[Retroperitoneal schwannoma mimicking colorectal cancer metastases: a false positive result report.]

Q3 Medicine
Juan Bautista Del Valle, Juan Pablo Campana, Melina Paula Valeo Chulvi, Pablo Daniel Roitman
{"title":"[Retroperitoneal schwannoma mimicking colorectal cancer metastases: a false positive result report.]","authors":"Juan Bautista Del Valle, Juan Pablo Campana, Melina Paula Valeo Chulvi, Pablo Daniel Roitman","doi":"10.31053/1853.0605.v81.n2.38014","DOIUrl":null,"url":null,"abstract":"<p><strong>Introduction: </strong>schwannomas are benign and common soft tissue tumors. They are usually asymptomatic and are discovered for other reasons.</p><p><strong>Materials: </strong>we present the case of an 82-year-old male patient with a recent diagnosis of moderately differentiated adenocarcinoma of the colon and a hypermetabolic periaortic nodule as an incidental finding.</p><p><strong>Results: </strong>percutaneous biopsy of the periaortic nodule confirmed the diagnosis of schwannoma. At one year of follow-up, growth of the schwannoma has been demonstrated. There are no signs of progression of his oncological disease.</p><p><strong>Conclusions: </strong>schwannomas are benign tumors, rarely found in the retroperitoneum and can be sources of false-positive positron emission tomography results.</p>","PeriodicalId":38814,"journal":{"name":"Revista de la Facultad de Ciencias Medicas de Cordoba","volume":"81 2","pages":"370-380"},"PeriodicalIF":0.0000,"publicationDate":"2024-06-28","publicationTypes":"Journal Article","fieldsOfStudy":null,"isOpenAccess":false,"openAccessPdf":"https://www.ncbi.nlm.nih.gov/pmc/articles/PMC11370875/pdf/","citationCount":"0","resultStr":null,"platform":"Semanticscholar","paperid":null,"PeriodicalName":"Revista de la Facultad de Ciencias Medicas de Cordoba","FirstCategoryId":"1085","ListUrlMain":"https://doi.org/10.31053/1853.0605.v81.n2.38014","RegionNum":0,"RegionCategory":null,"ArticlePicture":[],"TitleCN":null,"AbstractTextCN":null,"PMCID":null,"EPubDate":"","PubModel":"","JCR":"Q3","JCRName":"Medicine","Score":null,"Total":0}
引用次数: 0

Abstract

Introduction: schwannomas are benign and common soft tissue tumors. They are usually asymptomatic and are discovered for other reasons.

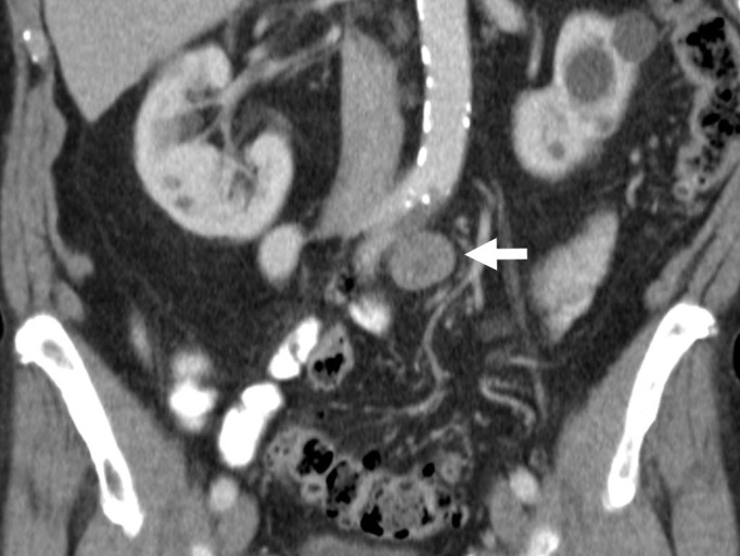
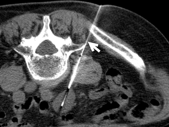
Materials: we present the case of an 82-year-old male patient with a recent diagnosis of moderately differentiated adenocarcinoma of the colon and a hypermetabolic periaortic nodule as an incidental finding.

Results: percutaneous biopsy of the periaortic nodule confirmed the diagnosis of schwannoma. At one year of follow-up, growth of the schwannoma has been demonstrated. There are no signs of progression of his oncological disease.

Conclusions: schwannomas are benign tumors, rarely found in the retroperitoneum and can be sources of false-positive positron emission tomography results.

Abstract Image

Abstract Image

Abstract Image

模仿结直肠癌转移的腹膜后分裂瘤:假阳性结果报告。
导言:许旺瘤是常见的良性软组织肿瘤。它们通常没有症状,因其他原因而被发现。材料与方法:本病例是一名 82 岁的男性患者,最近被诊断为结肠中度分化腺癌,偶然发现主动脉周围有一个高代谢结节。结果:主动脉周围结节经皮活检确诊为裂隙瘤。在一年的随访中,发现裂隙瘤有生长。她的肿瘤疾病没有进展迹象。结论:分裂瘤是一种良性肿瘤,在腹膜后不常见,可能是正电子发射断层扫描假阳性结果的来源。
本文章由计算机程序翻译,如有差异,请以英文原文为准。
求助全文
约1分钟内获得全文 求助全文
来源期刊
CiteScore
1.60
自引率
0.00%
发文量
60
审稿时长
20 weeks
期刊介绍: The Journal of the Faculty of Medical Sciences is a scientific publication of the Secretariat of Science and Technology of the Faculty of Medical Sciences of the National University of Cordoba. Its objective is to disseminate and promote research work related to Medical and Biological Sciences. It publishes scientific works of national and international professionals on different topics related to health sciences from the field of medicine, nursing, kinesiology, diagnostic imaging, phonoaudiology, nutrition, public health, chemical sciences, dentistry and related.
×
引用
GB/T 7714-2015
复制
MLA
复制
APA
复制
导出至
BibTeX EndNote RefMan NoteFirst NoteExpress
×
提示
您的信息不完整,为了账户安全,请先补充。
现在去补充
×
提示
您因"违规操作"
具体请查看互助需知
我知道了
×
提示
确定
请完成安全验证×
copy
已复制链接
快去分享给好友吧!
我知道了
右上角分享
点击右上角分享
0
联系我们:info@booksci.cn Book学术提供免费学术资源搜索服务,方便国内外学者检索中英文文献。致力于提供最便捷和优质的服务体验。 Copyright © 2023 布克学术 All rights reserved.
京ICP备2023020795号-1
ghs 京公网安备 11010802042870号
Book学术文献互助
Book学术文献互助群
群 号:604180095
Book学术官方微信