[Percutaneous radiofrequency ablation of osteoid osteoma: results from 9 years of experience in a third-level center.]

Q3 Medicine
Miguel Agustin Duva, Juan Bautista Del Valle, Lorena Savluk, Matías Adrián Borensztein
{"title":"[Percutaneous radiofrequency ablation of osteoid osteoma: results from 9 years of experience in a third-level center.]","authors":"Miguel Agustin Duva, Juan Bautista Del Valle, Lorena Savluk, Matías Adrián Borensztein","doi":"10.31053/1853.0605.v81.n2.42451","DOIUrl":null,"url":null,"abstract":"<p><strong>Introduction: </strong>Osteoid osteoma is a benign bone tumor that accounts for roughly 2-3% of primary bone tumors and up to 10-12% of benigns bone neoplasms. It is most commonly seen in young adults, and shows male predominance. Over the last years, minimally invasive thermal ablation techniques such as radiofrequency ablation have gained popularity over classical surgery. In this study we evaluate results and complications of CT guided osteoid osteoma radiofrequency ablation.</p><p><strong>Materials and methods: </strong>In this retrospective cohort study all patients that were diagnosed with osteoid osteoma and treated using radiofrequency ablation between January 2014 and December 2022 were included. Pain was assessed using Visual Analog Scale (VAS) pre and post procedure. Technical success was established as positioning of the radiofrequency electrode in the nidus. Primary clinical success was defined as absence of pain after one radiofrequency session. All patients that required a second radiofrequency ablation were included in the overall clinical success group.</p><p><strong>Results: </strong>During the studied period, 61 osteoid osteoma radiofrequency ablations were performed. Fiftyseven of them were included in this study, 32 were men and 25 female. Pre procedure median pain was 9 according to VAS score. Only 23 patients were treated as outpatient, the rest stayed in hospital for 24 hours. Median follow up time was 21,7 months (SD 8,3). Biopsy was performed in 52 patients. Technical success was accomplished in 57 patients (100%). Primary clinical success was 80,7% (46 patients). Those who continued with pain or had recurrence after a symptoms free period (11 patients), were treated with a second radiofrequency ablation, achieving an overall success rate of 94,7%. Only one patient suffered a minor complication (1,7%).</p><p><strong>Conclusion: </strong>CT guided osteoid osteoma radiofrequency ablation is a safe, effective and low complication rate procedure, that can be performed on an outpatient basis. We believe it should be considered as a first line treatment option for osteoid osteoma.</p>","PeriodicalId":38814,"journal":{"name":"Revista de la Facultad de Ciencias Medicas de Cordoba","volume":"81 2","pages":"336-352"},"PeriodicalIF":0.0000,"publicationDate":"2024-06-28","publicationTypes":"Journal Article","fieldsOfStudy":null,"isOpenAccess":false,"openAccessPdf":"https://www.ncbi.nlm.nih.gov/pmc/articles/PMC11370883/pdf/","citationCount":"0","resultStr":null,"platform":"Semanticscholar","paperid":null,"PeriodicalName":"Revista de la Facultad de Ciencias Medicas de Cordoba","FirstCategoryId":"1085","ListUrlMain":"https://doi.org/10.31053/1853.0605.v81.n2.42451","RegionNum":0,"RegionCategory":null,"ArticlePicture":[],"TitleCN":null,"AbstractTextCN":null,"PMCID":null,"EPubDate":"","PubModel":"","JCR":"Q3","JCRName":"Medicine","Score":null,"Total":0}
引用次数: 0

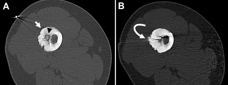
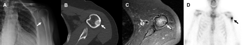
Abstract

Introduction: Osteoid osteoma is a benign bone tumor that accounts for roughly 2-3% of primary bone tumors and up to 10-12% of benigns bone neoplasms. It is most commonly seen in young adults, and shows male predominance. Over the last years, minimally invasive thermal ablation techniques such as radiofrequency ablation have gained popularity over classical surgery. In this study we evaluate results and complications of CT guided osteoid osteoma radiofrequency ablation.

Materials and methods: In this retrospective cohort study all patients that were diagnosed with osteoid osteoma and treated using radiofrequency ablation between January 2014 and December 2022 were included. Pain was assessed using Visual Analog Scale (VAS) pre and post procedure. Technical success was established as positioning of the radiofrequency electrode in the nidus. Primary clinical success was defined as absence of pain after one radiofrequency session. All patients that required a second radiofrequency ablation were included in the overall clinical success group.

Results: During the studied period, 61 osteoid osteoma radiofrequency ablations were performed. Fiftyseven of them were included in this study, 32 were men and 25 female. Pre procedure median pain was 9 according to VAS score. Only 23 patients were treated as outpatient, the rest stayed in hospital for 24 hours. Median follow up time was 21,7 months (SD 8,3). Biopsy was performed in 52 patients. Technical success was accomplished in 57 patients (100%). Primary clinical success was 80,7% (46 patients). Those who continued with pain or had recurrence after a symptoms free period (11 patients), were treated with a second radiofrequency ablation, achieving an overall success rate of 94,7%. Only one patient suffered a minor complication (1,7%).

Conclusion: CT guided osteoid osteoma radiofrequency ablation is a safe, effective and low complication rate procedure, that can be performed on an outpatient basis. We believe it should be considered as a first line treatment option for osteoid osteoma.

Abstract Image

Abstract Image

Abstract Image

[经皮射频消融骨样骨瘤:一家三级中心 9 年的经验成果]
导言:骨样骨瘤是一种良性骨肿瘤,约占原发性骨肿瘤的 2-3%,占良性骨肿瘤的 10-12%。骨样骨瘤多见于青壮年,男性居多。近年来,射频消融等微创热消融技术比传统手术更受欢迎。在这项研究中,我们评估了 CT 引导下类骨骨瘤射频消融术的效果和并发症:在这项回顾性队列研究中,纳入了2014年1月至2022年12月期间被诊断为类骨骨瘤并接受射频消融治疗的所有患者。采用视觉模拟量表(VAS)对术前和术后疼痛进行评估。射频电极定位在瘤巢内即为技术成功。一次射频治疗后无疼痛为临床初步成功。所有需要进行第二次射频消融的患者都被纳入临床成功组:结果:在研究期间,共进行了 61 例骨样骨瘤射频消融术。其中 57 例被纳入本研究,32 例为男性,25 例为女性。根据 VAS 评分,术前疼痛中位数为 9。只有 23 名患者在门诊接受了治疗,其余患者住院 24 小时。中位随访时间为 21.7 个月(标清 8.3)。对 52 名患者进行了活组织检查。57名患者(100%)技术成功。初步临床成功率为 80.7%(46 例患者)。在无症状期后仍有疼痛或症状复发的患者(11 例)接受了第二次射频消融治疗,总体成功率为 94.7%。只有一名患者出现了轻微并发症(1.7%):CT引导下的骨样骨瘤射频消融术是一种安全、有效、并发症发生率低的手术,可在门诊进行。我们认为,应将其作为骨样骨瘤的一线治疗方案。
本文章由计算机程序翻译,如有差异,请以英文原文为准。
求助全文
约1分钟内获得全文 求助全文
来源期刊
CiteScore
1.60
自引率
0.00%
发文量
60
审稿时长
20 weeks
期刊介绍: The Journal of the Faculty of Medical Sciences is a scientific publication of the Secretariat of Science and Technology of the Faculty of Medical Sciences of the National University of Cordoba. Its objective is to disseminate and promote research work related to Medical and Biological Sciences. It publishes scientific works of national and international professionals on different topics related to health sciences from the field of medicine, nursing, kinesiology, diagnostic imaging, phonoaudiology, nutrition, public health, chemical sciences, dentistry and related.
×
引用
GB/T 7714-2015
复制
MLA
复制
APA
复制
导出至
BibTeX EndNote RefMan NoteFirst NoteExpress
×
提示
您的信息不完整,为了账户安全,请先补充。
现在去补充
×
提示
您因"违规操作"
具体请查看互助需知
我知道了
×
提示
确定
请完成安全验证×
copy
已复制链接
快去分享给好友吧!
我知道了
右上角分享
点击右上角分享
0
联系我们:info@booksci.cn Book学术提供免费学术资源搜索服务,方便国内外学者检索中英文文献。致力于提供最便捷和优质的服务体验。 Copyright © 2023 布克学术 All rights reserved.
京ICP备2023020795号-1
ghs 京公网安备 11010802042870号
Book学术文献互助
Book学术文献互助群
群 号:604180095
Book学术官方微信