Reactive Angioendotheliomatosis in Association with Ulcerative Colitis.

Q3 Medicine
Case Reports in Dermatological Medicine Pub Date : 2024-05-29 eCollection Date: 2024-01-01 DOI:10.1155/2024/6505274
R Afiouni, G Abadjian, F Stephan
{"title":"Reactive Angioendotheliomatosis in Association with Ulcerative Colitis.","authors":"R Afiouni, G Abadjian, F Stephan","doi":"10.1155/2024/6505274","DOIUrl":null,"url":null,"abstract":"<p><p>Reactive angioendotheliomatosis (RAE) is a rare benign skin condition characterized histologically by the proliferation of dermal vessels and endothelial cells that occurs secondary to an underlying disease such as infections or lymphoproliferative disorders. To our knowledge, no previous cases of RAE associated with ulcerative colitis (UC) were reported in the literature. Therefore, we report the case of a 46-year-old man with a history of UC presenting with RAE confirmed on histopathology and immunostaining.</p>","PeriodicalId":9630,"journal":{"name":"Case Reports in Dermatological Medicine","volume":"2024 ","pages":"6505274"},"PeriodicalIF":0.0000,"publicationDate":"2024-05-29","publicationTypes":"Journal Article","fieldsOfStudy":null,"isOpenAccess":false,"openAccessPdf":"https://www.ncbi.nlm.nih.gov/pmc/articles/PMC11152761/pdf/","citationCount":"0","resultStr":null,"platform":"Semanticscholar","paperid":null,"PeriodicalName":"Case Reports in Dermatological Medicine","FirstCategoryId":"1085","ListUrlMain":"https://doi.org/10.1155/2024/6505274","RegionNum":0,"RegionCategory":null,"ArticlePicture":[],"TitleCN":null,"AbstractTextCN":null,"PMCID":null,"EPubDate":"2024/1/1 0:00:00","PubModel":"eCollection","JCR":"Q3","JCRName":"Medicine","Score":null,"Total":0}
引用次数: 0

Abstract

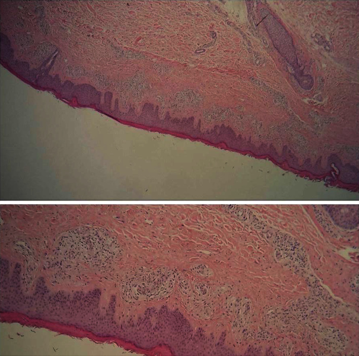
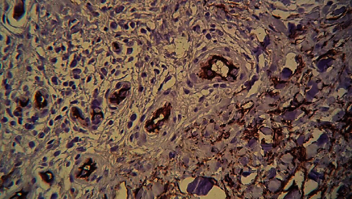
Reactive angioendotheliomatosis (RAE) is a rare benign skin condition characterized histologically by the proliferation of dermal vessels and endothelial cells that occurs secondary to an underlying disease such as infections or lymphoproliferative disorders. To our knowledge, no previous cases of RAE associated with ulcerative colitis (UC) were reported in the literature. Therefore, we report the case of a 46-year-old man with a history of UC presenting with RAE confirmed on histopathology and immunostaining.

Abstract Image

Abstract Image

Abstract Image

与溃疡性结肠炎有关的反应性血管内皮瘤病
反应性血管内皮细胞瘤病(RAE)是一种罕见的良性皮肤病,其组织学特征是真皮血管和内皮细胞增生,继发于感染或淋巴增生性疾病等潜在疾病。据我们所知,文献中从未报道过 RAE 与溃疡性结肠炎(UC)相关的病例。因此,我们报告了一例经组织病理学和免疫染色证实伴有 RAE 的 46 岁男性 UC 病例。
本文章由计算机程序翻译,如有差异,请以英文原文为准。
求助全文
约1分钟内获得全文 求助全文
来源期刊
CiteScore
1.50
自引率
0.00%
发文量
24
审稿时长
15 weeks
×
引用
GB/T 7714-2015
复制
MLA
复制
APA
复制
导出至
BibTeX EndNote RefMan NoteFirst NoteExpress
×
提示
您的信息不完整,为了账户安全,请先补充。
现在去补充
×
提示
您因"违规操作"
具体请查看互助需知
我知道了
×
提示
确定
请完成安全验证×
copy
已复制链接
快去分享给好友吧!
我知道了
右上角分享
点击右上角分享
0
联系我们:info@booksci.cn Book学术提供免费学术资源搜索服务,方便国内外学者检索中英文文献。致力于提供最便捷和优质的服务体验。 Copyright © 2023 布克学术 All rights reserved.
京ICP备2023020795号-1
ghs 京公网安备 11010802042870号
Book学术文献互助
Book学术文献互助群
群 号:604180095
Book学术官方微信