Remission of refractory esophageal lichen planus induced by tofacitinib.

IF 1.6 4区 医学 Q4 GASTROENTEROLOGY & HEPATOLOGY
Zeitschrift fur Gastroenterologie Pub Date : 2024-09-01 Epub Date: 2024-06-25 DOI:10.1055/a-2300-0375
Valentina Bieneck, Annegrit Decker, Annette Schmitt-Graeff, Wolfgang Kreisel, Franziska Schauer
{"title":"Remission of refractory esophageal lichen planus induced by tofacitinib.","authors":"Valentina Bieneck, Annegrit Decker, Annette Schmitt-Graeff, Wolfgang Kreisel, Franziska Schauer","doi":"10.1055/a-2300-0375","DOIUrl":null,"url":null,"abstract":"<p><p>As of now, there exists no established therapy for ELP. Retinoids, which are standard in treating cutaneous LP, do not exhibit positive effects in ELP. While topical glucocorticosteroids often yield favorable responses in esophageal inflammation, some cases prove recalcitrant or refractory. In such instances, various immunosuppressive therapies have been attempted with variable success.This report details a severe case of ELP that showed resistance to prednisolone, acitretin, alitretinoin, adalimumab, tacrolimus, hydroxychloroquine plus mycophenolate mofetil, and cyclophosphamide. The initiation of the JAK inhibitor tofacitinib induced an impressive clinical, endoscopic, and histological remission. This positive response to a JAK inhibitor is discussed in the context of our evolving understanding of the immune-mediated pathogenesis of this disease.</p>","PeriodicalId":23853,"journal":{"name":"Zeitschrift fur Gastroenterologie","volume":" ","pages":"1384-1388"},"PeriodicalIF":1.6000,"publicationDate":"2024-09-01","publicationTypes":"Journal Article","fieldsOfStudy":null,"isOpenAccess":false,"openAccessPdf":"https://www.ncbi.nlm.nih.gov/pmc/articles/PMC11383619/pdf/","citationCount":"0","resultStr":null,"platform":"Semanticscholar","paperid":null,"PeriodicalName":"Zeitschrift fur Gastroenterologie","FirstCategoryId":"3","ListUrlMain":"https://doi.org/10.1055/a-2300-0375","RegionNum":4,"RegionCategory":"医学","ArticlePicture":[],"TitleCN":null,"AbstractTextCN":null,"PMCID":null,"EPubDate":"2024/6/25 0:00:00","PubModel":"Epub","JCR":"Q4","JCRName":"GASTROENTEROLOGY & HEPATOLOGY","Score":null,"Total":0}
引用次数: 0

Abstract

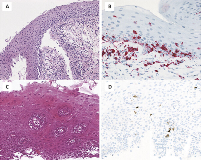
As of now, there exists no established therapy for ELP. Retinoids, which are standard in treating cutaneous LP, do not exhibit positive effects in ELP. While topical glucocorticosteroids often yield favorable responses in esophageal inflammation, some cases prove recalcitrant or refractory. In such instances, various immunosuppressive therapies have been attempted with variable success.This report details a severe case of ELP that showed resistance to prednisolone, acitretin, alitretinoin, adalimumab, tacrolimus, hydroxychloroquine plus mycophenolate mofetil, and cyclophosphamide. The initiation of the JAK inhibitor tofacitinib induced an impressive clinical, endoscopic, and histological remission. This positive response to a JAK inhibitor is discussed in the context of our evolving understanding of the immune-mediated pathogenesis of this disease.

Abstract Image

Abstract Image

托法替尼诱导难治性食管扁平苔藓缓解
到目前为止,还没有针对 ELP 的成熟疗法。维甲酸是治疗皮肤性食管炎的标准药物,但对食管炎没有积极作用。虽然外用糖皮质激素通常会对食道炎症产生良好的反应,但有些病例证明是顽固或难治的。本报告详细介绍了一例严重的 ELP 病例,该病例对泼尼松龙、阿曲汀、阿维A酸、阿达木单抗、他克莫司、羟氯喹加霉酚酸酯和环磷酰胺均表现出抗药性。开始使用JAK抑制剂托法替尼后,患者的临床、内镜和组织学症状都得到了明显缓解。本文结合我们对该病免疫介导发病机制的不断深入了解,讨论了这种对JAK抑制剂的积极反应。
本文章由计算机程序翻译,如有差异,请以英文原文为准。
求助全文
约1分钟内获得全文 求助全文
来源期刊
Zeitschrift fur Gastroenterologie
Zeitschrift fur Gastroenterologie 医学-胃肠肝病学
CiteScore
1.40
自引率
15.40%
发文量
562
审稿时长
6-12 weeks
期刊介绍: Die Zeitschrift für Gastroenterologie ist seit über 50 Jahren die führende deutsche Fachzeitschrift auf dem Gebiet der Gastroenterologie. Sie richtet sich an Gastroenterologen und alle anderen gastroenterologisch interessierten Ärzte. Als offizielles Organ der Deutschen Gesellschaft für Gastroenterologie, Verdauungs- und Stoffwechselkrankheiten sowie der Österreichischen Gesellschaft für Gastroenterologie und Hepatologie informiert sie zuverlässig und aktuell über die wichtigen Neuerungen und Entwicklungen in der Gastroenterologie.
×
引用
GB/T 7714-2015
复制
MLA
复制
APA
复制
导出至
BibTeX EndNote RefMan NoteFirst NoteExpress
×
提示
您的信息不完整,为了账户安全,请先补充。
现在去补充
×
提示
您因"违规操作"
具体请查看互助需知
我知道了
×
提示
确定
请完成安全验证×
copy
已复制链接
快去分享给好友吧!
我知道了
右上角分享
点击右上角分享
0
联系我们:info@booksci.cn Book学术提供免费学术资源搜索服务,方便国内外学者检索中英文文献。致力于提供最便捷和优质的服务体验。 Copyright © 2023 布克学术 All rights reserved.
京ICP备2023020795号-1
ghs 京公网安备 11010802042870号
Book学术文献互助
Book学术文献互助群
群 号:604180095
Book学术官方微信