Decreasing Albumin mRNA Expression in Cholangiocarcinomas along the Bile Duct Tree.

IF 2 4区 医学 Q3 CELL BIOLOGY
Pathobiology Pub Date : 2024-01-01 Epub Date: 2024-05-19 DOI:10.1159/000538706
Elisa Albertini, Stefano Chillotti, Giada Monti, Deborah Malvi, Marzia Deserti, Alessio Degiovanni, Andrea Palloni, Simona Tavolari, Giovanni Brandi, Antonia D'Errico, Francesco Vasuri
{"title":"Decreasing Albumin mRNA Expression in Cholangiocarcinomas along the Bile Duct Tree.","authors":"Elisa Albertini, Stefano Chillotti, Giada Monti, Deborah Malvi, Marzia Deserti, Alessio Degiovanni, Andrea Palloni, Simona Tavolari, Giovanni Brandi, Antonia D'Errico, Francesco Vasuri","doi":"10.1159/000538706","DOIUrl":null,"url":null,"abstract":"<p><strong>Introduction: </strong>The progressive technologies in albumin in situ hybridization (ISH) changed the routine application and the differential diagnosis of hepatic malignancies in the last years. The aim of the present work was to assess the diagnostic utility of albumin ISH on different cholangiocarcinoma (CCA) subtypes, as well as to assess how albumin production changes along the biliary tree.</p><p><strong>Methods: </strong>Forty-five CCAs were retrospectively selected: 29 intrahepatic (15 small-duct and 14 large-duct subtypes), 7 perihilar, and 9 extrahepatic. Histology was revised in all cases, and albumin ISH was automatically performed by the RNAscope®.</p><p><strong>Results: </strong>ISH was always negative in extrahepatic CCAs, only 1 perihilar case was positive, and any positivity was observed in 25/29 (86.2%) intrahepatic CCAs (p &lt; 0.001). Concerning CCA subtypes, mean cell positivity was 38.8 ± 29.8% in small-duct CCAs and 11.4 ± 21.9 in large-duct CCAs, respectively (p = 0.003); 12/15 (80.0%) small-duct and 3/14 (21.4%) large-duct CCAs showed &gt;5% positive cells (p = 0.002; odds ratio 14.7).</p><p><strong>Conclusions: </strong>The introduction of more sensitive techniques changed the indications for ISH since most small-duct intrahepatic CCAs show diffuse positivity. Albumin positivity decreases from liver periphery to the large ducts, suggesting that ISH can be helpful in the differential diagnosis between small-duct and large-duct CCAs, as well as between intrahepatic large-duct CCAs and metastases.</p>","PeriodicalId":19805,"journal":{"name":"Pathobiology","volume":" ","pages":"338-344"},"PeriodicalIF":2.0000,"publicationDate":"2024-01-01","publicationTypes":"Journal Article","fieldsOfStudy":null,"isOpenAccess":false,"openAccessPdf":"https://www.ncbi.nlm.nih.gov/pmc/articles/PMC11449184/pdf/","citationCount":"0","resultStr":null,"platform":"Semanticscholar","paperid":null,"PeriodicalName":"Pathobiology","FirstCategoryId":"3","ListUrlMain":"https://doi.org/10.1159/000538706","RegionNum":4,"RegionCategory":"医学","ArticlePicture":[],"TitleCN":null,"AbstractTextCN":null,"PMCID":null,"EPubDate":"2024/5/19 0:00:00","PubModel":"Epub","JCR":"Q3","JCRName":"CELL BIOLOGY","Score":null,"Total":0}
引用次数: 0

Abstract

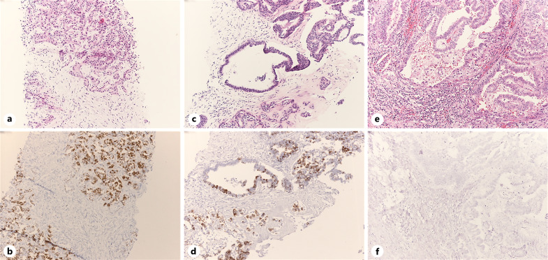
Introduction: The progressive technologies in albumin in situ hybridization (ISH) changed the routine application and the differential diagnosis of hepatic malignancies in the last years. The aim of the present work was to assess the diagnostic utility of albumin ISH on different cholangiocarcinoma (CCA) subtypes, as well as to assess how albumin production changes along the biliary tree.

Methods: Forty-five CCAs were retrospectively selected: 29 intrahepatic (15 small-duct and 14 large-duct subtypes), 7 perihilar, and 9 extrahepatic. Histology was revised in all cases, and albumin ISH was automatically performed by the RNAscope®.

Results: ISH was always negative in extrahepatic CCAs, only 1 perihilar case was positive, and any positivity was observed in 25/29 (86.2%) intrahepatic CCAs (p < 0.001). Concerning CCA subtypes, mean cell positivity was 38.8 ± 29.8% in small-duct CCAs and 11.4 ± 21.9 in large-duct CCAs, respectively (p = 0.003); 12/15 (80.0%) small-duct and 3/14 (21.4%) large-duct CCAs showed >5% positive cells (p = 0.002; odds ratio 14.7).

Conclusions: The introduction of more sensitive techniques changed the indications for ISH since most small-duct intrahepatic CCAs show diffuse positivity. Albumin positivity decreases from liver periphery to the large ducts, suggesting that ISH can be helpful in the differential diagnosis between small-duct and large-duct CCAs, as well as between intrahepatic large-duct CCAs and metastases.

Abstract Image

Abstract Image

Abstract Image

降低藻胆蛋白 mRNA 在胆囊导管中的表达。
简介近年来,白蛋白原位杂交(ISH)技术的进步改变了肝脏恶性肿瘤的常规应用和鉴别诊断。本研究旨在评估白蛋白原位杂交对不同胆管癌(CCA)亚型的诊断效用,并评估白蛋白生成在胆道树上的变化情况:回顾性筛选出 45 例 CCA:29 例肝内(15 例小导管亚型和 14 例大导管亚型)、7 例肝周和 9 例肝外。所有病例都进行了组织学检查,并由 RNAscope® 自动进行白蛋白 ISH:结果:肝外CCA的白蛋白ISH始终为阴性,只有1例肝周阳性,25/29(86.2%)例肝内CCA观察到阳性细胞(p5%阳性细胞,p=0.002;奇异比率14.7):结论:灵敏度更高的技术的引入改变了ISH的适应症,因为大多数小导管肝内CCA呈现弥漫性阳性。白蛋白阳性率从肝周边到大导管逐渐降低,这表明 ISH 可以帮助鉴别诊断小导管和大导管 CCA,以及肝内大导管 CCA 和转移瘤。
本文章由计算机程序翻译,如有差异,请以英文原文为准。
求助全文
约1分钟内获得全文 求助全文
来源期刊
Pathobiology
Pathobiology 医学-病理学
CiteScore
8.50
自引率
0.00%
发文量
47
审稿时长
>12 weeks
期刊介绍: ''Pathobiology'' offers a valuable platform for the publication of high-quality original research into the mechanisms underlying human disease. Aiming to serve as a bridge between basic biomedical research and clinical medicine, the journal welcomes articles from scientific areas such as pathology, oncology, anatomy, virology, internal medicine, surgery, cell and molecular biology, and immunology. Published bimonthly, ''Pathobiology'' features original research papers and reviews on translational research. The journal offers the possibility to publish proceedings of meetings dedicated to one particular topic.
×
引用
GB/T 7714-2015
复制
MLA
复制
APA
复制
导出至
BibTeX EndNote RefMan NoteFirst NoteExpress
×
提示
您的信息不完整,为了账户安全,请先补充。
现在去补充
×
提示
您因"违规操作"
具体请查看互助需知
我知道了
×
提示
确定
请完成安全验证×
copy
已复制链接
快去分享给好友吧!
我知道了
右上角分享
点击右上角分享
0
联系我们:info@booksci.cn Book学术提供免费学术资源搜索服务,方便国内外学者检索中英文文献。致力于提供最便捷和优质的服务体验。 Copyright © 2023 布克学术 All rights reserved.
京ICP备2023020795号-1
ghs 京公网安备 11010802042870号
Book学术文献互助
Book学术文献互助群
群 号:604180095
Book学术官方微信