Distal Fibula Pro-Tibial Screws in Salvage Fixation of Bimalleolar Ankle Fractures in Osteoporotic Bone - A Novel Technique.

IF 1.8 Q3 ORTHOPEDICS
Mostafa Beshr, James Dixon, Iain Stevenson
{"title":"Distal Fibula Pro-Tibial Screws in Salvage Fixation of Bimalleolar Ankle Fractures in Osteoporotic Bone - A Novel Technique.","authors":"Mostafa Beshr, James Dixon, Iain Stevenson","doi":"10.22038/ABJS.2024.76119.3515","DOIUrl":null,"url":null,"abstract":"<p><p>Here we present a novel adaptation of the previously described fibula pro-tibial fixation in a case requiring salvage fixation of a bimalleolar ankle fracture in an osteoporotic patient. Unstable osteoporotic ankle fractures are a challenging injury to manage and typically occur in a frail and comorbid subgroup of patients. Various techniques have been described in the evolution of managing these injuries, e.g. hindfoot nailing and anatomical locking plates, however in this uniquely challenging case a novel strategy was required to mitigate bone loss in the distal fibular fracture fragment. There is some evidence to suggest fibular protibial fixation offers a lower complication profile to its alternatives. The novel use of distal fibula pro-tibial screws offers a new alternative to hindfoot nailing of bimalleolar ankle fracture in osteoporotic bone with compromised distal fibular fragment bone purchase. Further research is required to investigate the compatibility of this technique with early weightbearing.</p>","PeriodicalId":46704,"journal":{"name":"Archives of Bone and Joint Surgery-ABJS","volume":"12 5","pages":"361-364"},"PeriodicalIF":1.8000,"publicationDate":"2024-01-01","publicationTypes":"Journal Article","fieldsOfStudy":null,"isOpenAccess":false,"openAccessPdf":"https://www.ncbi.nlm.nih.gov/pmc/articles/PMC11134263/pdf/","citationCount":"0","resultStr":null,"platform":"Semanticscholar","paperid":null,"PeriodicalName":"Archives of Bone and Joint Surgery-ABJS","FirstCategoryId":"1085","ListUrlMain":"https://doi.org/10.22038/ABJS.2024.76119.3515","RegionNum":0,"RegionCategory":null,"ArticlePicture":[],"TitleCN":null,"AbstractTextCN":null,"PMCID":null,"EPubDate":"","PubModel":"","JCR":"Q3","JCRName":"ORTHOPEDICS","Score":null,"Total":0}
引用次数: 0

Abstract

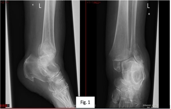
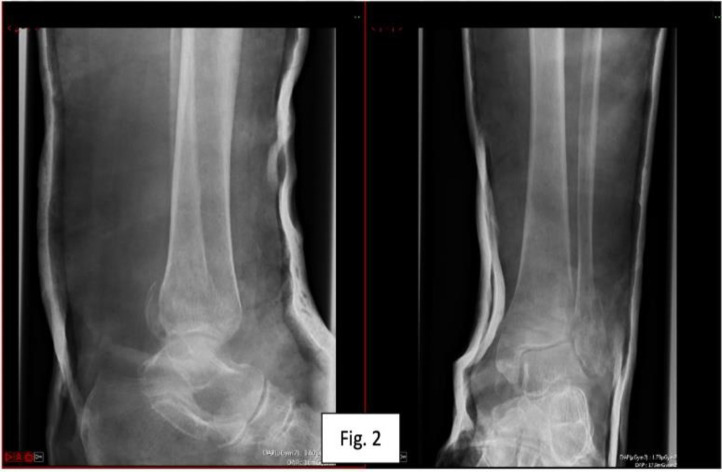
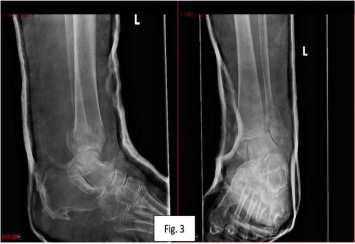
Here we present a novel adaptation of the previously described fibula pro-tibial fixation in a case requiring salvage fixation of a bimalleolar ankle fracture in an osteoporotic patient. Unstable osteoporotic ankle fractures are a challenging injury to manage and typically occur in a frail and comorbid subgroup of patients. Various techniques have been described in the evolution of managing these injuries, e.g. hindfoot nailing and anatomical locking plates, however in this uniquely challenging case a novel strategy was required to mitigate bone loss in the distal fibular fracture fragment. There is some evidence to suggest fibular protibial fixation offers a lower complication profile to its alternatives. The novel use of distal fibula pro-tibial screws offers a new alternative to hindfoot nailing of bimalleolar ankle fracture in osteoporotic bone with compromised distal fibular fragment bone purchase. Further research is required to investigate the compatibility of this technique with early weightbearing.

Abstract Image

Abstract Image

Abstract Image

腓骨远端前胫骨螺钉在骨质疏松性双侧踝关节骨折抢救性固定中的应用--一种新技术。
在这里,我们介绍了一种对之前描述过的腓骨胫骨前固定的新改良方法,用于骨质疏松患者双侧踝关节骨折的抢救性固定。不稳定的骨质疏松性踝关节骨折是一种极具挑战性的损伤,通常发生在体弱多病的亚组患者中。在处理这类损伤的演变过程中,已经出现了多种技术,如后足钉和解剖锁定钢板,但在这个极具挑战性的病例中,需要一种新的策略来减轻腓骨远端骨折片的骨质流失。有证据表明,腓骨原胫骨固定的并发症低于其他固定方法。在骨质疏松且腓骨远端骨折片骨量不足的情况下,腓骨远端原胫骨螺钉的新应用为后足钉治疗双侧踝关节骨折提供了一种新的替代方案。需要进一步研究这种技术与早期负重的兼容性。
本文章由计算机程序翻译,如有差异,请以英文原文为准。
求助全文
约1分钟内获得全文 求助全文
来源期刊
CiteScore
2.30
自引率
0.00%
发文量
128
期刊介绍: The Archives of Bone and Joint Surgery (ABJS) aims to encourage a better understanding of all aspects of Orthopedic Sciences. The journal accepts scientific papers including original research, review article, short communication, case report, and letter to the editor in all fields of bone, joint, musculoskeletal surgery and related researches. The Archives of Bone and Joint Surgery (ABJS) will publish papers in all aspects of today`s modern orthopedic sciences including: Arthroscopy, Arthroplasty, Sport Medicine, Reconstruction, Hand and Upper Extremity, Pediatric Orthopedics, Spine, Trauma, Foot and Ankle, Tumor, Joint Rheumatic Disease, Skeletal Imaging, Orthopedic Physical Therapy, Rehabilitation, Orthopedic Basic Sciences (Biomechanics, Biotechnology, Biomaterial..).
×
引用
GB/T 7714-2015
复制
MLA
复制
APA
复制
导出至
BibTeX EndNote RefMan NoteFirst NoteExpress
×
提示
您的信息不完整,为了账户安全,请先补充。
现在去补充
×
提示
您因"违规操作"
具体请查看互助需知
我知道了
×
提示
确定
请完成安全验证×
copy
已复制链接
快去分享给好友吧!
我知道了
右上角分享
点击右上角分享
0
联系我们:info@booksci.cn Book学术提供免费学术资源搜索服务,方便国内外学者检索中英文文献。致力于提供最便捷和优质的服务体验。 Copyright © 2023 布克学术 All rights reserved.
京ICP备2023020795号-1
ghs 京公网安备 11010802042870号
Book学术文献互助
Book学术文献互助群
群 号:604180095
Book学术官方微信