A rare case report of bilateral Purtscher-like retinopathy in juvenile dermatomyositis.

GMS ophthalmology cases Pub Date : 2024-05-07 eCollection Date: 2024-01-01 DOI:10.3205/oc000237
Nidhi Paharia, Shruti Agrawal, Nikhil Agrawal, Jayesh Shah
{"title":"A rare case report of bilateral Purtscher-like retinopathy in juvenile dermatomyositis.","authors":"Nidhi Paharia, Shruti Agrawal, Nikhil Agrawal, Jayesh Shah","doi":"10.3205/oc000237","DOIUrl":null,"url":null,"abstract":"<p><strong>Purpose: </strong>To report a rare case of bilateral Purtscher-like retinopathy (PLR) in a young adult diagnosed with dermatomyositis.</p><p><strong>Method: </strong>A case report with multi-modal imaging.</p><p><strong>Result: </strong>A 17-year-old male presented with subacute marked diminution of vision along with arthralgia, weakness of all four limbs and development of multiple rashes around body. Fundus examination revealed bilateral multiple Purtscher flecken, pseudo-cherry red spot, and intra-retinal haemorrhages with cotton wool spots. Systemic and laboratory examinations, magnetic resonance imaging (MRI) and biopsy of tissue confirmed the diagnosis of juvenile dermatomyositis with PLR.</p><p><strong>Conclusion: </strong>Dermatomyositis, being a rare cause of PLR, should essentially be considered as one of the differentials as timely intervention can alter the course of disease and prove life-saving for the patient.</p>","PeriodicalId":73178,"journal":{"name":"GMS ophthalmology cases","volume":"14 ","pages":"Doc05"},"PeriodicalIF":0.0000,"publicationDate":"2024-05-07","publicationTypes":"Journal Article","fieldsOfStudy":null,"isOpenAccess":false,"openAccessPdf":"https://www.ncbi.nlm.nih.gov/pmc/articles/PMC11176935/pdf/","citationCount":"0","resultStr":null,"platform":"Semanticscholar","paperid":null,"PeriodicalName":"GMS ophthalmology cases","FirstCategoryId":"1085","ListUrlMain":"https://doi.org/10.3205/oc000237","RegionNum":0,"RegionCategory":null,"ArticlePicture":[],"TitleCN":null,"AbstractTextCN":null,"PMCID":null,"EPubDate":"2024/1/1 0:00:00","PubModel":"eCollection","JCR":"","JCRName":"","Score":null,"Total":0}
引用次数: 0

Abstract

Purpose: To report a rare case of bilateral Purtscher-like retinopathy (PLR) in a young adult diagnosed with dermatomyositis.

Method: A case report with multi-modal imaging.

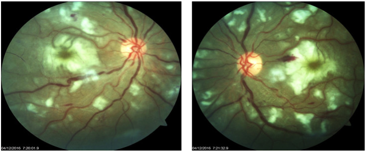
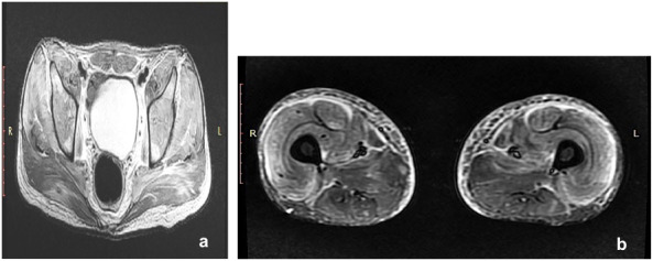
Result: A 17-year-old male presented with subacute marked diminution of vision along with arthralgia, weakness of all four limbs and development of multiple rashes around body. Fundus examination revealed bilateral multiple Purtscher flecken, pseudo-cherry red spot, and intra-retinal haemorrhages with cotton wool spots. Systemic and laboratory examinations, magnetic resonance imaging (MRI) and biopsy of tissue confirmed the diagnosis of juvenile dermatomyositis with PLR.

Conclusion: Dermatomyositis, being a rare cause of PLR, should essentially be considered as one of the differentials as timely intervention can alter the course of disease and prove life-saving for the patient.

Abstract Image

Abstract Image

Abstract Image

一例罕见的幼年皮肌炎双侧珀切尔样视网膜病变报告。
目的:报告一例罕见的双侧皮肌炎样视网膜病变(PLR)病例:方法:通过多模态成像进行病例报告:结果:一名17岁的男性患者出现亚急性视力明显减退、关节痛、四肢无力和全身多处皮疹。眼底检查发现双侧多发性普氏斑、假性樱桃红斑、视网膜内出血并伴有棉絮斑。全身检查、实验室检查、磁共振成像(MRI)和组织活检证实了幼年皮肌炎伴PLR的诊断:结论:皮肌炎是 PLR 的罕见病因,应将其作为鉴别诊断之一,因为及时干预可改变病程并挽救患者的生命。
本文章由计算机程序翻译,如有差异,请以英文原文为准。
求助全文
约1分钟内获得全文 求助全文
来源期刊
自引率
0.00%
发文量
0
审稿时长
6 weeks
×
引用
GB/T 7714-2015
复制
MLA
复制
APA
复制
导出至
BibTeX EndNote RefMan NoteFirst NoteExpress
×
提示
您的信息不完整,为了账户安全,请先补充。
现在去补充
×
提示
您因"违规操作"
具体请查看互助需知
我知道了
×
提示
确定
请完成安全验证×
copy
已复制链接
快去分享给好友吧!
我知道了
右上角分享
点击右上角分享
0
联系我们:info@booksci.cn Book学术提供免费学术资源搜索服务,方便国内外学者检索中英文文献。致力于提供最便捷和优质的服务体验。 Copyright © 2023 布克学术 All rights reserved.
京ICP备2023020795号-1
ghs 京公网安备 11010802042870号
Book学术文献互助
Book学术文献互助群
群 号:604180095
Book学术官方微信