Clinical profile of FTL3-ITD mutation in West Algerian population with acute myeloid leukemia.

IF 1 Q4 BIOCHEMISTRY & MOLECULAR BIOLOGY
Fatima Zohra Moghtit, Wefa Boughrara, Samia Dorgham, Ilies Koriche, Imene Ouahba, Amina Ammour, Amine Bekadja, Meriem Samia Aberkane
{"title":"Clinical profile of <i>FTL3</i>-ITD mutation in West Algerian population with acute myeloid leukemia.","authors":"Fatima Zohra Moghtit, Wefa Boughrara, Samia Dorgham, Ilies Koriche, Imene Ouahba, Amina Ammour, Amine Bekadja, Meriem Samia Aberkane","doi":"10.22099/mbrc.2024.49437.1955","DOIUrl":null,"url":null,"abstract":"<p><p>Acute myeloid leukemia (AML) is a cancer of the myeloid line of blood cells, characterized by the abnormal and rapid growth of cells. The mutation of the Fms-like tyrosine kinase 3 ligand gene (<i>FLT3</i>-ITD) represents an important factor in the prognosis of AML. The objective of this study was to determine for the first time the prevalence of <i>FLT3</i>-ITD mutation in west Algerian AML patients. A total of 160 AML patients were genotyped for <i>FLT3</i>-ITD mutation by using polymerase chain reaction. <i>FLT3</i>-ITD mutation was detected in 13% of patients. Mutation rates show no significant difference in the distribution of sex and age. A positive association was found between this mutation and a higher leukocyte and blast cells counts. We also found that the M3 and M5 subtype were the commonest in the <i>FLT3</i> mutated group. This preliminary study provides first-time prevalence estimates for <i>FLT3</i>-ITD mutation in acute myeloid leukemia patients from the West region of Algeria.</p>","PeriodicalId":19025,"journal":{"name":"Molecular Biology Research Communications","volume":"13 3","pages":"175-182"},"PeriodicalIF":1.0000,"publicationDate":"2024-01-01","publicationTypes":"Journal Article","fieldsOfStudy":null,"isOpenAccess":false,"openAccessPdf":"https://www.ncbi.nlm.nih.gov/pmc/articles/PMC11194026/pdf/","citationCount":"0","resultStr":null,"platform":"Semanticscholar","paperid":null,"PeriodicalName":"Molecular Biology Research Communications","FirstCategoryId":"1085","ListUrlMain":"https://doi.org/10.22099/mbrc.2024.49437.1955","RegionNum":0,"RegionCategory":null,"ArticlePicture":[],"TitleCN":null,"AbstractTextCN":null,"PMCID":null,"EPubDate":"","PubModel":"","JCR":"Q4","JCRName":"BIOCHEMISTRY & MOLECULAR BIOLOGY","Score":null,"Total":0}
引用次数: 0

Abstract

Acute myeloid leukemia (AML) is a cancer of the myeloid line of blood cells, characterized by the abnormal and rapid growth of cells. The mutation of the Fms-like tyrosine kinase 3 ligand gene (FLT3-ITD) represents an important factor in the prognosis of AML. The objective of this study was to determine for the first time the prevalence of FLT3-ITD mutation in west Algerian AML patients. A total of 160 AML patients were genotyped for FLT3-ITD mutation by using polymerase chain reaction. FLT3-ITD mutation was detected in 13% of patients. Mutation rates show no significant difference in the distribution of sex and age. A positive association was found between this mutation and a higher leukocyte and blast cells counts. We also found that the M3 and M5 subtype were the commonest in the FLT3 mutated group. This preliminary study provides first-time prevalence estimates for FLT3-ITD mutation in acute myeloid leukemia patients from the West region of Algeria.

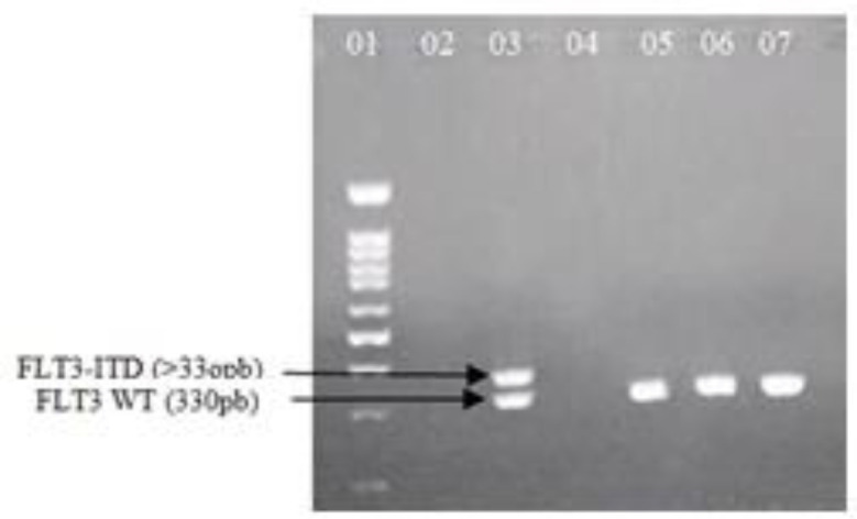
Abstract Image

西阿尔及利亚急性髓性白血病患者FTL3-ITD突变的临床概况。
急性髓性白血病(AML)是一种髓系血细胞癌症,其特点是细胞异常快速生长。Fms 样酪氨酸激酶 3 配体基因(FLT3-ITD)的突变是影响急性髓性白血病预后的一个重要因素。本研究旨在首次确定FLT3-ITD基因突变在阿尔及利亚西部急性髓细胞性白血病患者中的流行率。研究人员利用聚合酶链反应对 160 名急性髓细胞性白血病患者进行了 FLT3-ITD 基因突变的基因分型。13%的患者检测到FLT3-ITD突变。突变率在性别和年龄分布上无明显差异。这种突变与较高的白细胞和囊细胞计数之间存在正相关。我们还发现,M3 和 M5 亚型在 FLT3 突变组中最为常见。这项初步研究首次估计了阿尔及利亚西部地区急性髓性白血病患者中FLT3-ITD突变的流行率。
本文章由计算机程序翻译,如有差异,请以英文原文为准。
求助全文
约1分钟内获得全文 求助全文
来源期刊
Molecular Biology Research Communications
Molecular Biology Research Communications BIOCHEMISTRY & MOLECULAR BIOLOGY-
CiteScore
3.00
自引率
0.00%
发文量
12
期刊介绍: “Molecular Biology Research Communications” (MBRC) is an international journal of Molecular Biology. It is published quarterly by Shiraz University (Iran). The MBRC is a fully peer-reviewed journal. The journal welcomes submission of Original articles, Short communications, Invited review articles, and Letters to the Editor which meets the general criteria of significance and scientific excellence in all fields of “Molecular Biology”.
×
引用
GB/T 7714-2015
复制
MLA
复制
APA
复制
导出至
BibTeX EndNote RefMan NoteFirst NoteExpress
×
提示
您的信息不完整,为了账户安全,请先补充。
现在去补充
×
提示
您因"违规操作"
具体请查看互助需知
我知道了
×
提示
确定
请完成安全验证×
copy
已复制链接
快去分享给好友吧!
我知道了
右上角分享
点击右上角分享
0
联系我们:info@booksci.cn Book学术提供免费学术资源搜索服务,方便国内外学者检索中英文文献。致力于提供最便捷和优质的服务体验。 Copyright © 2023 布克学术 All rights reserved.
京ICP备2023020795号-1
ghs 京公网安备 11010802042870号
Book学术文献互助
Book学术文献互助群
群 号:604180095
Book学术官方微信