Pontine myelinolysis with an uncommon manifestation of hallucination: a case report.

Q3 Medicine
Dementia e Neuropsychologia Pub Date : 2024-06-24 eCollection Date: 2024-01-01 DOI:10.1590/1980-5764-DN-2023-0068
Andreia Braga Mota Azzoni, Vitor Maia Arca, Eduardo Sousa de Melo
{"title":"Pontine myelinolysis with an uncommon manifestation of hallucination: a case report.","authors":"Andreia Braga Mota Azzoni, Vitor Maia Arca, Eduardo Sousa de Melo","doi":"10.1590/1980-5764-DN-2023-0068","DOIUrl":null,"url":null,"abstract":"<p><p>This report aims to present an elderly woman with persistent delirium after hospitalization for lethargy secondary to hyponatremia. The diagnosis of pontine myelinolysis was made and there were no characteristic neurological manifestations such as pupillary changes or spastic tetraparesis. Hallucinations and personality changes were the clues to the diagnosis and should be considered an atypical manifestation of pontine myelinolysis.</p>","PeriodicalId":39167,"journal":{"name":"Dementia e Neuropsychologia","volume":"18 ","pages":"e20230068"},"PeriodicalIF":0.0000,"publicationDate":"2024-06-24","publicationTypes":"Journal Article","fieldsOfStudy":null,"isOpenAccess":false,"openAccessPdf":"https://www.ncbi.nlm.nih.gov/pmc/articles/PMC11206230/pdf/","citationCount":"0","resultStr":null,"platform":"Semanticscholar","paperid":null,"PeriodicalName":"Dementia e Neuropsychologia","FirstCategoryId":"1085","ListUrlMain":"https://doi.org/10.1590/1980-5764-DN-2023-0068","RegionNum":0,"RegionCategory":null,"ArticlePicture":[],"TitleCN":null,"AbstractTextCN":null,"PMCID":null,"EPubDate":"2024/1/1 0:00:00","PubModel":"eCollection","JCR":"Q3","JCRName":"Medicine","Score":null,"Total":0}
引用次数: 0

Abstract

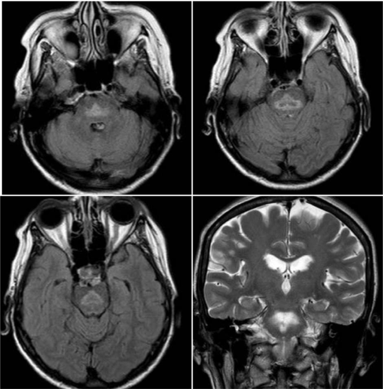
This report aims to present an elderly woman with persistent delirium after hospitalization for lethargy secondary to hyponatremia. The diagnosis of pontine myelinolysis was made and there were no characteristic neurological manifestations such as pupillary changes or spastic tetraparesis. Hallucinations and personality changes were the clues to the diagnosis and should be considered an atypical manifestation of pontine myelinolysis.

Abstract Image

伴有不常见幻觉表现的桥脑髓鞘溶解症:病例报告。
本报告旨在介绍一名老年妇女因低钠血症继发嗜睡住院后出现的持续谵妄。该患者被诊断为桥脑髓鞘溶解症,且没有瞳孔改变或痉挛性四肢瘫等特征性神经系统表现。幻觉和人格改变是诊断的线索,应被视为桥脑髓鞘溶解症的非典型表现。
本文章由计算机程序翻译,如有差异,请以英文原文为准。
求助全文
约1分钟内获得全文 求助全文
来源期刊
Dementia e Neuropsychologia
Dementia e Neuropsychologia Medicine-Geriatrics and Gerontology
CiteScore
2.20
自引率
0.00%
发文量
58
审稿时长
8 weeks
期刊介绍: Dementia top Neuropsychologia the official scientific journal of the Cognitive Neurology and Ageing Department of the Brazilian Academy of Neurology and of the Brazilian Association of Geriatric Neuropsychiatry, is published by the "Associação Neurologia Cognitiva e do Comportamento", a nonprofit Brazilian association. Regularly published on March, June, September, and December since 2007.
×
引用
GB/T 7714-2015
复制
MLA
复制
APA
复制
导出至
BibTeX EndNote RefMan NoteFirst NoteExpress
×
提示
您的信息不完整,为了账户安全,请先补充。
现在去补充
×
提示
您因"违规操作"
具体请查看互助需知
我知道了
×
提示
确定
请完成安全验证×
copy
已复制链接
快去分享给好友吧!
我知道了
右上角分享
点击右上角分享
0
联系我们:info@booksci.cn Book学术提供免费学术资源搜索服务,方便国内外学者检索中英文文献。致力于提供最便捷和优质的服务体验。 Copyright © 2023 布克学术 All rights reserved.
京ICP备2023020795号-1
ghs 京公网安备 11010802042870号
Book学术文献互助
Book学术文献互助群
群 号:604180095
Book学术官方微信