Esophageal Melanocytosis.

Q4 Medicine
Autopsy and Case Reports Pub Date : 2024-05-22 eCollection Date: 2024-01-01 DOI:10.4322/acr.2024.487
Samikshya Thapa, Gajendra Kumar Yadav, Ratna Mondal, Ravi Hari Phulware
{"title":"Esophageal Melanocytosis.","authors":"Samikshya Thapa, Gajendra Kumar Yadav, Ratna Mondal, Ravi Hari Phulware","doi":"10.4322/acr.2024.487","DOIUrl":null,"url":null,"abstract":"<p><p>Esophageal melanocytosis is a rare entity defined by the proliferation of a melanocytic basal layer of the esophageal squamous lining and deposition of melanin in the esophageal mucosa. Esophageal melanocytosis is considered a benign entity of unknown etiology; however, it has been reported as a melanoma precursor. We report a case of esophageal melanocytosis in a diabetic and hypertensive 67-year-old male with recurrent dizziness and syncope for the past 6 months. Given his complaint of dyspepsia, he underwent an upper gastrointestinal endoscopy, in which an esophageal biopsy revealed the diagnosis of esophageal melanocytosis. The definitive diagnosis of esophageal melanocytosis can only be made by histological analysis. The histologic differential diagnoses include melanocytic nevi and malignant melanoma. Therefore, they need to be ruled out.</p>","PeriodicalId":53117,"journal":{"name":"Autopsy and Case Reports","volume":"14 ","pages":"e2024487"},"PeriodicalIF":0.0000,"publicationDate":"2024-05-22","publicationTypes":"Journal Article","fieldsOfStudy":null,"isOpenAccess":false,"openAccessPdf":"https://www.ncbi.nlm.nih.gov/pmc/articles/PMC11129856/pdf/","citationCount":"0","resultStr":null,"platform":"Semanticscholar","paperid":null,"PeriodicalName":"Autopsy and Case Reports","FirstCategoryId":"1085","ListUrlMain":"https://doi.org/10.4322/acr.2024.487","RegionNum":0,"RegionCategory":null,"ArticlePicture":[],"TitleCN":null,"AbstractTextCN":null,"PMCID":null,"EPubDate":"2024/1/1 0:00:00","PubModel":"eCollection","JCR":"Q4","JCRName":"Medicine","Score":null,"Total":0}
引用次数: 0

Abstract

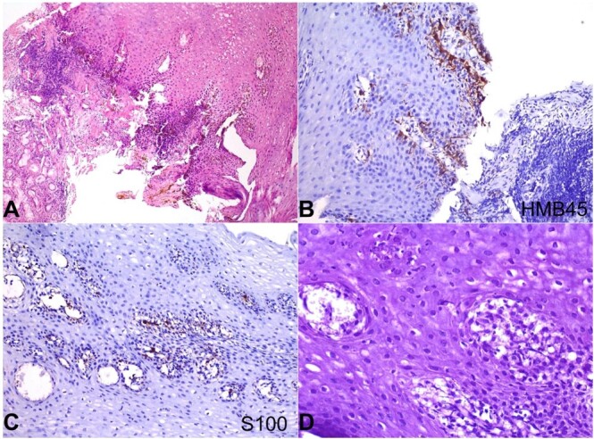
Esophageal melanocytosis is a rare entity defined by the proliferation of a melanocytic basal layer of the esophageal squamous lining and deposition of melanin in the esophageal mucosa. Esophageal melanocytosis is considered a benign entity of unknown etiology; however, it has been reported as a melanoma precursor. We report a case of esophageal melanocytosis in a diabetic and hypertensive 67-year-old male with recurrent dizziness and syncope for the past 6 months. Given his complaint of dyspepsia, he underwent an upper gastrointestinal endoscopy, in which an esophageal biopsy revealed the diagnosis of esophageal melanocytosis. The definitive diagnosis of esophageal melanocytosis can only be made by histological analysis. The histologic differential diagnoses include melanocytic nevi and malignant melanoma. Therefore, they need to be ruled out.

Abstract Image

Abstract Image

食道黑色素细胞增多症
食管黑色素细胞增多症是一种罕见的疾病,表现为食管鳞状内膜黑色素细胞基底层增生和食管粘膜黑色素沉积。食管黑色素细胞增多症被认为是一种病因不明的良性病变,但也有报道称它是黑色素瘤的前兆。我们报告了一例食管黑素细胞增多症病例,患者是一名 67 岁的男性糖尿病和高血压患者,在过去 6 个月中反复出现头晕和晕厥。鉴于他主诉的消化不良症状,他接受了上消化道内窥镜检查,食管活检显示他被诊断为食管黑素细胞增多症。食管黑素细胞增多症的明确诊断只能通过组织学分析做出。组织学鉴别诊断包括黑素细胞痣和恶性黑素瘤。因此,需要排除这两种疾病。
本文章由计算机程序翻译,如有差异,请以英文原文为准。
求助全文
约1分钟内获得全文 求助全文
来源期刊
Autopsy and Case Reports
Autopsy and Case Reports Medicine-Internal Medicine
CiteScore
1.20
自引率
0.00%
发文量
60
审稿时长
9 weeks
×
引用
GB/T 7714-2015
复制
MLA
复制
APA
复制
导出至
BibTeX EndNote RefMan NoteFirst NoteExpress
×
提示
您的信息不完整,为了账户安全,请先补充。
现在去补充
×
提示
您因"违规操作"
具体请查看互助需知
我知道了
×
提示
确定
请完成安全验证×
copy
已复制链接
快去分享给好友吧!
我知道了
右上角分享
点击右上角分享
0
联系我们:info@booksci.cn Book学术提供免费学术资源搜索服务,方便国内外学者检索中英文文献。致力于提供最便捷和优质的服务体验。 Copyright © 2023 布克学术 All rights reserved.
京ICP备2023020795号-1
ghs 京公网安备 11010802042870号
Book学术文献互助
Book学术文献互助群
群 号:604180095
Book学术官方微信