Unilateral Periorbital Swelling in a Pediatric Patient.

IF 0.6 Q3 MEDICINE, GENERAL & INTERNAL
Clinical Medicine Insights. Case Reports Pub Date : 2024-05-31 eCollection Date: 2024-01-01 DOI:10.1177/11795476241255563
Ana Rosas Herrera, Ashley B Parker, Mark Chaskes, Frederic Askin, Aurelia S Monk, John R Stephens, Brian D Thorp, Charles S Ebert, Brent A Senior, Adam J Kimple, Keonho A Kong
{"title":"Unilateral Periorbital Swelling in a Pediatric Patient.","authors":"Ana Rosas Herrera, Ashley B Parker, Mark Chaskes, Frederic Askin, Aurelia S Monk, John R Stephens, Brian D Thorp, Charles S Ebert, Brent A Senior, Adam J Kimple, Keonho A Kong","doi":"10.1177/11795476241255563","DOIUrl":null,"url":null,"abstract":"<p><p>Infratemporal fossa (ITF) tumors are rare in children and may present with a variety of symptoms. Teratomas are neoplasms derived from the 3 germ layers and approximately 6% to 10% are within the head and neck. Our study discusses one of the first reported cases of teratoma in the ITF in a pediatric patient. A 3-year-old girl presents with 2 years of recurrent monthly left periorbital swelling accompanied by fevers, skin discoloration, and pain. Prior episodes were treated with antibiotics with incomplete resolution. Imaging revealed a cystic lesion centered in the ITF. She was taken for endoscopic endonasal biopsy of the lesion and had no complications. Pathology revealed a mature teratoma composed primarily of pancreatic tissue. Providers should consider masses such as teratoma in the differential for ITF tumors and periorbital edema unresponsive to typical treatment.</p>","PeriodicalId":10357,"journal":{"name":"Clinical Medicine Insights. Case Reports","volume":"17 ","pages":"11795476241255563"},"PeriodicalIF":0.6000,"publicationDate":"2024-05-31","publicationTypes":"Journal Article","fieldsOfStudy":null,"isOpenAccess":false,"openAccessPdf":"https://www.ncbi.nlm.nih.gov/pmc/articles/PMC11143867/pdf/","citationCount":"0","resultStr":null,"platform":"Semanticscholar","paperid":null,"PeriodicalName":"Clinical Medicine Insights. Case Reports","FirstCategoryId":"1085","ListUrlMain":"https://doi.org/10.1177/11795476241255563","RegionNum":0,"RegionCategory":null,"ArticlePicture":[],"TitleCN":null,"AbstractTextCN":null,"PMCID":null,"EPubDate":"2024/1/1 0:00:00","PubModel":"eCollection","JCR":"Q3","JCRName":"MEDICINE, GENERAL & INTERNAL","Score":null,"Total":0}
引用次数: 0

Abstract

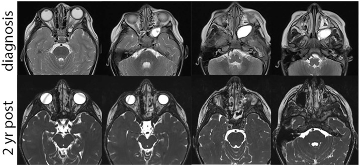
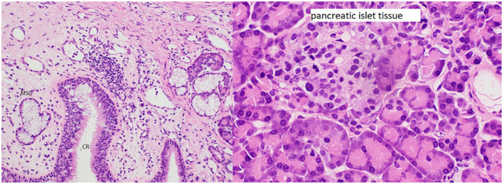
Infratemporal fossa (ITF) tumors are rare in children and may present with a variety of symptoms. Teratomas are neoplasms derived from the 3 germ layers and approximately 6% to 10% are within the head and neck. Our study discusses one of the first reported cases of teratoma in the ITF in a pediatric patient. A 3-year-old girl presents with 2 years of recurrent monthly left periorbital swelling accompanied by fevers, skin discoloration, and pain. Prior episodes were treated with antibiotics with incomplete resolution. Imaging revealed a cystic lesion centered in the ITF. She was taken for endoscopic endonasal biopsy of the lesion and had no complications. Pathology revealed a mature teratoma composed primarily of pancreatic tissue. Providers should consider masses such as teratoma in the differential for ITF tumors and periorbital edema unresponsive to typical treatment.

Abstract Image

Abstract Image

Abstract Image

一名儿科患者的单侧眶周肿胀
颞下窝(ITF)肿瘤在儿童中很少见,可能会出现各种症状。畸胎瘤是源自三个胚层的肿瘤,约有 6% 至 10% 发生在头颈部。我们的研究讨论了首例报道的 ITF 儿童畸胎瘤病例。一名 3 岁女孩两年来每月反复出现左侧眶周肿胀,并伴有发热、皮肤变色和疼痛。之前曾用抗生素治疗,但效果不明显。影像学检查发现以 ITF 为中心的囊性病变。她接受了鼻内镜下病灶活检,没有出现并发症。病理结果显示这是一个主要由胰腺组织构成的成熟畸胎瘤。在鉴别 ITF 肿瘤和对一般治疗无效的眶周水肿时,医疗人员应考虑畸胎瘤等肿块。
本文章由计算机程序翻译,如有差异,请以英文原文为准。
求助全文
约1分钟内获得全文 求助全文
来源期刊
Clinical Medicine Insights. Case Reports
Clinical Medicine Insights. Case Reports MEDICINE, GENERAL & INTERNAL-
CiteScore
1.10
自引率
0.00%
发文量
57
审稿时长
8 weeks
×
引用
GB/T 7714-2015
复制
MLA
复制
APA
复制
导出至
BibTeX EndNote RefMan NoteFirst NoteExpress
×
提示
您的信息不完整,为了账户安全,请先补充。
现在去补充
×
提示
您因"违规操作"
具体请查看互助需知
我知道了
×
提示
确定
请完成安全验证×
copy
已复制链接
快去分享给好友吧!
我知道了
右上角分享
点击右上角分享
0
联系我们:info@booksci.cn Book学术提供免费学术资源搜索服务,方便国内外学者检索中英文文献。致力于提供最便捷和优质的服务体验。 Copyright © 2023 布克学术 All rights reserved.
京ICP备2023020795号-1
ghs 京公网安备 11010802042870号
Book学术文献互助
Book学术文献互助群
群 号:604180095
Book学术官方微信