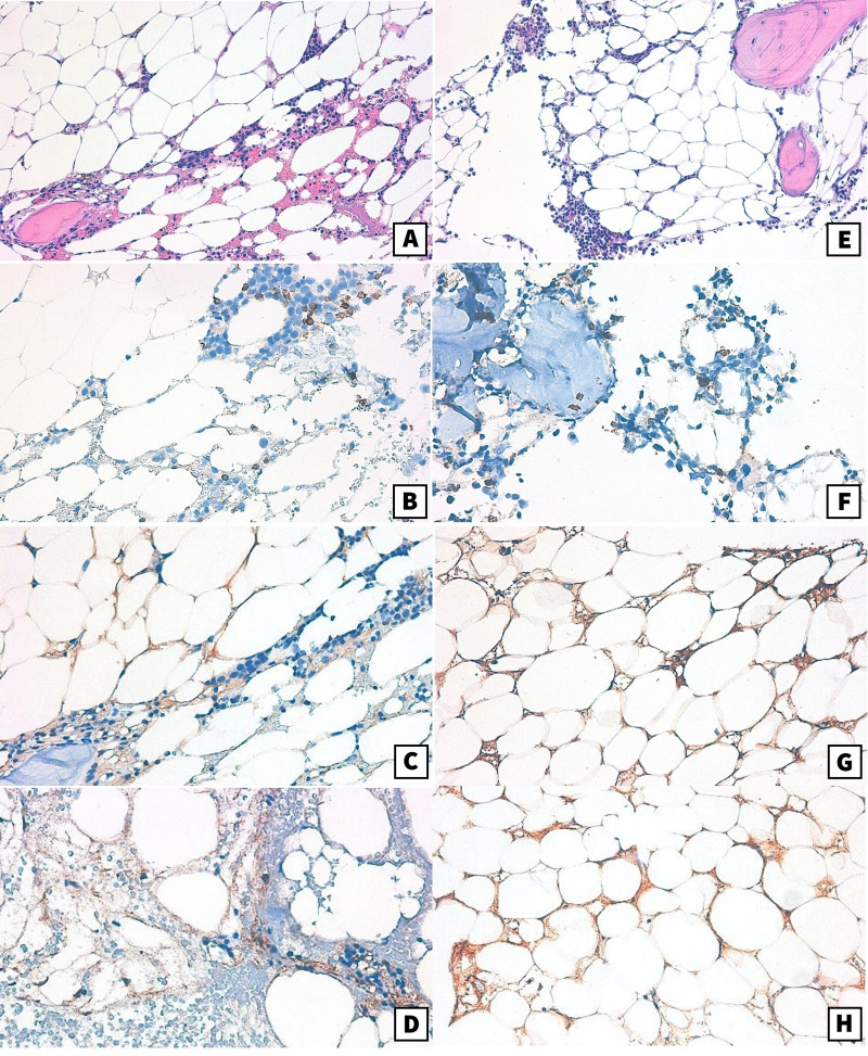
Severe aplastic anemia secondary to immune checkpoint inhibitor: case report and literature review.

IF 2.3 3区 医学 Q2 HEMATOLOGY
Blood Transfusion Pub Date : 2025-05-01 Epub Date: 2024-06-12 DOI:10.2450/BloodTransfus.723
Alessandro Bosi, Maria C Di Chio, Marta Bortolotti, Giorgio A Croci, Francesco Passamonti, Wilma Barcellini, Bruno Fattizzo
{"title":"Severe aplastic anemia secondary to immune checkpoint inhibitor: case report and literature review.","authors":"Alessandro Bosi, Maria C Di Chio, Marta Bortolotti, Giorgio A Croci, Francesco Passamonti, Wilma Barcellini, Bruno Fattizzo","doi":"10.2450/BloodTransfus.723","DOIUrl":null,"url":null,"abstract":"","PeriodicalId":49260,"journal":{"name":"Blood Transfusion","volume":" ","pages":"271-274"},"PeriodicalIF":2.3000,"publicationDate":"2025-05-01","publicationTypes":"Journal Article","fieldsOfStudy":null,"isOpenAccess":false,"openAccessPdf":"https://www.ncbi.nlm.nih.gov/pmc/articles/PMC12108092/pdf/","citationCount":"0","resultStr":null,"platform":"Semanticscholar","paperid":null,"PeriodicalName":"Blood Transfusion","FirstCategoryId":"3","ListUrlMain":"https://doi.org/10.2450/BloodTransfus.723","RegionNum":3,"RegionCategory":"医学","ArticlePicture":[],"TitleCN":null,"AbstractTextCN":null,"PMCID":null,"EPubDate":"2024/6/12 0:00:00","PubModel":"Epub","JCR":"Q2","JCRName":"HEMATOLOGY","Score":null,"Total":0}
引用次数: 0

Abstract Image

继发于免疫检查点抑制剂的重型再生障碍性贫血:病例报告和文献综述。
本文章由计算机程序翻译,如有差异,请以英文原文为准。
求助全文
约1分钟内获得全文 求助全文
来源期刊
Blood Transfusion
Blood Transfusion HEMATOLOGY-
CiteScore
6.10
自引率
2.70%
发文量
91
审稿时长
2 months
期刊介绍: Blood Transfusion welcomes international submissions of Original Articles, Review Articles, Case Reports and Letters on all the fields related to Transfusion Medicine.
×
引用
GB/T 7714-2015
复制
MLA
复制
APA
复制
导出至
BibTeX EndNote RefMan NoteFirst NoteExpress
×
提示
您的信息不完整,为了账户安全,请先补充。
现在去补充
×
提示
您因"违规操作"
具体请查看互助需知
我知道了
×
提示
确定
请完成安全验证×
copy
已复制链接
快去分享给好友吧!
我知道了
右上角分享
点击右上角分享
0
联系我们:info@booksci.cn Book学术提供免费学术资源搜索服务,方便国内外学者检索中英文文献。致力于提供最便捷和优质的服务体验。 Copyright © 2023 布克学术 All rights reserved.
京ICP备2023020795号-1
ghs 京公网安备 11010802042870号
Book学术文献互助
Book学术文献互助群
群 号:604180095
Book学术官方微信