EBV-Positive Pleomorphic Variant Transformation of CD5-Negative Mantle Cell Lymphoma: A Rare Case Report and Literature Review.

IF 0.7 Q4 HEMATOLOGY
Case Reports in Hematology Pub Date : 2024-06-05 eCollection Date: 2024-01-01 DOI:10.1155/2024/3267739
Amy Song, Julie Y Li, Samuel G Cockey, Richard Shao, Hailing Zhang
{"title":"EBV-Positive Pleomorphic Variant Transformation of CD5-Negative Mantle Cell Lymphoma: A Rare Case Report and Literature Review.","authors":"Amy Song, Julie Y Li, Samuel G Cockey, Richard Shao, Hailing Zhang","doi":"10.1155/2024/3267739","DOIUrl":null,"url":null,"abstract":"<p><p>Mantle cell lymphoma (MCL) is a mature B-cell lymphoma associated with cyclin D family rearrangements and typically expresses CD5 and cyclin D1. Epstein-Barr virus- (EBV-) positive MCL is rare, and the role of EBV infection and its transformation in MCL remains unclear. We present a case of CD5-negative classic MCL that progressed to an EBV + pleomorphic MCL six years after the initial diagnosis. Molecular studies confirmed the same clonal origin. To the best of our knowledge, the EBV-positive transformation of CD5-negative MCL into a pleomorphic variant has rarely been reported, and its recognition is important for the diagnosis and the management of patients with MCL.</p>","PeriodicalId":46307,"journal":{"name":"Case Reports in Hematology","volume":"2024 ","pages":"3267739"},"PeriodicalIF":0.7000,"publicationDate":"2024-06-05","publicationTypes":"Journal Article","fieldsOfStudy":null,"isOpenAccess":false,"openAccessPdf":"https://www.ncbi.nlm.nih.gov/pmc/articles/PMC11208810/pdf/","citationCount":"0","resultStr":null,"platform":"Semanticscholar","paperid":null,"PeriodicalName":"Case Reports in Hematology","FirstCategoryId":"1085","ListUrlMain":"https://doi.org/10.1155/2024/3267739","RegionNum":0,"RegionCategory":null,"ArticlePicture":[],"TitleCN":null,"AbstractTextCN":null,"PMCID":null,"EPubDate":"2024/1/1 0:00:00","PubModel":"eCollection","JCR":"Q4","JCRName":"HEMATOLOGY","Score":null,"Total":0}
引用次数: 0

Abstract

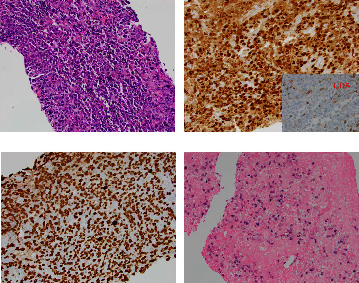
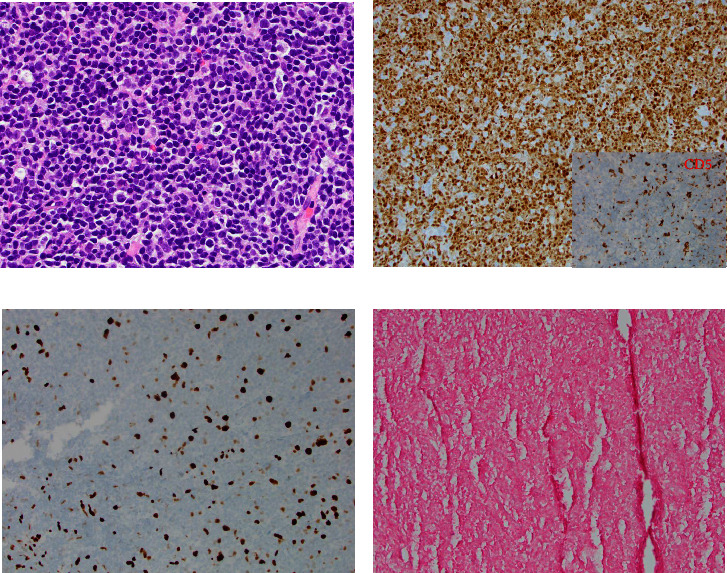
Mantle cell lymphoma (MCL) is a mature B-cell lymphoma associated with cyclin D family rearrangements and typically expresses CD5 and cyclin D1. Epstein-Barr virus- (EBV-) positive MCL is rare, and the role of EBV infection and its transformation in MCL remains unclear. We present a case of CD5-negative classic MCL that progressed to an EBV + pleomorphic MCL six years after the initial diagnosis. Molecular studies confirmed the same clonal origin. To the best of our knowledge, the EBV-positive transformation of CD5-negative MCL into a pleomorphic variant has rarely been reported, and its recognition is important for the diagnosis and the management of patients with MCL.

Abstract Image

Abstract Image

Abstract Image

CD5 阴性套细胞淋巴瘤的 EBV 阳性多形变异转化:罕见病例报告和文献综述。
套细胞淋巴瘤(MCL)是一种成熟的 B 细胞淋巴瘤,与细胞周期蛋白 D 家族重排有关,通常表达 CD5 和细胞周期蛋白 D1。Epstein-Barr 病毒(EBV)阳性的 MCL 非常罕见,EBV 感染及其在 MCL 中的转化作用仍不清楚。我们报告了一例 CD5 阴性的典型 MCL 病例,该病例在初诊六年后进展为 EBV + 多形性 MCL。分子研究证实了相同的克隆起源。据我们所知,EBV 阳性的 CD5 阴性 MCL 转变为多形性变体的病例很少见报道,认识到这一点对于 MCL 患者的诊断和治疗非常重要。
本文章由计算机程序翻译,如有差异,请以英文原文为准。
求助全文
约1分钟内获得全文 求助全文
来源期刊
自引率
0.00%
发文量
51
审稿时长
13 weeks
×
引用
GB/T 7714-2015
复制
MLA
复制
APA
复制
导出至
BibTeX EndNote RefMan NoteFirst NoteExpress
×
提示
您的信息不完整,为了账户安全,请先补充。
现在去补充
×
提示
您因"违规操作"
具体请查看互助需知
我知道了
×
提示
确定
请完成安全验证×
copy
已复制链接
快去分享给好友吧!
我知道了
右上角分享
点击右上角分享
0
联系我们:info@booksci.cn Book学术提供免费学术资源搜索服务,方便国内外学者检索中英文文献。致力于提供最便捷和优质的服务体验。 Copyright © 2023 布克学术 All rights reserved.
京ICP备2023020795号-1
ghs 京公网安备 11010802042870号
Book学术文献互助
Book学术文献互助群
群 号:604180095
Book学术官方微信