Airway Management for Massive Anterior Mediastinal Tumor Resection in an Infant: A Strategy Involving Spontaneous Breathing-Preserving Endotracheal Intubation under Intravenous Anesthesia.

IF 0.5 Q4 PEDIATRICS
Case Reports in Pediatrics Pub Date : 2024-05-27 eCollection Date: 2024-01-01 DOI:10.1155/2024/1727612
Hiromi Matsuda, Ei Ito, Akiko Katsuike, Hirotsugu Okamoto
{"title":"Airway Management for Massive Anterior Mediastinal Tumor Resection in an Infant: A Strategy Involving Spontaneous Breathing-Preserving Endotracheal Intubation under Intravenous Anesthesia.","authors":"Hiromi Matsuda, Ei Ito, Akiko Katsuike, Hirotsugu Okamoto","doi":"10.1155/2024/1727612","DOIUrl":null,"url":null,"abstract":"<p><p>Tracheal intubation under sedation in uncooperative infants is challenging. The case of a 4-month-old infant with a massive anterior mediastinal tumor and upper respiratory tract symptoms, for whom effective preoxygenation was provided with a high-flow nasal cannula (HFNC), allowing for safe tracheal intubation in combination with a supraglottic device and local anesthetic, is reported. With careful planning of anesthesia and creative problem solving, airway management for anterior mediastinal tumors can be performed safely with the selection of an appropriate airway device. This may be a good airway management strategy for infants with mediastinal tumors or who may be expected to have ventilation difficulties.</p>","PeriodicalId":9623,"journal":{"name":"Case Reports in Pediatrics","volume":"2024 ","pages":"1727612"},"PeriodicalIF":0.5000,"publicationDate":"2024-05-27","publicationTypes":"Journal Article","fieldsOfStudy":null,"isOpenAccess":false,"openAccessPdf":"https://www.ncbi.nlm.nih.gov/pmc/articles/PMC11149395/pdf/","citationCount":"0","resultStr":null,"platform":"Semanticscholar","paperid":null,"PeriodicalName":"Case Reports in Pediatrics","FirstCategoryId":"1085","ListUrlMain":"https://doi.org/10.1155/2024/1727612","RegionNum":0,"RegionCategory":null,"ArticlePicture":[],"TitleCN":null,"AbstractTextCN":null,"PMCID":null,"EPubDate":"2024/1/1 0:00:00","PubModel":"eCollection","JCR":"Q4","JCRName":"PEDIATRICS","Score":null,"Total":0}
引用次数: 0

Abstract

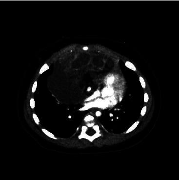
Tracheal intubation under sedation in uncooperative infants is challenging. The case of a 4-month-old infant with a massive anterior mediastinal tumor and upper respiratory tract symptoms, for whom effective preoxygenation was provided with a high-flow nasal cannula (HFNC), allowing for safe tracheal intubation in combination with a supraglottic device and local anesthetic, is reported. With careful planning of anesthesia and creative problem solving, airway management for anterior mediastinal tumors can be performed safely with the selection of an appropriate airway device. This may be a good airway management strategy for infants with mediastinal tumors or who may be expected to have ventilation difficulties.

Abstract Image

婴儿大规模前纵隔肿瘤切除术的气道管理:静脉麻醉下气管内插管保留自主呼吸的策略。
对不合作的婴儿在镇静状态下进行气管插管具有挑战性。本病例报告了一名 4 个月大的婴儿,该婴儿患有巨大的前纵隔肿瘤并伴有上呼吸道症状,使用高流量鼻插管 (HFNC) 为其提供了有效的预吸氧,从而结合声门上装置和局部麻醉剂安全地进行了气管插管。通过精心策划麻醉和创造性地解决问题,选择适当的气道装置可以安全地对前纵隔肿瘤进行气道管理。对于患有纵隔肿瘤或预计会出现通气困难的婴儿,这可能是一种很好的气道管理策略。
本文章由计算机程序翻译,如有差异,请以英文原文为准。
求助全文
约1分钟内获得全文 求助全文
来源期刊
自引率
11.10%
发文量
48
审稿时长
13 weeks
×
引用
GB/T 7714-2015
复制
MLA
复制
APA
复制
导出至
BibTeX EndNote RefMan NoteFirst NoteExpress
×
提示
您的信息不完整,为了账户安全,请先补充。
现在去补充
×
提示
您因"违规操作"
具体请查看互助需知
我知道了
×
提示
确定
请完成安全验证×
copy
已复制链接
快去分享给好友吧!
我知道了
右上角分享
点击右上角分享
0
联系我们:info@booksci.cn Book学术提供免费学术资源搜索服务,方便国内外学者检索中英文文献。致力于提供最便捷和优质的服务体验。 Copyright © 2023 布克学术 All rights reserved.
京ICP备2023020795号-1
ghs 京公网安备 11010802042870号
Book学术文献互助
Book学术文献互助群
群 号:604180095
Book学术官方微信