Epithelioid Hemangioendothelioma of Spleen and Bone: A Case Report.

IF 1.3 4区 医学 Q4 RADIOLOGY, NUCLEAR MEDICINE & MEDICAL IMAGING
Journal of the Belgian Society of Radiology Pub Date : 2024-06-25 eCollection Date: 2024-01-01 DOI:10.5334/jbsr.3600
Melvin Denolf, Annelies Rappaport, Sigrun Delvaux
{"title":"Epithelioid Hemangioendothelioma of Spleen and Bone: A Case Report.","authors":"Melvin Denolf, Annelies Rappaport, Sigrun Delvaux","doi":"10.5334/jbsr.3600","DOIUrl":null,"url":null,"abstract":"<p><p>Epithelioid hemangioendothelioma (EHE) is a rare vascular tumor that can originate in various parenchymatous organs, soft tissue, and bone. Extrahepatic involvement is exceedingly rare. In this case, multifocal disease in the spleen and bone was present. Bone lesions showed a target appearance. Splenic lesions showed delayed enhancement of solid components with persistent rim enhancement. A bone biopsy with CAMTA1 staining confirmed the diagnosis. <i>Teaching point:</i> The presence of multifocal bone and splenic lesions can raise suspicion of EHE when other multifocal diseases are excluded.</p>","PeriodicalId":55987,"journal":{"name":"Journal of the Belgian Society of Radiology","volume":"108 1","pages":"64"},"PeriodicalIF":1.3000,"publicationDate":"2024-06-25","publicationTypes":"Journal Article","fieldsOfStudy":null,"isOpenAccess":false,"openAccessPdf":"https://www.ncbi.nlm.nih.gov/pmc/articles/PMC11212771/pdf/","citationCount":"0","resultStr":null,"platform":"Semanticscholar","paperid":null,"PeriodicalName":"Journal of the Belgian Society of Radiology","FirstCategoryId":"3","ListUrlMain":"https://doi.org/10.5334/jbsr.3600","RegionNum":4,"RegionCategory":"医学","ArticlePicture":[],"TitleCN":null,"AbstractTextCN":null,"PMCID":null,"EPubDate":"2024/1/1 0:00:00","PubModel":"eCollection","JCR":"Q4","JCRName":"RADIOLOGY, NUCLEAR MEDICINE & MEDICAL IMAGING","Score":null,"Total":0}
引用次数: 0

Abstract

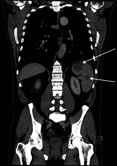
Epithelioid hemangioendothelioma (EHE) is a rare vascular tumor that can originate in various parenchymatous organs, soft tissue, and bone. Extrahepatic involvement is exceedingly rare. In this case, multifocal disease in the spleen and bone was present. Bone lesions showed a target appearance. Splenic lesions showed delayed enhancement of solid components with persistent rim enhancement. A bone biopsy with CAMTA1 staining confirmed the diagnosis. Teaching point: The presence of multifocal bone and splenic lesions can raise suspicion of EHE when other multifocal diseases are excluded.

Abstract Image

Abstract Image

Abstract Image

脾脏和骨骼的上皮样血管内皮瘤:病例报告。
上皮样血管内皮瘤(EHE)是一种罕见的血管肿瘤,可起源于各种实质性器官、软组织和骨骼。肝外受累极为罕见。在该病例中,脾脏和骨骼出现多灶性病变。骨病变呈靶状。脾脏病变显示实性成分延迟强化,边缘持续强化。经CAMTA1染色的骨活检确诊。教学要点在排除其他多灶性疾病的情况下,出现多灶性骨和脾病变可引起对 EHE 的怀疑。
本文章由计算机程序翻译,如有差异,请以英文原文为准。
求助全文
约1分钟内获得全文 求助全文
来源期刊
Journal of the Belgian Society of Radiology
Journal of the Belgian Society of Radiology Medicine-Radiology, Nuclear Medicine and Imaging
CiteScore
0.70
自引率
5.00%
发文量
96
期刊介绍: The purpose of the Journal of the Belgian Society of Radiology is the publication of articles dealing with diagnostic and interventional radiology, related imaging techniques, allied sciences, and continuing education.
×
引用
GB/T 7714-2015
复制
MLA
复制
APA
复制
导出至
BibTeX EndNote RefMan NoteFirst NoteExpress
×
提示
您的信息不完整,为了账户安全,请先补充。
现在去补充
×
提示
您因"违规操作"
具体请查看互助需知
我知道了
×
提示
确定
请完成安全验证×
copy
已复制链接
快去分享给好友吧!
我知道了
右上角分享
点击右上角分享
0
联系我们:info@booksci.cn Book学术提供免费学术资源搜索服务,方便国内外学者检索中英文文献。致力于提供最便捷和优质的服务体验。 Copyright © 2023 布克学术 All rights reserved.
京ICP备2023020795号-1
ghs 京公网安备 11010802042870号
Book学术文献互助
Book学术文献互助群
群 号:604180095
Book学术官方微信