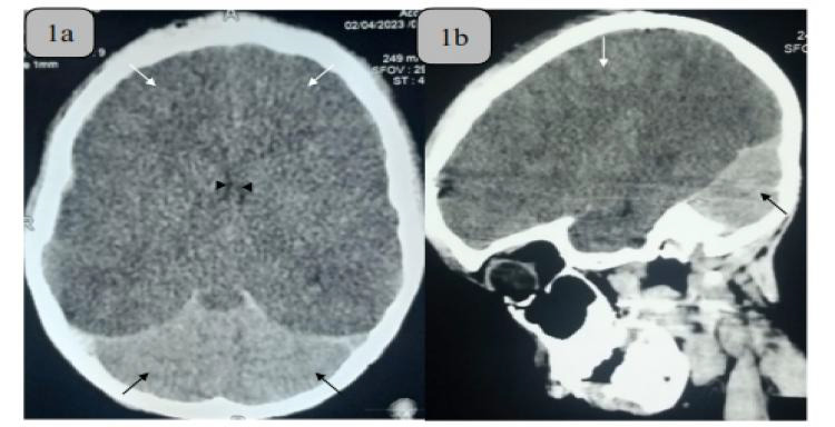
Introduction: The white cerebellum sign (WCS) is a classical but rare radiological finding usually associated with irreversible diffuse hypoxic-ischemic cerebral injury. Very few cases exist in the literature globally, especially from the West African region, as a potential hallmark of poor prognostic outcome. We describe the white cerebellum sign in a Nigerian pediatric patient, managed for severe head injury.

Case presentation: A fourteen-year old boy presented to our emergency department with loss of consciousness following a pedestrian road traffic accident. Physical examination revealed a critically ill boy with fever, hypotension, tachycardia, gasping respiration, GCS 3, bilateral dilated unreactive pupils, absent corneal, gag and oculocephalic reflexes. He was thus diagnosed of severe traumatic brain injury and brainstem dysfunction. He had endotracheal intubation, ventilatory and inotropic support. Cranial computerized tomography scan of the patient showed radiological features in keeping with the WCS. His clinical status remained poor until he suffered a cardiac arrest about twelve hours after admission.

Conclusion: WCS has been reported in relation to child abuse, anoxic-ischemic brain injury, inflammatory and metabolic brain disorders and trauma. It is a classical radiological description of diffuse cerebral edema alongside relatively normal cerebellar hemispheres and brainstem. Management of this pathology is symptomatic, and aims to ameliorate the associated raised intracranial pressure, control seizures and prevent cerebral infarction. The index patient, who presented 24 hours after severe head injury with associated early post-traumatic seizures, respiratory failure and brainstem dysfunction, had an unfavourable outcome consistent with previous reports of WCS. We have reported the rare but classical white cerebellum sign. It remains a grave prognosticator of cerebral injury and should be sought for in the neuroimaging of patients with acute brain insults.

Abstract Image

白色小脑征作为脑损伤的暗预后指标:病例报告。
简介小脑白色征(WCS)是一种经典但罕见的放射学发现,通常与不可逆的弥漫性缺氧缺血性脑损伤有关。在全球文献中,尤其是西非地区的文献中,这种病例极少,是预后不良的潜在标志。我们描述了一名因严重颅脑损伤而接受治疗的尼日利亚儿童患者的白色小脑征:病例介绍:一名 14 岁的男孩在一次行人道路交通事故后因意识丧失来到我们的急诊科。体格检查显示,男孩病情危重,伴有发热、低血压、心动过速、喘息、GCS 3、双侧瞳孔散大无反应、角膜反射、吞咽反射和眼-脑反射消失。因此,他被诊断为重度脑外伤和脑干功能障碍。他接受了气管插管、通气和肌力支持治疗。患者的头颅计算机断层扫描显示,其放射学特征与 WCS 一致。他的临床状况一直很差,直到入院约 12 小时后心脏骤停:结论:有报道称,WCS 与虐待儿童、缺氧缺血性脑损伤、脑部炎症和代谢紊乱以及创伤有关。它是弥漫性脑水肿与相对正常的小脑半球和脑干的经典放射学描述。对这种病症的治疗是对症处理,目的是改善相关的颅内压升高、控制癫痫发作和预防脑梗塞。该例患者在重度颅脑损伤后 24 小时发病,伴有早期创伤后癫痫发作、呼吸衰竭和脑干功能障碍,其不良预后与之前有关 WCS 的报道一致。我们报告了罕见但经典的白色小脑征。它仍然是脑损伤的一个重要预后指标,应在急性脑损伤患者的神经影像学检查中加以注意。
本文章由计算机程序翻译,如有差异,请以英文原文为准。
求助全文
约1分钟内获得全文 求助全文
来源期刊
自引率
0.00%
发文量
0
×
引用
GB/T 7714-2015
复制
MLA
复制
APA
复制
导出至
BibTeX EndNote RefMan NoteFirst NoteExpress
×
提示
您的信息不完整,为了账户安全,请先补充。
现在去补充
×
提示
您因"违规操作"
具体请查看互助需知
我知道了
×
提示
确定
请完成安全验证×
copy
已复制链接
快去分享给好友吧!
我知道了
右上角分享
点击右上角分享
0
联系我们:info@booksci.cn Book学术提供免费学术资源搜索服务,方便国内外学者检索中英文文献。致力于提供最便捷和优质的服务体验。 Copyright © 2023 布克学术 All rights reserved.
京ICP备2023020795号-1
ghs 京公网安备 11010802042870号
Book学术文献互助
Book学术文献互助群
群 号:604180095
Book学术官方微信