Unusual Air Crescents on Chest Radiographs.

IF 1.3 4区 医学 Q4 RADIOLOGY, NUCLEAR MEDICINE & MEDICAL IMAGING
Journal of the Belgian Society of Radiology Pub Date : 2024-06-20 eCollection Date: 2024-01-01 DOI:10.5334/jbsr.3583
Amanda Marlène Missi, Denis Tack, Nigel Howarth, Hanna Salame
{"title":"Unusual Air Crescents on Chest Radiographs.","authors":"Amanda Marlène Missi, Denis Tack, Nigel Howarth, Hanna Salame","doi":"10.5334/jbsr.3583","DOIUrl":null,"url":null,"abstract":"<p><p>The air crescent (AC) is a common radiological sign. Even if its commonest aetiology remains pulmonary aspergillosis, various other causes have been described. In this study, we report four rare causes of ACs seen on chest radiographs that haven't been described in the literature. <i>Teaching point:</i> The differential diagnosis of an air crescent sign on chest radiographs includes oesophageal bezoar, interstitial lung emphysema, central bronchial stenosis and perforated emphysematous cholecystitis.</p>","PeriodicalId":55987,"journal":{"name":"Journal of the Belgian Society of Radiology","volume":"108 1","pages":"63"},"PeriodicalIF":1.3000,"publicationDate":"2024-06-20","publicationTypes":"Journal Article","fieldsOfStudy":null,"isOpenAccess":false,"openAccessPdf":"https://www.ncbi.nlm.nih.gov/pmc/articles/PMC11192090/pdf/","citationCount":"0","resultStr":null,"platform":"Semanticscholar","paperid":null,"PeriodicalName":"Journal of the Belgian Society of Radiology","FirstCategoryId":"3","ListUrlMain":"https://doi.org/10.5334/jbsr.3583","RegionNum":4,"RegionCategory":"医学","ArticlePicture":[],"TitleCN":null,"AbstractTextCN":null,"PMCID":null,"EPubDate":"2024/1/1 0:00:00","PubModel":"eCollection","JCR":"Q4","JCRName":"RADIOLOGY, NUCLEAR MEDICINE & MEDICAL IMAGING","Score":null,"Total":0}
引用次数: 0

Abstract

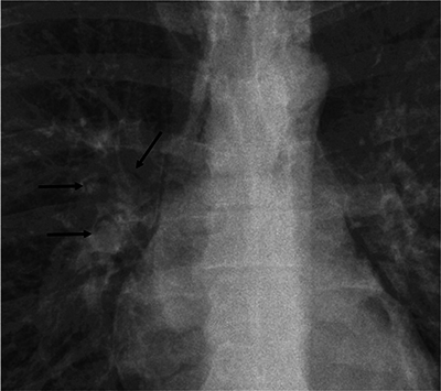
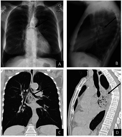
The air crescent (AC) is a common radiological sign. Even if its commonest aetiology remains pulmonary aspergillosis, various other causes have been described. In this study, we report four rare causes of ACs seen on chest radiographs that haven't been described in the literature. Teaching point: The differential diagnosis of an air crescent sign on chest radiographs includes oesophageal bezoar, interstitial lung emphysema, central bronchial stenosis and perforated emphysematous cholecystitis.

Abstract Image

Abstract Image

Abstract Image

胸片上的异常气新月
空气新月(AC)是一种常见的放射学征象。尽管其最常见的病因仍然是肺曲霉菌病,但也有其他各种病因的描述。在本研究中,我们报告了四种罕见的导致胸片上出现空气新月征的病因,这些病因在文献中还没有出现过。教学要点:胸片上出现气新月征的鉴别诊断包括食道大泡、肺间质气肿、中央支气管狭窄和穿孔性气肿性胆囊炎。
本文章由计算机程序翻译,如有差异,请以英文原文为准。
求助全文
约1分钟内获得全文 求助全文
来源期刊
Journal of the Belgian Society of Radiology
Journal of the Belgian Society of Radiology Medicine-Radiology, Nuclear Medicine and Imaging
CiteScore
0.70
自引率
5.00%
发文量
96
期刊介绍: The purpose of the Journal of the Belgian Society of Radiology is the publication of articles dealing with diagnostic and interventional radiology, related imaging techniques, allied sciences, and continuing education.
×
引用
GB/T 7714-2015
复制
MLA
复制
APA
复制
导出至
BibTeX EndNote RefMan NoteFirst NoteExpress
×
提示
您的信息不完整,为了账户安全,请先补充。
现在去补充
×
提示
您因"违规操作"
具体请查看互助需知
我知道了
×
提示
确定
请完成安全验证×
copy
已复制链接
快去分享给好友吧!
我知道了
右上角分享
点击右上角分享
0
联系我们:info@booksci.cn Book学术提供免费学术资源搜索服务,方便国内外学者检索中英文文献。致力于提供最便捷和优质的服务体验。 Copyright © 2023 布克学术 All rights reserved.
京ICP备2023020795号-1
ghs 京公网安备 11010802042870号
Book学术文献互助
Book学术文献互助群
群 号:604180095
Book学术官方微信