Left Ventricle Noncompaction Phenotype: Cause or Consequence?

IF 1 Q4 CARDIAC & CARDIOVASCULAR SYSTEMS
Journal of Cardiovascular Echography Pub Date : 2024-01-01 Epub Date: 2024-04-26 DOI:10.4103/jcecho.jcecho_30_22
Grazia Casavecchia, Matteo Gravina, Francesco Mautone, Maurizio Pesolo, Francesco Mangini, Luca Macarini, Natale Daniele Brunetti
{"title":"Left Ventricle Noncompaction Phenotype: Cause or Consequence?","authors":"Grazia Casavecchia, Matteo Gravina, Francesco Mautone, Maurizio Pesolo, Francesco Mangini, Luca Macarini, Natale Daniele Brunetti","doi":"10.4103/jcecho.jcecho_30_22","DOIUrl":null,"url":null,"abstract":"<p><p>Left ventricular noncompaction (LVNC) is commonly described as a congenital cardiomyopathy characterized by prominent myocardial trabeculae and deep intertrabecular recesses extending in the left ventricular chamber. Clinical presentation can differ considerably from asymptomatic individuals to those presenting with heart failure and other serious complications. Diagnosis is usually made by two-dimensional transthoracic echocardiography or cardiac magnetic resonance. Moreover, even if strain parameters are significantly reduced in patients with LVNC, they are not routinely investigated. Here, we report the case of a previously symptomless patient admitted to the hospital for pulmonary edema. Two-dimensional transthoracic echocardiography showed severe valvular heart disease and left ventricle pronounced trabeculation and remodeling, although speckle tracking echocardiography (STE) demonstrated only mild strain reduction. We, therefore, explore the possibility that STE may be useful to differentiate LVNC cardiomyopathy from LVNC phenotype due to severe remodeling.</p>","PeriodicalId":15191,"journal":{"name":"Journal of Cardiovascular Echography","volume":"34 1","pages":"25-28"},"PeriodicalIF":1.0000,"publicationDate":"2024-01-01","publicationTypes":"Journal Article","fieldsOfStudy":null,"isOpenAccess":false,"openAccessPdf":"https://www.ncbi.nlm.nih.gov/pmc/articles/PMC11135822/pdf/","citationCount":"0","resultStr":null,"platform":"Semanticscholar","paperid":null,"PeriodicalName":"Journal of Cardiovascular Echography","FirstCategoryId":"1085","ListUrlMain":"https://doi.org/10.4103/jcecho.jcecho_30_22","RegionNum":0,"RegionCategory":null,"ArticlePicture":[],"TitleCN":null,"AbstractTextCN":null,"PMCID":null,"EPubDate":"2024/4/26 0:00:00","PubModel":"Epub","JCR":"Q4","JCRName":"CARDIAC & CARDIOVASCULAR SYSTEMS","Score":null,"Total":0}
引用次数: 0

Abstract

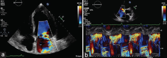
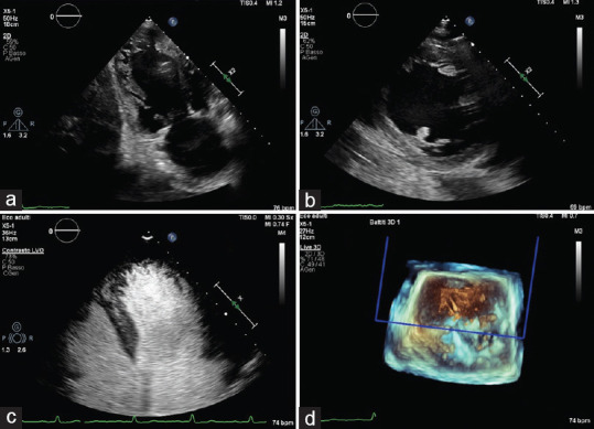
Left ventricular noncompaction (LVNC) is commonly described as a congenital cardiomyopathy characterized by prominent myocardial trabeculae and deep intertrabecular recesses extending in the left ventricular chamber. Clinical presentation can differ considerably from asymptomatic individuals to those presenting with heart failure and other serious complications. Diagnosis is usually made by two-dimensional transthoracic echocardiography or cardiac magnetic resonance. Moreover, even if strain parameters are significantly reduced in patients with LVNC, they are not routinely investigated. Here, we report the case of a previously symptomless patient admitted to the hospital for pulmonary edema. Two-dimensional transthoracic echocardiography showed severe valvular heart disease and left ventricle pronounced trabeculation and remodeling, although speckle tracking echocardiography (STE) demonstrated only mild strain reduction. We, therefore, explore the possibility that STE may be useful to differentiate LVNC cardiomyopathy from LVNC phenotype due to severe remodeling.

Abstract Image

Abstract Image

Abstract Image

左心室不充盈表型:原因还是后果?
左心室不充盈(LVNC)通常被描述为一种先天性心肌病,其特征是突出的心肌小梁和在左心室腔内延伸的深层小梁间凹陷。从无症状到出现心力衰竭和其他严重并发症,临床表现差异很大。诊断通常需要通过二维经胸超声心动图或心脏磁共振检查。此外,即使 LVNC 患者的应变参数明显降低,也没有进行常规检查。在此,我们报告了一例因肺水肿入院的无症状患者。二维经胸超声心动图显示其患有严重的瓣膜性心脏病,左心室有明显的小梁和重塑,但斑点追踪超声心动图(STE)仅显示其应变轻度降低。因此,我们探讨了 STE 可用于区分 LVNC 心肌病和严重重塑导致的 LVNC 表型的可能性。
本文章由计算机程序翻译,如有差异,请以英文原文为准。
求助全文
约1分钟内获得全文 求助全文
来源期刊
Journal of Cardiovascular Echography
Journal of Cardiovascular Echography CARDIAC & CARDIOVASCULAR SYSTEMS-
CiteScore
1.40
自引率
12.50%
发文量
27
×
引用
GB/T 7714-2015
复制
MLA
复制
APA
复制
导出至
BibTeX EndNote RefMan NoteFirst NoteExpress
×
提示
您的信息不完整,为了账户安全,请先补充。
现在去补充
×
提示
您因"违规操作"
具体请查看互助需知
我知道了
×
提示
确定
请完成安全验证×
copy
已复制链接
快去分享给好友吧!
我知道了
右上角分享
点击右上角分享
0
联系我们:info@booksci.cn Book学术提供免费学术资源搜索服务,方便国内外学者检索中英文文献。致力于提供最便捷和优质的服务体验。 Copyright © 2023 布克学术 All rights reserved.
京ICP备2023020795号-1
ghs 京公网安备 11010802042870号
Book学术文献互助
Book学术文献互助群
群 号:604180095
Book学术官方微信