Chylothorax as Initial Presentation of Follicular Lymphoma: A Case Report and Literature Search.

IF 0.7 Q4 HEMATOLOGY
Case Reports in Hematology Pub Date : 2024-06-06 eCollection Date: 2024-01-01 DOI:10.1155/2024/7985228
Gi Eun Kim, Yousif Khaled, Saleh Mahmoud, Amin Ur Rehman
{"title":"Chylothorax as Initial Presentation of Follicular Lymphoma: A Case Report and Literature Search.","authors":"Gi Eun Kim, Yousif Khaled, Saleh Mahmoud, Amin Ur Rehman","doi":"10.1155/2024/7985228","DOIUrl":null,"url":null,"abstract":"<p><p>Chylothorax is accumulation of chyle in pleural space. Causes include traumatic, such as after esophagectomy, and nontraumatic, most commonly malignancy. Lymphoma usually presents as asymptomatic lymphadenopathy, and chylothorax tends to occur late in disease course. Chylothorax as initial presentation of lymphoma is rare with only case reports. We present a case of 43-year-old female who presented with dyspnea only with no B symptoms and found to have left-sided chylothorax, and was later diagnosed to have stage IV follicular lymphoma. This case highlights an atypical presentation of follicular lymphoma, to help physicians to reach diagnosis earlier in similar cases.</p>","PeriodicalId":46307,"journal":{"name":"Case Reports in Hematology","volume":"2024 ","pages":"7985228"},"PeriodicalIF":0.7000,"publicationDate":"2024-06-06","publicationTypes":"Journal Article","fieldsOfStudy":null,"isOpenAccess":false,"openAccessPdf":"https://www.ncbi.nlm.nih.gov/pmc/articles/PMC11208796/pdf/","citationCount":"0","resultStr":null,"platform":"Semanticscholar","paperid":null,"PeriodicalName":"Case Reports in Hematology","FirstCategoryId":"1085","ListUrlMain":"https://doi.org/10.1155/2024/7985228","RegionNum":0,"RegionCategory":null,"ArticlePicture":[],"TitleCN":null,"AbstractTextCN":null,"PMCID":null,"EPubDate":"2024/1/1 0:00:00","PubModel":"eCollection","JCR":"Q4","JCRName":"HEMATOLOGY","Score":null,"Total":0}
引用次数: 0

Abstract

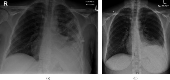
Chylothorax is accumulation of chyle in pleural space. Causes include traumatic, such as after esophagectomy, and nontraumatic, most commonly malignancy. Lymphoma usually presents as asymptomatic lymphadenopathy, and chylothorax tends to occur late in disease course. Chylothorax as initial presentation of lymphoma is rare with only case reports. We present a case of 43-year-old female who presented with dyspnea only with no B symptoms and found to have left-sided chylothorax, and was later diagnosed to have stage IV follicular lymphoma. This case highlights an atypical presentation of follicular lymphoma, to help physicians to reach diagnosis earlier in similar cases.

Abstract Image

乳糜胸是滤泡性淋巴瘤的最初表现:病例报告与文献检索
乳糜胸是指胸膜腔内积聚乳糜。原因包括外伤性(如食管切除术后)和非外伤性(最常见的是恶性肿瘤)。淋巴瘤通常表现为无症状的淋巴结病,而乳糜胸往往发生在病程的后期。以乳糜胸作为淋巴瘤初期表现的病例很少见,仅有个案报道。我们报告了一例 43 岁女性病例,患者仅表现为呼吸困难,无 B 型症状,发现左侧乳糜胸,后确诊为滤泡性淋巴瘤 IV 期。本病例强调了滤泡性淋巴瘤的非典型表现,有助于医生在类似病例中更早做出诊断。
本文章由计算机程序翻译,如有差异,请以英文原文为准。
求助全文
约1分钟内获得全文 求助全文
来源期刊
自引率
0.00%
发文量
51
审稿时长
13 weeks
×
引用
GB/T 7714-2015
复制
MLA
复制
APA
复制
导出至
BibTeX EndNote RefMan NoteFirst NoteExpress
×
提示
您的信息不完整,为了账户安全,请先补充。
现在去补充
×
提示
您因"违规操作"
具体请查看互助需知
我知道了
×
提示
确定
请完成安全验证×
copy
已复制链接
快去分享给好友吧!
我知道了
右上角分享
点击右上角分享
0
联系我们:info@booksci.cn Book学术提供免费学术资源搜索服务,方便国内外学者检索中英文文献。致力于提供最便捷和优质的服务体验。 Copyright © 2023 布克学术 All rights reserved.
京ICP备2023020795号-1
ghs 京公网安备 11010802042870号
Book学术文献互助
Book学术文献互助群
群 号:604180095
Book学术官方微信