Laparoscopic Posterior Pelvic Exenteration with Radical Vulvectomy for Intestinal-type Vulvar Adenocarcinoma.

IF 1.7 Q3 OBSTETRICS & GYNECOLOGY
Gynecology and Minimally Invasive Therapy-GMIT Pub Date : 2024-05-13 eCollection Date: 2024-04-01 DOI:10.4103/gmit.gmit_103_23
Takashi Natsume, Mayumi Kobayashi-Kato, Yasuhito Tanase, Masaya Uno, Hiroshi Yoshida, Konosuke Moritani, Yukihide Kanemitsu, Mitsuya Ishikawa
{"title":"Laparoscopic Posterior Pelvic Exenteration with Radical Vulvectomy for Intestinal-type Vulvar Adenocarcinoma.","authors":"Takashi Natsume, Mayumi Kobayashi-Kato, Yasuhito Tanase, Masaya Uno, Hiroshi Yoshida, Konosuke Moritani, Yukihide Kanemitsu, Mitsuya Ishikawa","doi":"10.4103/gmit.gmit_103_23","DOIUrl":null,"url":null,"abstract":"<p><p>Vulvar intestinal adenocarcinoma is a rare malignancy. The most significant predictor of advanced vulvar cancer is achieving complete resection, although determining the optimal treatment for this rare histologic type remains uncertain. We report the case of a 63-year-old woman with a primary vulvar tumor suspected of having rectal invasion and inguinal lymph node metastases based on preoperative magnetic resonance imaging and computed tomography scans. To achieve complete resection of stage IIIC intestinal-type vulvar adenocarcinoma, we performed a laparoscopic posterior pelvic exenteration (PPE) and radical vulvectomy, along with bilateral inguinal lymph node dissection. This case report highlights the use of a novel hybrid procedure that combines laparoscopic PPE with radical vulvectomy and bilateral inguinal lymph node dissection for vulvar adenocarcinoma of the intestinal type. Laparoscopic PPE can be considered a minimally invasive approach for vulvar tumor when complete resection is achievable with an appropriate safety margin.</p>","PeriodicalId":45272,"journal":{"name":"Gynecology and Minimally Invasive Therapy-GMIT","volume":"13 2","pages":"126-129"},"PeriodicalIF":1.7000,"publicationDate":"2024-05-13","publicationTypes":"Journal Article","fieldsOfStudy":null,"isOpenAccess":false,"openAccessPdf":"https://www.ncbi.nlm.nih.gov/pmc/articles/PMC11192278/pdf/","citationCount":"0","resultStr":null,"platform":"Semanticscholar","paperid":null,"PeriodicalName":"Gynecology and Minimally Invasive Therapy-GMIT","FirstCategoryId":"1085","ListUrlMain":"https://doi.org/10.4103/gmit.gmit_103_23","RegionNum":0,"RegionCategory":null,"ArticlePicture":[],"TitleCN":null,"AbstractTextCN":null,"PMCID":null,"EPubDate":"2024/4/1 0:00:00","PubModel":"eCollection","JCR":"Q3","JCRName":"OBSTETRICS & GYNECOLOGY","Score":null,"Total":0}
引用次数: 0

Abstract

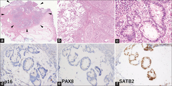
Vulvar intestinal adenocarcinoma is a rare malignancy. The most significant predictor of advanced vulvar cancer is achieving complete resection, although determining the optimal treatment for this rare histologic type remains uncertain. We report the case of a 63-year-old woman with a primary vulvar tumor suspected of having rectal invasion and inguinal lymph node metastases based on preoperative magnetic resonance imaging and computed tomography scans. To achieve complete resection of stage IIIC intestinal-type vulvar adenocarcinoma, we performed a laparoscopic posterior pelvic exenteration (PPE) and radical vulvectomy, along with bilateral inguinal lymph node dissection. This case report highlights the use of a novel hybrid procedure that combines laparoscopic PPE with radical vulvectomy and bilateral inguinal lymph node dissection for vulvar adenocarcinoma of the intestinal type. Laparoscopic PPE can be considered a minimally invasive approach for vulvar tumor when complete resection is achievable with an appropriate safety margin.

Abstract Image

Abstract Image

腹腔镜盆腔后外展联合外阴根治术治疗肠型外阴腺癌
外阴肠腺癌是一种罕见的恶性肿瘤。晚期外阴癌最重要的预测指标是实现完全切除,但确定这种罕见组织学类型的最佳治疗方法仍不确定。我们报告了一名 63 岁女性的病例,根据术前磁共振成像和计算机断层扫描结果,她的原发性外阴肿瘤被怀疑有直肠侵犯和腹股沟淋巴结转移。为了彻底切除 IIIC 期肠型外阴腺癌,我们在腹腔镜下进行了盆腔后外翻(PPE)和根治性外阴切除术,同时进行了双侧腹股沟淋巴结清扫。本病例报告重点介绍了一种新型混合手术的应用,该手术结合了腹腔镜PPE、根治性外阴切除术和双侧腹股沟淋巴结清扫术,用于治疗肠型外阴腺癌。如果能在适当的安全范围内实现完全切除,腹腔镜PPE可被视为治疗外阴肿瘤的微创方法。
本文章由计算机程序翻译,如有差异,请以英文原文为准。
求助全文
约1分钟内获得全文 求助全文
来源期刊
CiteScore
2.00
自引率
16.70%
发文量
98
审稿时长
52 weeks
×
引用
GB/T 7714-2015
复制
MLA
复制
APA
复制
导出至
BibTeX EndNote RefMan NoteFirst NoteExpress
×
提示
您的信息不完整,为了账户安全,请先补充。
现在去补充
×
提示
您因"违规操作"
具体请查看互助需知
我知道了
×
提示
确定
请完成安全验证×
copy
已复制链接
快去分享给好友吧!
我知道了
右上角分享
点击右上角分享
0
联系我们:info@booksci.cn Book学术提供免费学术资源搜索服务,方便国内外学者检索中英文文献。致力于提供最便捷和优质的服务体验。 Copyright © 2023 布克学术 All rights reserved.
京ICP备2023020795号-1
ghs 京公网安备 11010802042870号
Book学术文献互助
Book学术文献互助群
群 号:604180095
Book学术官方微信