Spontaneous Coronary Artery Dissection Associated with Pulmonary Hemorrhage: A Case Report.

IF 1.5 Q2 MEDICINE, GENERAL & INTERNAL
Rudaynah A Alali
{"title":"Spontaneous Coronary Artery Dissection Associated with Pulmonary Hemorrhage: A Case Report.","authors":"Rudaynah A Alali","doi":"10.4103/sjmms.sjmms_471_23","DOIUrl":null,"url":null,"abstract":"<p><p>Spontaneous coronary artery dissection is becoming an important cause of acute coronary syndrome, particularly among young women. Its association with female gender, pregnancy, and postpartum period and emotional stress differentiate it from atherosclerotic heart disease. In recent years, there has been more awareness and improved diagnostic and management capabilities, which in turn has increased the diagnostic yield, although knowledge gaps remain. In the present case, a 36-year-old female, who was at 1-month postpartum period, presented with ventricular fibrillation and cardiac arrest. The clinical course was associated with pulmonary hemorrhage. The patient had no current atherosclerotic risk factors, only a family history of sudden cardiac arrest in her mother and sister. She underwent a coronary angiogram, which revealed spontaneous coronary artery dissection (SCAD) in both the left anterior descending and left circumflex artery. Percutaneous coronary intervention was performed but the clinical course was associated with pulmonary hemorrhage. Bronchopulmonary lavage was performed as a diagnostic and therapeutic intervention, and she was discharged in good health. SCAD is an important differential diagnosis in young females presenting with acute coronary syndrome or cardiac arrest. Early recognition and diagnosis are important to decrease the high mortality rate of this disease.</p>","PeriodicalId":21442,"journal":{"name":"Saudi Journal of Medicine & Medical Sciences","volume":"12 2","pages":"194-197"},"PeriodicalIF":1.5000,"publicationDate":"2024-04-01","publicationTypes":"Journal Article","fieldsOfStudy":null,"isOpenAccess":false,"openAccessPdf":"https://www.ncbi.nlm.nih.gov/pmc/articles/PMC11098270/pdf/","citationCount":"0","resultStr":null,"platform":"Semanticscholar","paperid":null,"PeriodicalName":"Saudi Journal of Medicine & Medical Sciences","FirstCategoryId":"1085","ListUrlMain":"https://doi.org/10.4103/sjmms.sjmms_471_23","RegionNum":0,"RegionCategory":null,"ArticlePicture":[],"TitleCN":null,"AbstractTextCN":null,"PMCID":null,"EPubDate":"2024/4/5 0:00:00","PubModel":"Epub","JCR":"Q2","JCRName":"MEDICINE, GENERAL & INTERNAL","Score":null,"Total":0}
引用次数: 0

Abstract

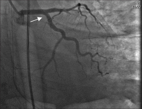
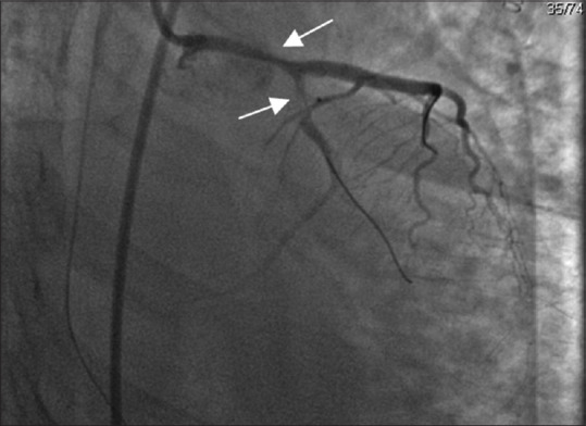
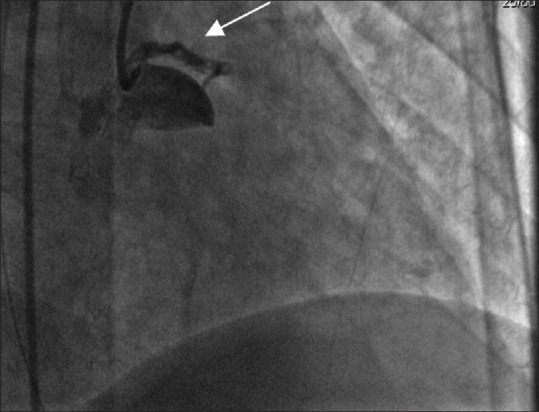
Spontaneous coronary artery dissection is becoming an important cause of acute coronary syndrome, particularly among young women. Its association with female gender, pregnancy, and postpartum period and emotional stress differentiate it from atherosclerotic heart disease. In recent years, there has been more awareness and improved diagnostic and management capabilities, which in turn has increased the diagnostic yield, although knowledge gaps remain. In the present case, a 36-year-old female, who was at 1-month postpartum period, presented with ventricular fibrillation and cardiac arrest. The clinical course was associated with pulmonary hemorrhage. The patient had no current atherosclerotic risk factors, only a family history of sudden cardiac arrest in her mother and sister. She underwent a coronary angiogram, which revealed spontaneous coronary artery dissection (SCAD) in both the left anterior descending and left circumflex artery. Percutaneous coronary intervention was performed but the clinical course was associated with pulmonary hemorrhage. Bronchopulmonary lavage was performed as a diagnostic and therapeutic intervention, and she was discharged in good health. SCAD is an important differential diagnosis in young females presenting with acute coronary syndrome or cardiac arrest. Early recognition and diagnosis are important to decrease the high mortality rate of this disease.

Abstract Image

Abstract Image

Abstract Image

自发性冠状动脉夹层伴肺出血:病例报告。
自发性冠状动脉夹层正成为急性冠状动脉综合征的一个重要病因,尤其是在年轻女性中。自发性冠状动脉夹层与女性性别、妊娠、产后和情绪压力有关,有别于动脉粥样硬化性心脏病。近年来,人们对这种疾病有了更多的认识,诊断和处理能力也得到了提高,这反过来又增加了诊断率,但仍然存在知识差距。在本病例中,一名 36 岁女性在产后 1 个月出现心室颤动和心跳骤停。临床过程与肺出血有关。患者目前没有动脉粥样硬化的危险因素,只有母亲和姐姐有心脏骤停的家族史。她接受了冠状动脉造影检查,结果显示左前降支和左侧环状动脉均有自发性冠状动脉夹层(SCAD)。患者接受了经皮冠状动脉介入治疗,但临床过程中出现了肺出血。作为诊断和治疗措施,她接受了支气管肺灌洗,出院时健康状况良好。SCAD 是年轻女性急性冠状动脉综合征或心脏骤停患者的重要鉴别诊断。早期识别和诊断对于降低该病的高死亡率非常重要。
本文章由计算机程序翻译,如有差异,请以英文原文为准。
求助全文
约1分钟内获得全文 求助全文
来源期刊
Saudi Journal of Medicine & Medical Sciences
Saudi Journal of Medicine & Medical Sciences MEDICINE, GENERAL & INTERNAL-
CiteScore
1.40
自引率
0.00%
发文量
52
审稿时长
15 weeks
期刊介绍: Saudi Journal of Medicine & Medical Sciences (SJMMS) is the official scientific journal of Imam Abdulrahman Bin Faisal University. It is an international peer-reviewed, general medical journal. The scope of the Journal is to publish research that will be of interest to health specialties both in academic and clinical practice. The Journal aims at disseminating high-powered research results with the objective of turning research into knowledge. It seeks to promote scholarly publishing in medicine and medical sciences. The Journal is published in print and online. The target readers of the Journal include all medical and health professionals in the health cluster such as in medicine, dentistry, nursing, applied medical sciences, clinical pharmacology, public health, etc.
×
引用
GB/T 7714-2015
复制
MLA
复制
APA
复制
导出至
BibTeX EndNote RefMan NoteFirst NoteExpress
×
提示
您的信息不完整,为了账户安全,请先补充。
现在去补充
×
提示
您因"违规操作"
具体请查看互助需知
我知道了
×
提示
确定
请完成安全验证×
copy
已复制链接
快去分享给好友吧!
我知道了
右上角分享
点击右上角分享
0
联系我们:info@booksci.cn Book学术提供免费学术资源搜索服务,方便国内外学者检索中英文文献。致力于提供最便捷和优质的服务体验。 Copyright © 2023 布克学术 All rights reserved.
京ICP备2023020795号-1
ghs 京公网安备 11010802042870号
Book学术文献互助
Book学术文献互助群
群 号:604180095
Book学术官方微信