Morphological aspects of small intestinal mucosal injury and repair after electron irradiation.

IF 1.2 Q3 ANATOMY & MORPHOLOGY
Anatomy & Cell Biology Pub Date : 2024-09-30 Epub Date: 2024-06-17 DOI:10.5115/acb.24.050
Grigory Demyashkin, Elza Karakaeva, Siuzanna Saakian, Vladimir Shchekin, Emir Elbuzdukaev, Umar Bamatgiraev, Daniia Ashgalieva, Makka Evsultanova, Daniil Kovalev, Darya Kabanova, Oleg Shatunov, Dmitrii Atiakshin
{"title":"Morphological aspects of small intestinal mucosal injury and repair after electron irradiation.","authors":"Grigory Demyashkin, Elza Karakaeva, Siuzanna Saakian, Vladimir Shchekin, Emir Elbuzdukaev, Umar Bamatgiraev, Daniia Ashgalieva, Makka Evsultanova, Daniil Kovalev, Darya Kabanova, Oleg Shatunov, Dmitrii Atiakshin","doi":"10.5115/acb.24.050","DOIUrl":null,"url":null,"abstract":"<p><p>Morphological evaluation of the small intestine mucosa and apoptosis activity (caspase-3) is necessary to assess the severity of damage to the small intestine. At the same time, proliferative index based on Ki-67 can be used to assess the regenerative potential of the small intestine. Fragments of small intestine of Wistar rats (n=60) of three groups: I) control (n=20); II) experimental group (n=20; local single electron irradiation at a dose of 2 Gy), III) experimental group (n=20; local single electron irradiation at a dose of 8 Gy) were studied by light microscopy using hematoxylin and eosin staining and immunohistochemical reactions with antibodies to Ki-67 and caspase-3. In all samples of the experimental groups, a decrease in all morphometric indices was observed on day 1 with a tendency to recover on day 3. Small intestinal electron irradiation led to disturbances in the histoarchitecture of varying severity, and an increase in cell apoptosis was observed (increased expression of caspase-3 and decrease in Ki-67). In addition, modulation of the PI3K/AKT and MAPK/ERK signaling pathways was detected. The most pronounced destructive changes were observed in the group of 8 Gy single electron irradiation. Local irradiation of the small intestine with electrons at a dose of 2 and 8 Gy results in a decrease in the number of enterocytes, mainly stem cells of the intestinal crypts.</p>","PeriodicalId":7831,"journal":{"name":"Anatomy & Cell Biology","volume":" ","pages":"384-391"},"PeriodicalIF":1.2000,"publicationDate":"2024-09-30","publicationTypes":"Journal Article","fieldsOfStudy":null,"isOpenAccess":false,"openAccessPdf":"https://www.ncbi.nlm.nih.gov/pmc/articles/PMC11424566/pdf/","citationCount":"0","resultStr":null,"platform":"Semanticscholar","paperid":null,"PeriodicalName":"Anatomy & Cell Biology","FirstCategoryId":"1085","ListUrlMain":"https://doi.org/10.5115/acb.24.050","RegionNum":0,"RegionCategory":null,"ArticlePicture":[],"TitleCN":null,"AbstractTextCN":null,"PMCID":null,"EPubDate":"2024/6/17 0:00:00","PubModel":"Epub","JCR":"Q3","JCRName":"ANATOMY & MORPHOLOGY","Score":null,"Total":0}
引用次数: 0

Abstract

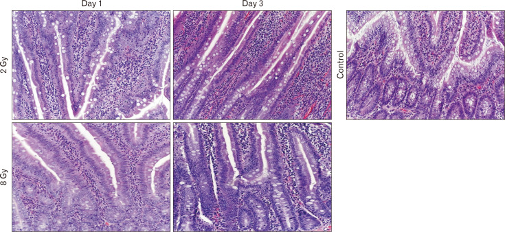
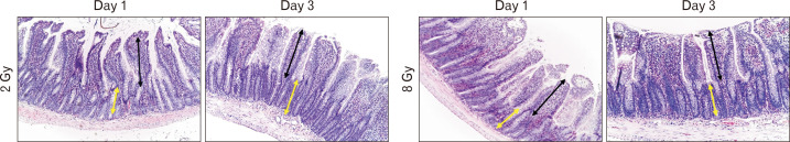
Morphological evaluation of the small intestine mucosa and apoptosis activity (caspase-3) is necessary to assess the severity of damage to the small intestine. At the same time, proliferative index based on Ki-67 can be used to assess the regenerative potential of the small intestine. Fragments of small intestine of Wistar rats (n=60) of three groups: I) control (n=20); II) experimental group (n=20; local single electron irradiation at a dose of 2 Gy), III) experimental group (n=20; local single electron irradiation at a dose of 8 Gy) were studied by light microscopy using hematoxylin and eosin staining and immunohistochemical reactions with antibodies to Ki-67 and caspase-3. In all samples of the experimental groups, a decrease in all morphometric indices was observed on day 1 with a tendency to recover on day 3. Small intestinal electron irradiation led to disturbances in the histoarchitecture of varying severity, and an increase in cell apoptosis was observed (increased expression of caspase-3 and decrease in Ki-67). In addition, modulation of the PI3K/AKT and MAPK/ERK signaling pathways was detected. The most pronounced destructive changes were observed in the group of 8 Gy single electron irradiation. Local irradiation of the small intestine with electrons at a dose of 2 and 8 Gy results in a decrease in the number of enterocytes, mainly stem cells of the intestinal crypts.

Abstract Image

Abstract Image

Abstract Image

电子辐照后小肠粘膜损伤和修复的形态学方面。
小肠粘膜的形态学评估和细胞凋亡活性(caspase-3)是评估小肠损伤严重程度的必要条件。同时,基于 Ki-67 的增殖指数可用于评估小肠的再生潜力。三组 Wistar 大鼠(n=60)的小肠片段:I)对照组(n=20);II)实验组(n=20;局部单次电子辐照,剂量为 2 Gy);III)实验组(n=20;局部单次电子辐照,剂量为 8 Gy)采用苏木精和伊红染色以及 Ki-67 和 Caspase-3 抗体免疫组化反应进行光镜研究。在实验组的所有样本中,所有形态指数在第 1 天均出现下降,并在第 3 天呈恢复趋势。小肠电子辐照导致不同程度的组织结构紊乱,并观察到细胞凋亡增加(caspase-3 表达增加,Ki-67 降低)。此外,还检测到 PI3K/AKT 和 MAPK/ERK 信号通路的调节。8 Gy 单次电子辐照组的破坏性变化最为明显。用 2 Gy 和 8 Gy 剂量的电子对小肠进行局部辐照会导致肠细胞(主要是肠隐窝干细胞)数量减少。
本文章由计算机程序翻译,如有差异,请以英文原文为准。
求助全文
约1分钟内获得全文 求助全文
来源期刊
Anatomy & Cell Biology
Anatomy & Cell Biology ANATOMY & MORPHOLOGY-
CiteScore
1.80
自引率
9.10%
发文量
75
×
引用
GB/T 7714-2015
复制
MLA
复制
APA
复制
导出至
BibTeX EndNote RefMan NoteFirst NoteExpress
×
提示
您的信息不完整,为了账户安全,请先补充。
现在去补充
×
提示
您因"违规操作"
具体请查看互助需知
我知道了
×
提示
确定
请完成安全验证×
copy
已复制链接
快去分享给好友吧!
我知道了
右上角分享
点击右上角分享
0
联系我们:info@booksci.cn Book学术提供免费学术资源搜索服务,方便国内外学者检索中英文文献。致力于提供最便捷和优质的服务体验。 Copyright © 2023 布克学术 All rights reserved.
京ICP备2023020795号-1
ghs 京公网安备 11010802042870号
Book学术文献互助
Book学术文献互助群
群 号:604180095
Book学术官方微信