Correlation between the radial artery resistance index and the systemic vascular resistance index: a cross-sectional study.

IF 2.9 Q2 Medicine
Edith Elianna Rodríguez Aparicio, David Fernando Almanza Hernández, Cristhian Rubio Ramos, María Paula Moreno Knudsen, David Rene Rodriguez Lima
{"title":"Correlation between the radial artery resistance index and the systemic vascular resistance index: a cross-sectional study.","authors":"Edith Elianna Rodríguez Aparicio, David Fernando Almanza Hernández, Cristhian Rubio Ramos, María Paula Moreno Knudsen, David Rene Rodriguez Lima","doi":"10.1186/s13089-024-00379-0","DOIUrl":null,"url":null,"abstract":"<p><strong>Introduction: </strong>Ultrasound measurement of the radial resistance index (RRI) in the anatomical snuffbox has been proposed as a useful method for assessing the systemic vascular resistance index (SVRI). This study aims to establish the correlation between SVRI measured by pulmonary artery catheter (PAC) and RRI.</p><p><strong>Methods: </strong>A cross-sectional study included all consecutive patients undergoing postoperative (POP) cardiac surgery with hemodynamic monitoring using PAC. Hemodynamic assessment was performed using PAC, and RRI was measured with ultrasound in the anatomical snuffbox. The Pearson correlation test was used to establish the correlation between RRI and SVRI measured using PAC. Hemodynamic behavior concerning RRI with a cutoff point of 1.1 (described to estimate under SVRI) was examined. Additionally, consistency between two evaluators was assessed for RRI using the intraclass correlation coefficient and Bland-Altman analysis.</p><p><strong>Results: </strong>A total of 35 measurements were obtained. The average cardiac index (CI) was 2.73 ± 0.64 L/min/m², and the average SVRI was 1967.47 ± 478.33 dyn·s·m²/cm<sup>5</sup>. The correlation between RRI and SVRI measured using PAC was 0.37 [95% CI 0.045-0.62]. The average RRI was 0.94 ± 0.11. RRI measurements > 1.1 had a mean SVRI of 2120.79 ± 673.48 dyn·s·m²/cm<sup>5</sup>, while RRI measurements ≤ 1.1 had a mean SVRI of 1953.1 ± 468.17 dyn·s·m²/cm<sup>5</sup> (p = 0.62). The consistency between evaluators showed an intraclass correlation coefficient of 0.88 [95% CI 0.78-0.93], and Bland-Altman analysis illustrated adequate agreement of RRI evaluators.</p><p><strong>Conclusions: </strong>For patients in cardiac surgery POP, the correlation between the SVRI measured using PAC and the RRI measured in the anatomical snuffbox is low. Using the RRI as a SVRI estimator for patients is not recommended in this clinical scenario.</p>","PeriodicalId":36911,"journal":{"name":"Ultrasound Journal","volume":"16 1","pages":"29"},"PeriodicalIF":2.9000,"publicationDate":"2024-05-27","publicationTypes":"Journal Article","fieldsOfStudy":null,"isOpenAccess":false,"openAccessPdf":"https://www.ncbi.nlm.nih.gov/pmc/articles/PMC11130094/pdf/","citationCount":"0","resultStr":null,"platform":"Semanticscholar","paperid":null,"PeriodicalName":"Ultrasound Journal","FirstCategoryId":"1085","ListUrlMain":"https://doi.org/10.1186/s13089-024-00379-0","RegionNum":0,"RegionCategory":null,"ArticlePicture":[],"TitleCN":null,"AbstractTextCN":null,"PMCID":null,"EPubDate":"","PubModel":"","JCR":"Q2","JCRName":"Medicine","Score":null,"Total":0}
引用次数: 0

Abstract

Introduction: Ultrasound measurement of the radial resistance index (RRI) in the anatomical snuffbox has been proposed as a useful method for assessing the systemic vascular resistance index (SVRI). This study aims to establish the correlation between SVRI measured by pulmonary artery catheter (PAC) and RRI.

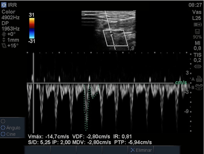
Methods: A cross-sectional study included all consecutive patients undergoing postoperative (POP) cardiac surgery with hemodynamic monitoring using PAC. Hemodynamic assessment was performed using PAC, and RRI was measured with ultrasound in the anatomical snuffbox. The Pearson correlation test was used to establish the correlation between RRI and SVRI measured using PAC. Hemodynamic behavior concerning RRI with a cutoff point of 1.1 (described to estimate under SVRI) was examined. Additionally, consistency between two evaluators was assessed for RRI using the intraclass correlation coefficient and Bland-Altman analysis.

Results: A total of 35 measurements were obtained. The average cardiac index (CI) was 2.73 ± 0.64 L/min/m², and the average SVRI was 1967.47 ± 478.33 dyn·s·m²/cm5. The correlation between RRI and SVRI measured using PAC was 0.37 [95% CI 0.045-0.62]. The average RRI was 0.94 ± 0.11. RRI measurements > 1.1 had a mean SVRI of 2120.79 ± 673.48 dyn·s·m²/cm5, while RRI measurements ≤ 1.1 had a mean SVRI of 1953.1 ± 468.17 dyn·s·m²/cm5 (p = 0.62). The consistency between evaluators showed an intraclass correlation coefficient of 0.88 [95% CI 0.78-0.93], and Bland-Altman analysis illustrated adequate agreement of RRI evaluators.

Conclusions: For patients in cardiac surgery POP, the correlation between the SVRI measured using PAC and the RRI measured in the anatomical snuffbox is low. Using the RRI as a SVRI estimator for patients is not recommended in this clinical scenario.

Abstract Image

Abstract Image

Abstract Image

桡动脉阻力指数与全身血管阻力指数之间的相关性:一项横断面研究。
简介解剖鼻烟盒桡动脉阻力指数(RRI)的超声测量被认为是评估全身血管阻力指数(SVRI)的有效方法。本研究旨在确定肺动脉导管(PAC)测量的 SVRI 与 RRI 之间的相关性:一项横断面研究纳入了所有连续接受心脏术后(POP)手术并使用 PAC 进行血液动力学监测的患者。使用 PAC 进行血液动力学评估,并在解剖鼻烟盒中使用超声波测量 RRI。采用皮尔逊相关性检验来确定使用 PAC 测量的 RRI 和 SVRI 之间的相关性。以 1.1 为临界点(用于估算 SVRI)对 RRI 的血液动力学行为进行了检查。此外,还使用类内相关系数和 Bland-Altman 分析评估了两位评估者之间 RRI 的一致性:结果:共进行了 35 次测量。平均心脏指数(CI)为 2.73 ± 0.64 L/min/m²,平均 SVRI 为 1967.47 ± 478.33 dyn-s-m²/cm5。使用 PAC 测量的 RRI 和 SVRI 之间的相关性为 0.37 [95% CI 0.045-0.62]。平均 RRI 为 0.94 ± 0.11。RRI > 1.1 的平均 SVRI 为 2120.79 ± 673.48 dyn-s-m²/cm5,而 RRI ≤ 1.1 的平均 SVRI 为 1953.1 ± 468.17 dyn-s-m²/cm5(p = 0.62)。评估者之间的一致性显示类内相关系数为 0.88 [95% CI 0.78-0.93],Bland-Altman 分析表明 RRI 评估者之间有足够的一致性:结论:对于心脏手术 POP 患者,使用 PAC 测量的 SVRI 与在解剖鼻烟盒中测量的 RRI 之间的相关性较低。在这种临床情况下,不建议使用 RRI 作为患者的 SVRI 估算值。
本文章由计算机程序翻译,如有差异,请以英文原文为准。
求助全文
约1分钟内获得全文 求助全文
来源期刊
Ultrasound Journal
Ultrasound Journal Health Professions-Radiological and Ultrasound Technology
CiteScore
6.80
自引率
2.90%
发文量
45
审稿时长
22 weeks
×
引用
GB/T 7714-2015
复制
MLA
复制
APA
复制
导出至
BibTeX EndNote RefMan NoteFirst NoteExpress
×
提示
您的信息不完整,为了账户安全,请先补充。
现在去补充
×
提示
您因"违规操作"
具体请查看互助需知
我知道了
×
提示
确定
请完成安全验证×
copy
已复制链接
快去分享给好友吧!
我知道了
右上角分享
点击右上角分享
0
联系我们:info@booksci.cn Book学术提供免费学术资源搜索服务,方便国内外学者检索中英文文献。致力于提供最便捷和优质的服务体验。 Copyright © 2023 布克学术 All rights reserved.
京ICP备2023020795号-1
ghs 京公网安备 11010802042870号
Book学术文献互助
Book学术文献互助群
群 号:604180095
Book学术官方微信