The distally anchored connective tissue graft platform for papilla enhancement: A case report

IF 0.9 Q3 DENTISTRY, ORAL SURGERY & MEDICINE
Gonzalo Blasi, Lory Abrahamian, Alvaro Blasi
{"title":"The distally anchored connective tissue graft platform for papilla enhancement: A case report","authors":"Gonzalo Blasi,&nbsp;Lory Abrahamian,&nbsp;Alvaro Blasi","doi":"10.1002/cap.10299","DOIUrl":null,"url":null,"abstract":"<div>\n \n \n <section>\n \n <h3> Background</h3>\n \n <p>As the need for using dental implants to replace single missing teeth grows, so does the demand for greater esthetic results. However, achieving complete interproximal papillae fill in single-tooth implant restorations remains a challenge. The distally anchored connective tissue platform is a novel soft tissue augmentation technique that consists of harvesting an autogenous connective tissue graft from the palate, folding it, and positioning it at the level of the distal occlusal and buccal surfaces with the help of a distal sling suture to the adjacent distal tooth.</p>\n </section>\n \n <section>\n \n <h3> Methods</h3>\n \n <p>This case report describes how a maxillary central incisor with compromised hard and soft tissues were replaced using a comprehensive treatment plan.</p>\n </section>\n \n <section>\n \n <h3> Results</h3>\n \n <p>The clinical outcomes showed stable mucosal margin levels and complete papillae fill. The patient expressed satisfaction with the achieved results.</p>\n </section>\n \n <section>\n \n <h3> Conclusions</h3>\n \n <p>The distally anchored connective tissue graft platform performed at the time of implant placement emerges as a viable and effective soft tissue augmentation technique that yields highly esthetic results.</p>\n </section>\n \n <section>\n \n <h3> Key points</h3>\n \n <div><b>Why is this case new information?</b>\n \n <ul>\n \n <li>To the best of our knowledge, this is the first case report in the literature using the distally anchored connective tissue platform.</li>\n </ul>\n </div>\n \n <div><b>What are the keys to successful management of this case?</b>\n \n <ul>\n \n <li>Adequate diagnosis and decision-making, resulting in a treatment plan focused on reconstructing both soft and hard tissues in a single-tooth implant within the esthetic area, yield favorable clinical, radiological, and patient-reported outcomes.</li>\n </ul>\n </div>\n \n <div><b>What are the primary limitations to success in this case?</b>\n \n <ul>\n \n <li>The primary limitation of this study is its reliance on a single case report.</li>\n </ul>\n </div>\n </section>\n </div>","PeriodicalId":55950,"journal":{"name":"Clinical Advances in Periodontics","volume":"15 2","pages":"150-159"},"PeriodicalIF":0.9000,"publicationDate":"2024-06-10","publicationTypes":"Journal Article","fieldsOfStudy":null,"isOpenAccess":false,"openAccessPdf":"https://onlinelibrary.wiley.com/doi/epdf/10.1002/cap.10299","citationCount":"0","resultStr":null,"platform":"Semanticscholar","paperid":null,"PeriodicalName":"Clinical Advances in Periodontics","FirstCategoryId":"1085","ListUrlMain":"https://aap.onlinelibrary.wiley.com/doi/10.1002/cap.10299","RegionNum":0,"RegionCategory":null,"ArticlePicture":[],"TitleCN":null,"AbstractTextCN":null,"PMCID":null,"EPubDate":"","PubModel":"","JCR":"Q3","JCRName":"DENTISTRY, ORAL SURGERY & MEDICINE","Score":null,"Total":0}
引用次数: 0

Abstract

Background

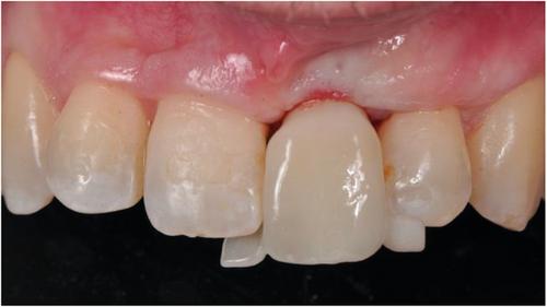
As the need for using dental implants to replace single missing teeth grows, so does the demand for greater esthetic results. However, achieving complete interproximal papillae fill in single-tooth implant restorations remains a challenge. The distally anchored connective tissue platform is a novel soft tissue augmentation technique that consists of harvesting an autogenous connective tissue graft from the palate, folding it, and positioning it at the level of the distal occlusal and buccal surfaces with the help of a distal sling suture to the adjacent distal tooth.

Methods

This case report describes how a maxillary central incisor with compromised hard and soft tissues were replaced using a comprehensive treatment plan.

Results

The clinical outcomes showed stable mucosal margin levels and complete papillae fill. The patient expressed satisfaction with the achieved results.

Conclusions

The distally anchored connective tissue graft platform performed at the time of implant placement emerges as a viable and effective soft tissue augmentation technique that yields highly esthetic results.

Key points

Why is this case new information?
  • To the best of our knowledge, this is the first case report in the literature using the distally anchored connective tissue platform.
What are the keys to successful management of this case?
  • Adequate diagnosis and decision-making, resulting in a treatment plan focused on reconstructing both soft and hard tissues in a single-tooth implant within the esthetic area, yield favorable clinical, radiological, and patient-reported outcomes.
What are the primary limitations to success in this case?
  • The primary limitation of this study is its reliance on a single case report.

Abstract Image

Abstract Image

Abstract Image

Abstract Image

用于乳头增大的远端锚定结缔组织移植平台:病例报告
背景:随着使用种植体替代单颗缺失牙的需求日益增长,人们对美观效果的要求也越来越高。然而,在单牙种植修复中实现完整的近端乳头间填充仍然是一项挑战。远端锚定结缔组织平台是一种新型的软组织增量技术,包括从上颚采集自体结缔组织移植物,折叠后将其放置在远端咬合面和颊面的水平,并借助远端吊带将其缝合到相邻的远端牙齿上:本病例报告描述了如何采用综合治疗方案替换一颗软硬组织受损的上颌中切牙:临床结果显示粘膜边缘水平稳定,乳头完全填充。结果:临床结果显示粘膜边缘水平稳定,乳头填充完整,患者对取得的效果表示满意:结论:种植体植入时进行的远端锚定结缔组织移植平台是一种可行且有效的软组织增量技术,可获得高度美观的效果:为什么本病例是新信息?据我们所知,这是文献中第一例使用远端锚定结缔组织平台的病例报告。成功处理该病例的关键是什么?通过充分的诊断和决策,制定治疗计划,重点重建美学区域内单颗牙种植体的软组织和硬组织,从而获得良好的临床、放射学和患者报告结果。本病例成功的主要限制因素是什么?这项研究的主要局限性在于其对单个病例报告的依赖性。
本文章由计算机程序翻译,如有差异,请以英文原文为准。
求助全文
约1分钟内获得全文 求助全文
来源期刊
Clinical Advances in Periodontics
Clinical Advances in Periodontics DENTISTRY, ORAL SURGERY & MEDICINE-
CiteScore
1.60
自引率
0.00%
发文量
40
×
引用
GB/T 7714-2015
复制
MLA
复制
APA
复制
导出至
BibTeX EndNote RefMan NoteFirst NoteExpress
×
提示
您的信息不完整,为了账户安全,请先补充。
现在去补充
×
提示
您因"违规操作"
具体请查看互助需知
我知道了
×
提示
确定
请完成安全验证×
copy
已复制链接
快去分享给好友吧!
我知道了
右上角分享
点击右上角分享
0
联系我们:info@booksci.cn Book学术提供免费学术资源搜索服务,方便国内外学者检索中英文文献。致力于提供最便捷和优质的服务体验。 Copyright © 2023 布克学术 All rights reserved.
京ICP备2023020795号-1
ghs 京公网安备 11010802042870号
Book学术文献互助
Book学术文献互助群
群 号:604180095
Book学术官方微信