Retrospective evaluation of the effects of pulmonary artery and aortic diameters on hospitalization duration and survival in patients hospitalized with COVID-19.

Derya Doğan, Cantürk Taşçi, Deniz Doğan, Nesrin Öcal, Yakup Arslan, Uğur Bozlar
{"title":"Retrospective evaluation of the effects of pulmonary artery and aortic diameters on hospitalization duration and survival in patients hospitalized with COVID-19.","authors":"Derya Doğan, Cantürk Taşçi, Deniz Doğan, Nesrin Öcal, Yakup Arslan, Uğur Bozlar","doi":"10.5578/tt.202402930","DOIUrl":null,"url":null,"abstract":"<p><strong>Introduction: </strong>This study explores the impact of vascular diameters on mortality risk in Coronavirus disease-2019 (COVID-19) patients. COVID-19, caused by severe acute respiratory syndrome Coronavirus 2 (SARS-CoV-2), presents diverse clinical manifestations and is associated with thrombosis.</p><p><strong>Materials and methods: </strong>In this study, we retrospectively examined the data of patients who were hospitalized and treated in our hospital between September 1, 2020, and November 30, 2020, and whose COVID-19 diagnosis was confirmed by reverse transcriptase polymerase chain reaction (RT-PCR). The diameters of the ascending aorta, main pulmonary artery, and right and left pulmonary arteries were measured from the chest computed tomography (CT) scans taken at the time of admission. The aim of the study was to investigate the impact of vascular diameters on the course of the disease.</p><p><strong>Result: </strong>Of 1.705 patients, 840 were eligible for the study. We concluded that 36 of the patients (4.3%) died, and among the non-survivors patients, 12 (33.3%) were females, and 24 (66.7%) were males. Hospitalization duration was 7.1 ± 3.1 vs. 6.1 ± 2 days (p= 0.004) in surviving and non-surviving patients respectively. On the other hand, we found the mean diameters of the right pulmonary artery in the chest CT of patients to be 2.17 ± 0.35 vs. 2.44 ± 0.29 cm in survivors and non-survivors, respectively (p< 0.001). In addition, we found the mean diameters of the left pulmonary artery 2.12 ± 0.32 vs. 2.34 ± 0.28 cm in survivors and non-survivors, respectively (p< 0.001). Mean diameters of the ascending aorta were 3.53 ± 0.46 vs. 3.72 ± 0.34 cm in survivors and non-survivors, respectively (p= 0.017).</p><p><strong>Conclusions: </strong>The study underscores the potential prognostic value of vascular diameters, especially in the ascending aorta and main pulmonary artery, as indicators of mortality risk in COVID-19 patients. The association between vascular dilation and severity of COVID-19, coupled with elevated D-dimer levels, suggests a link between thrombosis and vascular involvement.</p>","PeriodicalId":519894,"journal":{"name":"Tuberkuloz ve toraks","volume":"72 2","pages":"137-144"},"PeriodicalIF":0.0000,"publicationDate":"2024-06-01","publicationTypes":"Journal Article","fieldsOfStudy":null,"isOpenAccess":false,"openAccessPdf":"https://www.ncbi.nlm.nih.gov/pmc/articles/PMC11390091/pdf/","citationCount":"0","resultStr":null,"platform":"Semanticscholar","paperid":null,"PeriodicalName":"Tuberkuloz ve toraks","FirstCategoryId":"1085","ListUrlMain":"https://doi.org/10.5578/tt.202402930","RegionNum":0,"RegionCategory":null,"ArticlePicture":[],"TitleCN":null,"AbstractTextCN":null,"PMCID":null,"EPubDate":"","PubModel":"","JCR":"","JCRName":"","Score":null,"Total":0}
引用次数: 0

Abstract

Introduction: This study explores the impact of vascular diameters on mortality risk in Coronavirus disease-2019 (COVID-19) patients. COVID-19, caused by severe acute respiratory syndrome Coronavirus 2 (SARS-CoV-2), presents diverse clinical manifestations and is associated with thrombosis.

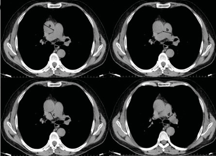
Materials and methods: In this study, we retrospectively examined the data of patients who were hospitalized and treated in our hospital between September 1, 2020, and November 30, 2020, and whose COVID-19 diagnosis was confirmed by reverse transcriptase polymerase chain reaction (RT-PCR). The diameters of the ascending aorta, main pulmonary artery, and right and left pulmonary arteries were measured from the chest computed tomography (CT) scans taken at the time of admission. The aim of the study was to investigate the impact of vascular diameters on the course of the disease.

Result: Of 1.705 patients, 840 were eligible for the study. We concluded that 36 of the patients (4.3%) died, and among the non-survivors patients, 12 (33.3%) were females, and 24 (66.7%) were males. Hospitalization duration was 7.1 ± 3.1 vs. 6.1 ± 2 days (p= 0.004) in surviving and non-surviving patients respectively. On the other hand, we found the mean diameters of the right pulmonary artery in the chest CT of patients to be 2.17 ± 0.35 vs. 2.44 ± 0.29 cm in survivors and non-survivors, respectively (p< 0.001). In addition, we found the mean diameters of the left pulmonary artery 2.12 ± 0.32 vs. 2.34 ± 0.28 cm in survivors and non-survivors, respectively (p< 0.001). Mean diameters of the ascending aorta were 3.53 ± 0.46 vs. 3.72 ± 0.34 cm in survivors and non-survivors, respectively (p= 0.017).

Conclusions: The study underscores the potential prognostic value of vascular diameters, especially in the ascending aorta and main pulmonary artery, as indicators of mortality risk in COVID-19 patients. The association between vascular dilation and severity of COVID-19, coupled with elevated D-dimer levels, suggests a link between thrombosis and vascular involvement.

Abstract Image

Abstract Image

回顾性评估肺动脉和主动脉直径对 COVID-19 住院患者的住院时间和存活率的影响。
导言:本研究探讨了血管直径对冠状病毒病-2019(COVID-19)患者死亡风险的影响。COVID-19由严重急性呼吸系统综合征冠状病毒2(SARS-CoV-2)引起,临床表现多种多样,并与血栓形成有关:在本研究中,我们回顾性研究了2020年9月1日至2020年11月30日期间在我院住院治疗并通过逆转录酶聚合酶链反应(RT-PCR)确诊为COVID-19的患者数据。根据入院时的胸部计算机断层扫描(CT)测量升主动脉、主肺动脉和左右肺动脉的直径。研究的目的是探讨血管直径对病程的影响:在 1 705 名患者中,有 840 人符合研究条件。在未存活的患者中,女性 12 人(33.3%),男性 24 人(66.7%)。存活和非存活患者的住院时间分别为 7.1 ± 3.1 天和 6.1 ± 2 天(P= 0.004)。另一方面,我们发现存活患者和非存活患者的胸部 CT 右肺动脉平均直径分别为 2.17 ± 0.35 cm 对 2.44 ± 0.29 cm(P< 0.001)。此外,我们发现存活者和非存活者的左肺动脉平均直径分别为 2.12 ± 0.32 vs. 2.34 ± 0.28 厘米(P< 0.001)。幸存者和非幸存者的升主动脉平均直径分别为 3.53 ± 0.46 vs. 3.72 ± 0.34 厘米(P= 0.017):该研究强调了血管直径(尤其是升主动脉和主肺动脉)作为 COVID-19 患者死亡风险指标的潜在预后价值。血管扩张与 COVID-19 严重程度之间的关联,加上 D-二聚体水平的升高,表明血栓形成与血管受累之间存在联系。
本文章由计算机程序翻译,如有差异,请以英文原文为准。
求助全文
约1分钟内获得全文 求助全文
来源期刊
自引率
0.00%
发文量
0
×
引用
GB/T 7714-2015
复制
MLA
复制
APA
复制
导出至
BibTeX EndNote RefMan NoteFirst NoteExpress
×
提示
您的信息不完整,为了账户安全,请先补充。
现在去补充
×
提示
您因"违规操作"
具体请查看互助需知
我知道了
×
提示
确定
请完成安全验证×
copy
已复制链接
快去分享给好友吧!
我知道了
右上角分享
点击右上角分享
0
联系我们:info@booksci.cn Book学术提供免费学术资源搜索服务,方便国内外学者检索中英文文献。致力于提供最便捷和优质的服务体验。 Copyright © 2023 布克学术 All rights reserved.
京ICP备2023020795号-1
ghs 京公网安备 11010802042870号
Book学术文献互助
Book学术文献互助群
群 号:604180095
Book学术官方微信