The Harms of Unnecessary CT Pulmonary Angiography: A Case Report and Literature Review.

IF 0.8 Q3 MEDICINE, GENERAL & INTERNAL
Zakaria Alagha, Ean Bills, Maha Alastal, Muhammad Ghallab, Amro Al-Astal, Ahmed Mahdi
{"title":"The Harms of Unnecessary CT Pulmonary Angiography: A Case Report and Literature Review.","authors":"Zakaria Alagha, Ean Bills, Maha Alastal, Muhammad Ghallab, Amro Al-Astal, Ahmed Mahdi","doi":"10.1177/23247096241258603","DOIUrl":null,"url":null,"abstract":"<p><p>Pulmonary embolism (PE) poses a significant health risk in the United States, with high mortality rates. Clinicians maintain a low threshold for suspecting PE, potentially leading to deviation from guideline-recommended algorithms and unnecessary computed tomography pulmonary angiography (CTPA). This case discusses a 46-year-old woman who presented with symptoms suggestive of PE following a prolonged road trip. Despite a low Wells score and negative D-dimer results, she underwent CTPA, resulting in an unnecessary and harmful interventional radiology-guided thrombectomy. This highlights the importance of adhering to guidelines in PE diagnosis to mitigate potential harms associated with the overuse of available medical tools.</p>","PeriodicalId":16198,"journal":{"name":"Journal of investigative medicine high impact case reports","volume":"12 ","pages":"23247096241258603"},"PeriodicalIF":0.8000,"publicationDate":"2024-01-01","publicationTypes":"Journal Article","fieldsOfStudy":null,"isOpenAccess":false,"openAccessPdf":"https://www.ncbi.nlm.nih.gov/pmc/articles/PMC11155323/pdf/","citationCount":"0","resultStr":null,"platform":"Semanticscholar","paperid":null,"PeriodicalName":"Journal of investigative medicine high impact case reports","FirstCategoryId":"1085","ListUrlMain":"https://doi.org/10.1177/23247096241258603","RegionNum":0,"RegionCategory":null,"ArticlePicture":[],"TitleCN":null,"AbstractTextCN":null,"PMCID":null,"EPubDate":"","PubModel":"","JCR":"Q3","JCRName":"MEDICINE, GENERAL & INTERNAL","Score":null,"Total":0}
引用次数: 0

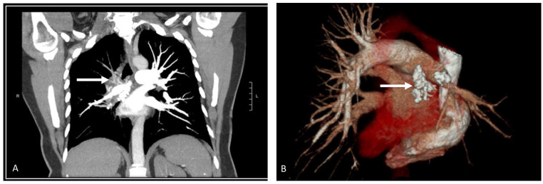
Abstract

Pulmonary embolism (PE) poses a significant health risk in the United States, with high mortality rates. Clinicians maintain a low threshold for suspecting PE, potentially leading to deviation from guideline-recommended algorithms and unnecessary computed tomography pulmonary angiography (CTPA). This case discusses a 46-year-old woman who presented with symptoms suggestive of PE following a prolonged road trip. Despite a low Wells score and negative D-dimer results, she underwent CTPA, resulting in an unnecessary and harmful interventional radiology-guided thrombectomy. This highlights the importance of adhering to guidelines in PE diagnosis to mitigate potential harms associated with the overuse of available medical tools.

Abstract Image

Abstract Image

Abstract Image

不必要的 CT 肺血管造影的危害:病例报告与文献综述
肺栓塞(PE)在美国对健康构成重大威胁,死亡率很高。临床医生怀疑肺栓塞的门槛较低,可能导致偏离指南推荐的算法和不必要的计算机断层扫描肺血管造影术(CTPA)。本病例讨论的是一名 46 岁女性,她在一次长途旅行后出现了提示 PE 的症状。尽管威尔斯评分很低,D-二聚体结果也呈阴性,但她还是接受了 CTPA 检查,结果在介入放射学引导下进行了不必要且有害的血栓切除术。这凸显了在 PE 诊断中遵守指南的重要性,以减少因过度使用现有医疗工具而造成的潜在危害。
本文章由计算机程序翻译,如有差异,请以英文原文为准。
求助全文
约1分钟内获得全文 求助全文
来源期刊
CiteScore
1.90
自引率
0.00%
发文量
165
审稿时长
12 weeks
期刊介绍: The AFMR is committed to enhancing the training and career development of our members and to furthering its mission to facilitate the conduct of research to improve medical care. Case reports represent an important avenue for trainees (interns, residents, and fellows) and early-stage faculty to demonstrate productive, scholarly activity.
×
引用
GB/T 7714-2015
复制
MLA
复制
APA
复制
导出至
BibTeX EndNote RefMan NoteFirst NoteExpress
×
提示
您的信息不完整,为了账户安全,请先补充。
现在去补充
×
提示
您因"违规操作"
具体请查看互助需知
我知道了
×
提示
确定
请完成安全验证×
copy
已复制链接
快去分享给好友吧!
我知道了
右上角分享
点击右上角分享
0
联系我们:info@booksci.cn Book学术提供免费学术资源搜索服务,方便国内外学者检索中英文文献。致力于提供最便捷和优质的服务体验。 Copyright © 2023 布克学术 All rights reserved.
京ICP备2023020795号-1
ghs 京公网安备 11010802042870号
Book学术文献互助
Book学术文献互助群
群 号:604180095
Book学术官方微信