An unusual case of oropharyngeal mature teratoma in a kitten.

IF 1 4区 农林科学 Q3 VETERINARY SCIENCES
G Yuzbasioglu-Ozturk, A Gulcubuk, H Ozturk-Gurgen, A Demirutku, Z N Akcasiz, S Ozkul
{"title":"An unusual case of oropharyngeal mature teratoma in a kitten.","authors":"G Yuzbasioglu-Ozturk, A Gulcubuk, H Ozturk-Gurgen, A Demirutku, Z N Akcasiz, S Ozkul","doi":"10.22099/IJVR.2023.47588.6896","DOIUrl":null,"url":null,"abstract":"<p><strong>Background: </strong>Extragonadal teratoma in the head and neck region is unusual in veterinary medicine. So far, only one case of oropharyngeal teratoma has been reported in a cat.</p><p><strong>Case description: </strong>In this report, a 5-month-old kitten was brought to the clinic with the complaint of difficulty breathing, food intake, and oropharyngeal mass. In clinical examination, there was a large mass, protruding from the localization included left buccal mucosa, soft palate, and extending into the oropharynx but no cranial extension was observed in CT scans. The mass was completely resected. Macroscopically, the mass measured 4.5 × 6.5 cm<sup>2</sup> and contained solid and cystic areas associated with soft and hard tissue components.</p><p><strong>Findings/treatment and outcome: </strong>Histopathology revealed an extragonadal solid-cystic (grade 0) oropharyngeal mature teratoma containing structures from endoderm, mesoderm, and ectoderm. After an 8-month follow-up control period, no signs of recurrence were observed.</p><p><strong>Conclusion: </strong>The case was deemed worthy of being presented with its clinical, radiological, and pathological findings, and complete resection was curative for mature teratoma.</p>","PeriodicalId":14629,"journal":{"name":"Iranian journal of veterinary research","volume":"24 4","pages":"365-368"},"PeriodicalIF":1.0000,"publicationDate":"2023-01-01","publicationTypes":"Journal Article","fieldsOfStudy":null,"isOpenAccess":false,"openAccessPdf":"https://www.ncbi.nlm.nih.gov/pmc/articles/PMC11127734/pdf/","citationCount":"0","resultStr":null,"platform":"Semanticscholar","paperid":null,"PeriodicalName":"Iranian journal of veterinary research","FirstCategoryId":"97","ListUrlMain":"https://doi.org/10.22099/IJVR.2023.47588.6896","RegionNum":4,"RegionCategory":"农林科学","ArticlePicture":[],"TitleCN":null,"AbstractTextCN":null,"PMCID":null,"EPubDate":"","PubModel":"","JCR":"Q3","JCRName":"VETERINARY SCIENCES","Score":null,"Total":0}
引用次数: 0

Abstract

Background: Extragonadal teratoma in the head and neck region is unusual in veterinary medicine. So far, only one case of oropharyngeal teratoma has been reported in a cat.

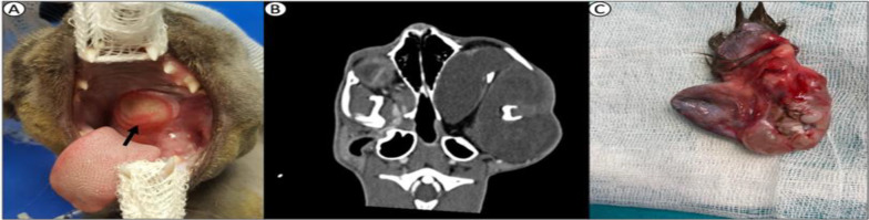
Case description: In this report, a 5-month-old kitten was brought to the clinic with the complaint of difficulty breathing, food intake, and oropharyngeal mass. In clinical examination, there was a large mass, protruding from the localization included left buccal mucosa, soft palate, and extending into the oropharynx but no cranial extension was observed in CT scans. The mass was completely resected. Macroscopically, the mass measured 4.5 × 6.5 cm2 and contained solid and cystic areas associated with soft and hard tissue components.

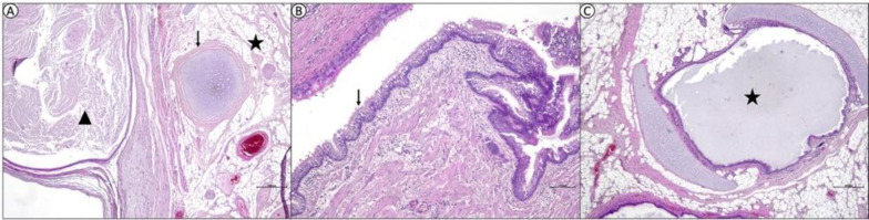
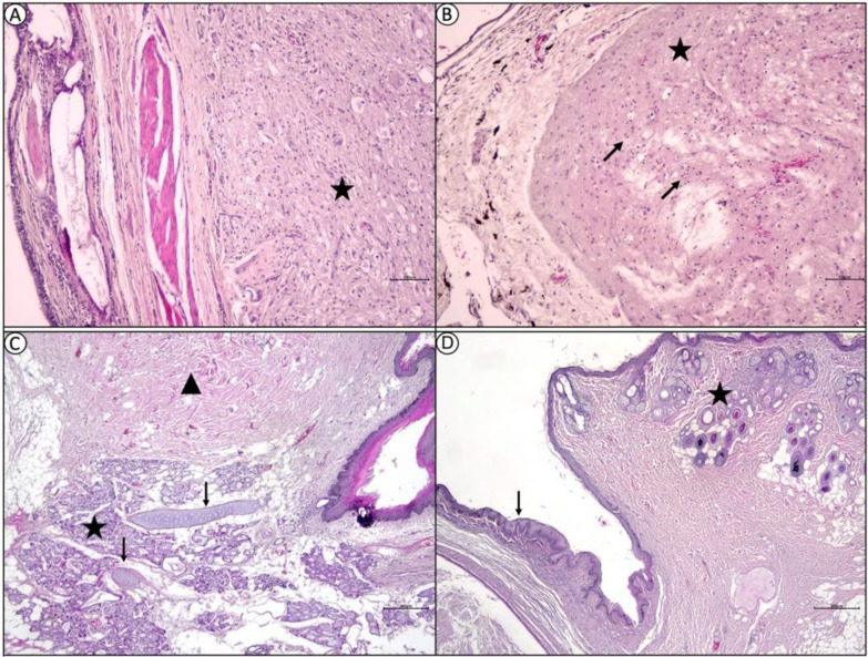
Findings/treatment and outcome: Histopathology revealed an extragonadal solid-cystic (grade 0) oropharyngeal mature teratoma containing structures from endoderm, mesoderm, and ectoderm. After an 8-month follow-up control period, no signs of recurrence were observed.

Conclusion: The case was deemed worthy of being presented with its clinical, radiological, and pathological findings, and complete resection was curative for mature teratoma.

Abstract Image

Abstract Image

Abstract Image

小猫口咽成熟畸胎瘤的罕见病例。
背景:头颈部外畸胎瘤在兽医学中并不常见。迄今为止,只有一例猫口咽畸胎瘤的报道:在本报告中,一只 5 个月大的小猫因呼吸困难、进食困难和口咽肿块而被送到诊所。在临床检查中,发现了一个巨大的肿块,从左侧颊粘膜、软腭等部位突出,并延伸至口咽部,但在 CT 扫描中未发现其向头颅延伸。肿块被完全切除。宏观上,肿块大小为 4.5 × 6.5 平方厘米,包含实性和囊性区域,并伴有软组织和硬组织成分:组织病理学显示,这是一个边外实性囊性(0 级)口咽成熟畸胎瘤,包含来自内胚层、中胚层和外胚层的结构。经过 8 个月的随访对照,未发现复发迹象:结论:该病例的临床、放射学和病理学结果都值得介绍,完全切除可治愈成熟畸胎瘤。
本文章由计算机程序翻译,如有差异,请以英文原文为准。
求助全文
约1分钟内获得全文 求助全文
来源期刊
CiteScore
1.70
自引率
8.30%
发文量
10
期刊介绍: The Iranian Journal of Veterinary Research(IJVR) is published quarterly in 4 issues. The aims of this journal are to improve and expand knowledge in all veterinary fields. It is an international journal indexed by the Thomson Institute for Scientific Information (ISI), Elsevier, Scopus, CAB International, Veterinary Bulletin and several other international databases. Research papers and reports on a wide range of veterinary topics are published in the journal after being evaluated by expert reviewers.The Editor-in-Chief is responsible for the editorial content of the journal—including peer-reviewed manuscripts—and the timing of its publication.
×
引用
GB/T 7714-2015
复制
MLA
复制
APA
复制
导出至
BibTeX EndNote RefMan NoteFirst NoteExpress
×
提示
您的信息不完整,为了账户安全,请先补充。
现在去补充
×
提示
您因"违规操作"
具体请查看互助需知
我知道了
×
提示
确定
请完成安全验证×
copy
已复制链接
快去分享给好友吧!
我知道了
右上角分享
点击右上角分享
0
联系我们:info@booksci.cn Book学术提供免费学术资源搜索服务,方便国内外学者检索中英文文献。致力于提供最便捷和优质的服务体验。 Copyright © 2023 布克学术 All rights reserved.
京ICP备2023020795号-1
ghs 京公网安备 11010802042870号
Book学术文献互助
Book学术文献互助群
群 号:604180095
Book学术官方微信