First report of Hepatozoon felis infection in a domestic cat (Felis catus) in Iran.

IF 1.1 4区 农林科学 Q3 ZOOLOGY
Veterinary Research Forum Pub Date : 2024-01-01 Epub Date: 2024-04-15 DOI:10.30466/vrf.2023.2005996.3928
Bijan Esmaeilnejad, Awat Samiei, Zahra Darabizade, Mohsen Akhoondi, Romina Salavati, Bahar Ahooghalandari, Vahid Fathipour, Arash Akhavan, Armin Fakheri
{"title":"First report of <i>Hepatozoon felis</i> infection in a domestic cat (<i>Felis catus</i>) in Iran.","authors":"Bijan Esmaeilnejad, Awat Samiei, Zahra Darabizade, Mohsen Akhoondi, Romina Salavati, Bahar Ahooghalandari, Vahid Fathipour, Arash Akhavan, Armin Fakheri","doi":"10.30466/vrf.2023.2005996.3928","DOIUrl":null,"url":null,"abstract":"<p><p>A 6-year-old male domestic short-haired cat (<i>Felis catus</i>) was presented with weakness, anorexia, fever, icterus, a painful abdomen, ruffled hair and a tick infestation, and it had no prior surgery. Laboratory analysis revealed left-shifted neutrophils, thrombocytopenia, low albumin content and high serum bilirubin concentration as well as activities of hepatic enzymes including alanine aminotransferase and aspartate aminotransferase. Azotemia and increased serum levels of creatinine and urea were also recorded. In Giemsa-stained blood smear, <i>Hepatozoon</i> gamonts were observed within neutrophils. Species-specific polymerase chain reaction assay was used to amplify an approximately 590 bp fragment of <i>18S rRNA</i> gene and confirmed <i>Hepatozoon felis</i> infection. The cat was treated with imidocarb dipropionate and doxycycline and recovered completely. Six-month follow-up showed no recurrence. This study reveals the presence of <i>H. felis</i> in Iran and it should be considered in differential diagnosis in febrile and icteric cats. To the authors' knowledge, this is the first description of <i>H. felis</i> infection in a cat in Iran.</p>","PeriodicalId":23989,"journal":{"name":"Veterinary Research Forum","volume":"15 4","pages":"211-214"},"PeriodicalIF":1.1000,"publicationDate":"2024-01-01","publicationTypes":"Journal Article","fieldsOfStudy":null,"isOpenAccess":false,"openAccessPdf":"https://www.ncbi.nlm.nih.gov/pmc/articles/PMC11102797/pdf/","citationCount":"0","resultStr":null,"platform":"Semanticscholar","paperid":null,"PeriodicalName":"Veterinary Research Forum","FirstCategoryId":"97","ListUrlMain":"https://doi.org/10.30466/vrf.2023.2005996.3928","RegionNum":4,"RegionCategory":"农林科学","ArticlePicture":[],"TitleCN":null,"AbstractTextCN":null,"PMCID":null,"EPubDate":"2024/4/15 0:00:00","PubModel":"Epub","JCR":"Q3","JCRName":"ZOOLOGY","Score":null,"Total":0}
引用次数: 0

Abstract

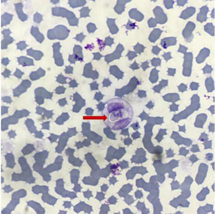
A 6-year-old male domestic short-haired cat (Felis catus) was presented with weakness, anorexia, fever, icterus, a painful abdomen, ruffled hair and a tick infestation, and it had no prior surgery. Laboratory analysis revealed left-shifted neutrophils, thrombocytopenia, low albumin content and high serum bilirubin concentration as well as activities of hepatic enzymes including alanine aminotransferase and aspartate aminotransferase. Azotemia and increased serum levels of creatinine and urea were also recorded. In Giemsa-stained blood smear, Hepatozoon gamonts were observed within neutrophils. Species-specific polymerase chain reaction assay was used to amplify an approximately 590 bp fragment of 18S rRNA gene and confirmed Hepatozoon felis infection. The cat was treated with imidocarb dipropionate and doxycycline and recovered completely. Six-month follow-up showed no recurrence. This study reveals the presence of H. felis in Iran and it should be considered in differential diagnosis in febrile and icteric cats. To the authors' knowledge, this is the first description of H. felis infection in a cat in Iran.

Abstract Image

Abstract Image

伊朗首次报告家猫(Felis catus)感染猫肝吸虫。
一只 6 岁的雄性短毛猫(Felis catus)因虚弱、厌食、发烧、黄疸、腹部疼痛、毛发蓬乱和蜱虫感染而就诊,此前未接受过手术。实验室分析显示,它的中性粒细胞左移,血小板减少,白蛋白含量低,血清胆红素浓度高,肝酶活性也很高,包括丙氨酸氨基转移酶和天门冬氨酸氨基转移酶。此外,还记录到氮质血症以及血清肌酐和尿素水平升高。在革兰氏染色的血涂片中,在中性粒细胞内观察到肝包虫。使用物种特异性聚合酶链反应法扩增了 18S rRNA 基因约 590 bp 的片段,证实了猫肝吸虫感染。该猫接受了咪多卡二丙酸盐和强力霉素治疗后完全康复。6 个月的随访显示没有复发。这项研究揭示了伊朗存在猫肝吸虫,发烧和黄疸猫的鉴别诊断中应考虑到猫肝吸虫。据作者所知,这是伊朗首次描述猫感染 H. felis。
本文章由计算机程序翻译,如有差异,请以英文原文为准。
求助全文
约1分钟内获得全文 求助全文
来源期刊
Veterinary Research Forum
Veterinary Research Forum Veterinary-General Veterinary
CiteScore
1.50
自引率
0.00%
发文量
0
审稿时长
8 weeks
期刊介绍: Veterinary Research Forum (VRF) is a quarterly international journal committed to publish worldwide contributions on all aspects of veterinary science and medicine, including anatomy and histology, physiology and pharmacology, anatomic and clinical pathology, parasitology, microbiology, immunology and epidemiology, food hygiene, poultry science, fish and aquaculture, anesthesia and surgery, large and small animal internal medicine, large and small animal reproduction, biotechnology and diagnostic imaging of domestic, companion and farm animals.
×
引用
GB/T 7714-2015
复制
MLA
复制
APA
复制
导出至
BibTeX EndNote RefMan NoteFirst NoteExpress
×
提示
您的信息不完整,为了账户安全,请先补充。
现在去补充
×
提示
您因"违规操作"
具体请查看互助需知
我知道了
×
提示
确定
请完成安全验证×
copy
已复制链接
快去分享给好友吧!
我知道了
右上角分享
点击右上角分享
0
联系我们:info@booksci.cn Book学术提供免费学术资源搜索服务,方便国内外学者检索中英文文献。致力于提供最便捷和优质的服务体验。 Copyright © 2023 布克学术 All rights reserved.
京ICP备2023020795号-1
ghs 京公网安备 11010802042870号
Book学术文献互助
Book学术文献互助群
群 号:604180095
Book学术官方微信