[Cerebral gas embolism as a complication of diffuse interstitial lung disease]

Q3 Medicine
Juan Ramon Y Cajal Calvo, Laura Perez Abad, Victoria Mayoral Campos, Beatriz Carro Alonso
{"title":"[Cerebral gas embolism as a complication of diffuse interstitial lung disease]","authors":"Juan Ramon Y Cajal Calvo, Laura Perez Abad, Victoria Mayoral Campos, Beatriz Carro Alonso","doi":"10.31053/1853.0605.v81.n2.42414","DOIUrl":null,"url":null,"abstract":"<p><strong>Introduction: </strong>Cerebral gas embolism is an unusual but extremely serious condition that occurs when air is introduced into the arterial or venous circulation of the brain. Although rare, it can lead to significant neurological deficits and even the death of the patient.</p><p><strong>Clinical case: </strong>76-year-old patient with pre-existing diffuse interstitial lung disease, who experienced a massive stroke due to spontaneous pneumomediastinum. Her presentation included confusion, seizures, and motor weakness. Imaging tests revealed air bubbles in the cerebral sulci and hypodense areas in the cerebellum and parietooccipitals. In addition, pneumothorax and air in the upper mediastinum were noted on chest radiographs and chest CT scan. Despite therapeutic measures such as hyperbaric oxygen, the patient unfortunately died due to multiple organ failure.</p><p><strong>Discussion: </strong>The diagnosis of cerebral gas embolism generally involves performing a cerebral computed tomography, which is highly sensitive for detecting the presence of air in the cerebral vessels. Management includes monitoring of vital and neurological signs, as well as specific measures such as airway closure, venous catheter aspiration, Trendelenburg positioning, and hyperbaric oxygen.</p><p><strong>Conclusion: </strong>Cerebral gas embolism is a potentially fatal condition that requires a brain computed tomography for diagnosis and it is vitally important to know the prevention measures to avoid the appearance of this complication and also to know the general measures to adopt when it occurs.</p>","PeriodicalId":38814,"journal":{"name":"Revista de la Facultad de Ciencias Medicas de Cordoba","volume":"81 2","pages":"381-390"},"PeriodicalIF":0.0000,"publicationDate":"2024-06-28","publicationTypes":"Journal Article","fieldsOfStudy":null,"isOpenAccess":false,"openAccessPdf":"https://www.ncbi.nlm.nih.gov/pmc/articles/PMC11370872/pdf/","citationCount":"0","resultStr":null,"platform":"Semanticscholar","paperid":null,"PeriodicalName":"Revista de la Facultad de Ciencias Medicas de Cordoba","FirstCategoryId":"1085","ListUrlMain":"https://doi.org/10.31053/1853.0605.v81.n2.42414","RegionNum":0,"RegionCategory":null,"ArticlePicture":[],"TitleCN":null,"AbstractTextCN":null,"PMCID":null,"EPubDate":"","PubModel":"","JCR":"Q3","JCRName":"Medicine","Score":null,"Total":0}
引用次数: 0

Abstract

Introduction: Cerebral gas embolism is an unusual but extremely serious condition that occurs when air is introduced into the arterial or venous circulation of the brain. Although rare, it can lead to significant neurological deficits and even the death of the patient.

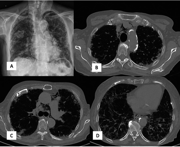
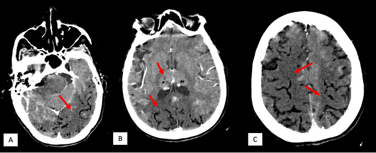
Clinical case: 76-year-old patient with pre-existing diffuse interstitial lung disease, who experienced a massive stroke due to spontaneous pneumomediastinum. Her presentation included confusion, seizures, and motor weakness. Imaging tests revealed air bubbles in the cerebral sulci and hypodense areas in the cerebellum and parietooccipitals. In addition, pneumothorax and air in the upper mediastinum were noted on chest radiographs and chest CT scan. Despite therapeutic measures such as hyperbaric oxygen, the patient unfortunately died due to multiple organ failure.

Discussion: The diagnosis of cerebral gas embolism generally involves performing a cerebral computed tomography, which is highly sensitive for detecting the presence of air in the cerebral vessels. Management includes monitoring of vital and neurological signs, as well as specific measures such as airway closure, venous catheter aspiration, Trendelenburg positioning, and hyperbaric oxygen.

Conclusion: Cerebral gas embolism is a potentially fatal condition that requires a brain computed tomography for diagnosis and it is vitally important to know the prevention measures to avoid the appearance of this complication and also to know the general measures to adopt when it occurs.

Abstract Image

Abstract Image

[作为弥漫性间质性肺病并发症的脑气体栓塞]
简介脑气体栓塞是一种不常见但极其严重的疾病,当空气进入大脑的动脉或静脉循环时就会发生脑气体栓塞。虽然罕见,但它可导致严重的神经功能障碍,甚至导致患者死亡:76岁的患者原有弥漫性间质性肺病,因自发性气胸导致大面积中风。她的症状包括意识模糊、抽搐和运动无力。影像学检查发现她的大脑沟有气泡,小脑和枕骨旁有低密度区。此外,胸片和胸部 CT 扫描还发现气胸和上纵隔有空气。尽管采取了高压氧等治疗措施,患者还是不幸因多器官衰竭而死亡:讨论:脑气体栓塞的诊断一般需要进行脑计算机断层扫描,它对检测脑血管中是否存在空气非常敏感。处理方法包括监测生命体征和神经系统体征,以及采取特定措施,如关闭气道、静脉导管抽吸、Trendelenburg体位和高压氧:脑气体栓塞是一种可能致命的疾病,需要通过脑计算机断层扫描来诊断,了解避免出现这种并发症的预防措施以及出现这种并发症时应采取的一般措施至关重要。
本文章由计算机程序翻译,如有差异,请以英文原文为准。
求助全文
约1分钟内获得全文 求助全文
来源期刊
CiteScore
1.60
自引率
0.00%
发文量
60
审稿时长
20 weeks
期刊介绍: The Journal of the Faculty of Medical Sciences is a scientific publication of the Secretariat of Science and Technology of the Faculty of Medical Sciences of the National University of Cordoba. Its objective is to disseminate and promote research work related to Medical and Biological Sciences. It publishes scientific works of national and international professionals on different topics related to health sciences from the field of medicine, nursing, kinesiology, diagnostic imaging, phonoaudiology, nutrition, public health, chemical sciences, dentistry and related.
×
引用
GB/T 7714-2015
复制
MLA
复制
APA
复制
导出至
BibTeX EndNote RefMan NoteFirst NoteExpress
×
提示
您的信息不完整,为了账户安全,请先补充。
现在去补充
×
提示
您因"违规操作"
具体请查看互助需知
我知道了
×
提示
确定
请完成安全验证×
copy
已复制链接
快去分享给好友吧!
我知道了
右上角分享
点击右上角分享
0
联系我们:info@booksci.cn Book学术提供免费学术资源搜索服务,方便国内外学者检索中英文文献。致力于提供最便捷和优质的服务体验。 Copyright © 2023 布克学术 All rights reserved.
京ICP备2023020795号-1
ghs 京公网安备 11010802042870号
Book学术文献互助
Book学术文献互助群
群 号:604180095
Book学术官方微信