Porto-sinusoidal vascular disease: a new definition of an old clinical entity.

IF 1.7 Q3 GASTROENTEROLOGY & HEPATOLOGY
Clinical and Experimental Hepatology Pub Date : 2023-12-01 Epub Date: 2023-11-24 DOI:10.5114/ceh.2023.133107
Mislav Barisic-Jaman, Marko Milosevic, Frane Pastrovic, Anita Skrtic, Ivica Grgurevic
{"title":"Porto-sinusoidal vascular disease: a new definition of an old clinical entity.","authors":"Mislav Barisic-Jaman, Marko Milosevic, Frane Pastrovic, Anita Skrtic, Ivica Grgurevic","doi":"10.5114/ceh.2023.133107","DOIUrl":null,"url":null,"abstract":"<p><p>Porto-sinusoidal vascular disease (PSVD) is defined as a vascular liver disease characterized by the absence of cirrhosis and the presence of characteristic histological features, with or without the presence of portal hypertension (PH). Half of the patients with PSVD also have associated disease that may contribute to the development of PSVD. Patients usually remain asymptomatic until complications of PH arise. Variceal bleeding and portal vein thrombosis are major complications associated with PSVD. The treatment is focused on managing complications of PH, mainly through primary prophylaxis of variceal bleeding and treatment of portal vein thrombosis. Currently, there is insufficient evidence to support the use of anticoagulants for thrombosis prevention in these patients. Despite the increase of recognition of PSVD, further research is needed to enable early disease diagnosis, establish optimal screening methods, and develop strategies to slow down disease progression.</p>","PeriodicalId":10281,"journal":{"name":"Clinical and Experimental Hepatology","volume":"9 4","pages":"297-306"},"PeriodicalIF":1.7000,"publicationDate":"2023-12-01","publicationTypes":"Journal Article","fieldsOfStudy":null,"isOpenAccess":false,"openAccessPdf":"https://www.ncbi.nlm.nih.gov/pmc/articles/PMC11103802/pdf/","citationCount":"0","resultStr":null,"platform":"Semanticscholar","paperid":null,"PeriodicalName":"Clinical and Experimental Hepatology","FirstCategoryId":"1085","ListUrlMain":"https://doi.org/10.5114/ceh.2023.133107","RegionNum":0,"RegionCategory":null,"ArticlePicture":[],"TitleCN":null,"AbstractTextCN":null,"PMCID":null,"EPubDate":"2023/11/24 0:00:00","PubModel":"Epub","JCR":"Q3","JCRName":"GASTROENTEROLOGY & HEPATOLOGY","Score":null,"Total":0}
引用次数: 0

Abstract

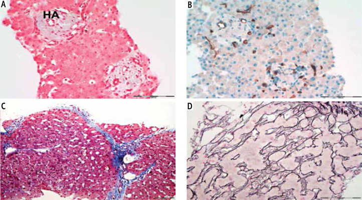
Porto-sinusoidal vascular disease (PSVD) is defined as a vascular liver disease characterized by the absence of cirrhosis and the presence of characteristic histological features, with or without the presence of portal hypertension (PH). Half of the patients with PSVD also have associated disease that may contribute to the development of PSVD. Patients usually remain asymptomatic until complications of PH arise. Variceal bleeding and portal vein thrombosis are major complications associated with PSVD. The treatment is focused on managing complications of PH, mainly through primary prophylaxis of variceal bleeding and treatment of portal vein thrombosis. Currently, there is insufficient evidence to support the use of anticoagulants for thrombosis prevention in these patients. Despite the increase of recognition of PSVD, further research is needed to enable early disease diagnosis, establish optimal screening methods, and develop strategies to slow down disease progression.

Abstract Image

Abstract Image

鼻窦港血管病:一个古老临床实体的新定义。
门-鼻窦血管病(PSVD)是一种血管性肝病,其特点是没有肝硬化,存在特征性的组织学特征,伴有或不伴有门静脉高压症(PH)。半数 PSVD 患者还伴有可能导致 PSVD 发生的相关疾病。在出现门静脉高压并发症之前,患者通常没有症状。静脉曲张出血和门静脉血栓是 PSVD 的主要并发症。治疗的重点是控制 PH 的并发症,主要是通过静脉曲张出血的一级预防和门静脉血栓的治疗。目前,还没有足够的证据支持在这些患者中使用抗凝剂来预防血栓形成。尽管对 PSVD 的认识有所提高,但仍需进一步研究,以实现疾病的早期诊断,建立最佳筛查方法,并制定减缓疾病进展的策略。
本文章由计算机程序翻译,如有差异,请以英文原文为准。
求助全文
约1分钟内获得全文 求助全文
来源期刊
Clinical and Experimental Hepatology
Clinical and Experimental Hepatology GASTROENTEROLOGY & HEPATOLOGY-
CiteScore
2.80
自引率
0.00%
发文量
32
期刊介绍: Clinical and Experimental Hepatology – quarterly of the Polish Association for Study of Liver – is a scientific and educational, peer-reviewed journal publishing original and review papers describing clinical and basic investigations in the field of hepatology.
×
引用
GB/T 7714-2015
复制
MLA
复制
APA
复制
导出至
BibTeX EndNote RefMan NoteFirst NoteExpress
×
提示
您的信息不完整,为了账户安全,请先补充。
现在去补充
×
提示
您因"违规操作"
具体请查看互助需知
我知道了
×
提示
确定
请完成安全验证×
copy
已复制链接
快去分享给好友吧!
我知道了
右上角分享
点击右上角分享
0
联系我们:info@booksci.cn Book学术提供免费学术资源搜索服务,方便国内外学者检索中英文文献。致力于提供最便捷和优质的服务体验。 Copyright © 2023 布克学术 All rights reserved.
京ICP备2023020795号-1
ghs 京公网安备 11010802042870号
Book学术文献互助
Book学术文献互助群
群 号:604180095
Book学术官方微信