Sirtuin 3 ameliorates inflammatory bowel disease via inhibiting intestinal inflammation and oxidative stress.

IF 1.7 4区 医学 Q3 NUTRITION & DIETETICS
Journal of Clinical Biochemistry and Nutrition Pub Date : 2024-05-01 Epub Date: 2024-02-09 DOI:10.3164/jcbn.23-42
Zhen Qin, Qiang-Qiang Chu, An-Lan Ding, Chuan-Ying Li, Mao-Yan Zhang
{"title":"Sirtuin 3 ameliorates inflammatory bowel disease via inhibiting intestinal inflammation and oxidative stress.","authors":"Zhen Qin, Qiang-Qiang Chu, An-Lan Ding, Chuan-Ying Li, Mao-Yan Zhang","doi":"10.3164/jcbn.23-42","DOIUrl":null,"url":null,"abstract":"<p><p>Sirtuin 3 involved in development of various diseases, but its role in inflammatory bowel disease is still unknown. We used inflammatory bowel disease biopsies, colitis animal model, and <i>vitro</i> cells RAW264.7 to study the role of Sirtuin 3 in the pathophysiology of inflammatory bowel disease. Sirtuin 3 negatively correlated with intestinal TNF-α. Sirt3 was less pronounced in pediatric and adult inflammatory bowel disease patients compared with corresponding control group. Sirtuin 3 activator Honokiol suppressed dextran sulfate sodium induced colonic manifestations, while Sirt3 inhibitor caused opposite results. Honokiol inhibited colonic oxidative stress by and reduced intestinal permeability. Honokiol repressed inflammatory response by reducing macrophage infiltration, pro-inflammatory cytokines TNF-α, IL-1β, and IL-6 levels, and inhibiting activation of NF-κB p65 in the colitis mice. However, Sirt3 inhibitor amplified colonic oxidative stress and inflammatory response. In <i>vitro</i> study, Sirt3 inhibitor or siRNA Sirtuin 3 activated NF-κB p65 and enhanced TNF-α, IL-1β, and IL-6 secretion from LPS stimulated RAW264.7, while Honokiol remarkably attenuated these pro-inflammatory cytokines secretion. Finally, knockdown of Sirt3 in Caco-2 cells enhanced TNF-α induced intestinal barrier integrity injury. Sirtuin 3 negatively regulates inflammatory bowel disease progression via reducing colonic inflammation and oxidative stress. Sirtuin 3 is a promising therapeutic target in clinical application for inflammatory bowel disease therapy.</p>","PeriodicalId":15429,"journal":{"name":"Journal of Clinical Biochemistry and Nutrition","volume":"74 3","pages":"235-244"},"PeriodicalIF":1.7000,"publicationDate":"2024-05-01","publicationTypes":"Journal Article","fieldsOfStudy":null,"isOpenAccess":false,"openAccessPdf":"https://www.ncbi.nlm.nih.gov/pmc/articles/PMC11111467/pdf/","citationCount":"0","resultStr":null,"platform":"Semanticscholar","paperid":null,"PeriodicalName":"Journal of Clinical Biochemistry and Nutrition","FirstCategoryId":"3","ListUrlMain":"https://doi.org/10.3164/jcbn.23-42","RegionNum":4,"RegionCategory":"医学","ArticlePicture":[],"TitleCN":null,"AbstractTextCN":null,"PMCID":null,"EPubDate":"2024/2/9 0:00:00","PubModel":"Epub","JCR":"Q3","JCRName":"NUTRITION & DIETETICS","Score":null,"Total":0}
引用次数: 0

Abstract

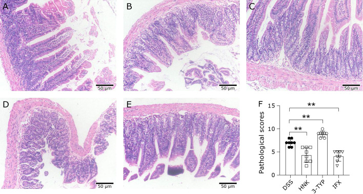
Sirtuin 3 involved in development of various diseases, but its role in inflammatory bowel disease is still unknown. We used inflammatory bowel disease biopsies, colitis animal model, and vitro cells RAW264.7 to study the role of Sirtuin 3 in the pathophysiology of inflammatory bowel disease. Sirtuin 3 negatively correlated with intestinal TNF-α. Sirt3 was less pronounced in pediatric and adult inflammatory bowel disease patients compared with corresponding control group. Sirtuin 3 activator Honokiol suppressed dextran sulfate sodium induced colonic manifestations, while Sirt3 inhibitor caused opposite results. Honokiol inhibited colonic oxidative stress by and reduced intestinal permeability. Honokiol repressed inflammatory response by reducing macrophage infiltration, pro-inflammatory cytokines TNF-α, IL-1β, and IL-6 levels, and inhibiting activation of NF-κB p65 in the colitis mice. However, Sirt3 inhibitor amplified colonic oxidative stress and inflammatory response. In vitro study, Sirt3 inhibitor or siRNA Sirtuin 3 activated NF-κB p65 and enhanced TNF-α, IL-1β, and IL-6 secretion from LPS stimulated RAW264.7, while Honokiol remarkably attenuated these pro-inflammatory cytokines secretion. Finally, knockdown of Sirt3 in Caco-2 cells enhanced TNF-α induced intestinal barrier integrity injury. Sirtuin 3 negatively regulates inflammatory bowel disease progression via reducing colonic inflammation and oxidative stress. Sirtuin 3 is a promising therapeutic target in clinical application for inflammatory bowel disease therapy.

Abstract Image

Abstract Image

Abstract Image

Sirtuin 3 可通过抑制肠道炎症和氧化应激改善炎症性肠病。
Sirtuin 3 参与了多种疾病的发生发展,但它在炎症性肠病中的作用尚不清楚。我们利用炎症性肠病活检组织、结肠炎动物模型和体外细胞 RAW264.7 研究了 Sirtuin 3 在炎症性肠病病理生理学中的作用。Sirtuin 3与肠道TNF-α呈负相关。与相应的对照组相比,Sirtuin 3在儿童和成人炎症性肠病患者中的作用不明显。Sirtuin 3激活剂Honokiol可抑制右旋糖酐硫酸钠诱导的结肠表现,而Sirt3抑制剂则产生相反的结果。Honokiol可抑制结肠氧化应激,降低肠道通透性。Honokiol通过降低巨噬细胞浸润、促炎细胞因子TNF-α、IL-1β和IL-6水平以及抑制结肠炎小鼠NF-κB p65的活化来抑制炎症反应。然而,Sirt3 抑制剂会扩大结肠氧化应激和炎症反应。在体外研究中,Sirt3 抑制剂或 siRNA Sirtuin 3 激活了 NF-κB p65,并增强了 LPS 刺激的 RAW264.7 中 TNF-α、IL-1β 和 IL-6 的分泌,而 Honokiol 则显著减少了这些促炎细胞因子的分泌。最后,在 Caco-2 细胞中敲除 Sirt3 会增强 TNF-α 诱导的肠屏障完整性损伤。Sirtuin 3 通过减少结肠炎症和氧化应激负向调节炎症性肠病的进展。Sirtuin 3 是一个很有希望应用于炎症性肠病临床治疗的治疗靶点。
本文章由计算机程序翻译,如有差异,请以英文原文为准。
求助全文
约1分钟内获得全文 求助全文
来源期刊
CiteScore
4.30
自引率
8.30%
发文量
57
审稿时长
6-12 weeks
期刊介绍: Journal of Clinical Biochemistry and Nutrition (JCBN) is an international, interdisciplinary publication encompassing chemical, biochemical, physiological, pathological, toxicological and medical approaches to research on lipid peroxidation, free radicals, oxidative stress and nutrition. The Journal welcomes original contributions dealing with all aspects of clinical biochemistry and clinical nutrition including both in vitro and in vivo studies.
文献相关原料
公司名称
产品信息
阿拉丁
3-(1H-1,2,3-triazol-4-yl) pyridine (3-TYP)
阿拉丁
Honokiol (HNK)
×
引用
GB/T 7714-2015
复制
MLA
复制
APA
复制
导出至
BibTeX EndNote RefMan NoteFirst NoteExpress
×
提示
您的信息不完整,为了账户安全,请先补充。
现在去补充
×
提示
您因"违规操作"
具体请查看互助需知
我知道了
×
提示
确定
请完成安全验证×
copy
已复制链接
快去分享给好友吧!
我知道了
右上角分享
点击右上角分享
0
联系我们:info@booksci.cn Book学术提供免费学术资源搜索服务,方便国内外学者检索中英文文献。致力于提供最便捷和优质的服务体验。 Copyright © 2023 布克学术 All rights reserved.
京ICP备2023020795号-1
ghs 京公网安备 11010802042870号
Book学术文献互助
Book学术文献互助群
群 号:604180095
Book学术官方微信