Pediatric Eosinophilic Granuloma Associated With Delayed Epidural Hematoma Following on Seizure: A Case Report.

Hyun Jeong Cho, Sung Chan Park, Jong Min Lee, Na Young Jung, Jun Bum Park
{"title":"Pediatric Eosinophilic Granuloma Associated With Delayed Epidural Hematoma Following on Seizure: A Case Report.","authors":"Hyun Jeong Cho, Sung Chan Park, Jong Min Lee, Na Young Jung, Jun Bum Park","doi":"10.14791/btrt.2024.0018","DOIUrl":null,"url":null,"abstract":"<p><p>Eosinophilic granuloma (EG), a subtype of Langerhans cell histiocytosis (LCH), the monostotic form, is a rare condition characterized by a solitary bone lesion. It is even more unusual for this condition to be accompanied by an epidural hematoma (EDH). This case is unique in that it is the first to involve delayed EDH following a seizure. We describe a remarkable example of EG accompanied by an EDH and consider the rarity of this comorbidity. A 32-month-old boy developed a rapidly growing skull mass following a minor head injury. During surgical preparation for a biopsy, the patient experienced a single convulsion. Imaging following the seizure revealed an EDH in the vicinity of the mass. The mass was excised and confirmed to be an EG, but with positive margins. The patient underwent chemotherapy after systemic skeletal evaluation, in accordance with the LCH III protocol established by the Histiocytosis Society. EG is a rare neoplasm that typically presents as a painless growth on the skull that gradually enlarges over time. The correlation between EG and EDH is exceedingly uncommon, with only a few documented cases. This case study underscores the significance of considering EG in the differential diagnosis of an expanding cranium mass, even when associated with EDH. Prompt diagnosis and treatment can prevent serious complications and improve patient outcomes.</p>","PeriodicalId":72453,"journal":{"name":"Brain tumor research and treatment","volume":"12 2","pages":"148-151"},"PeriodicalIF":0.0000,"publicationDate":"2024-04-01","publicationTypes":"Journal Article","fieldsOfStudy":null,"isOpenAccess":false,"openAccessPdf":"https://www.ncbi.nlm.nih.gov/pmc/articles/PMC11096632/pdf/","citationCount":"0","resultStr":null,"platform":"Semanticscholar","paperid":null,"PeriodicalName":"Brain tumor research and treatment","FirstCategoryId":"1085","ListUrlMain":"https://doi.org/10.14791/btrt.2024.0018","RegionNum":0,"RegionCategory":null,"ArticlePicture":[],"TitleCN":null,"AbstractTextCN":null,"PMCID":null,"EPubDate":"","PubModel":"","JCR":"","JCRName":"","Score":null,"Total":0}
引用次数: 0

Abstract

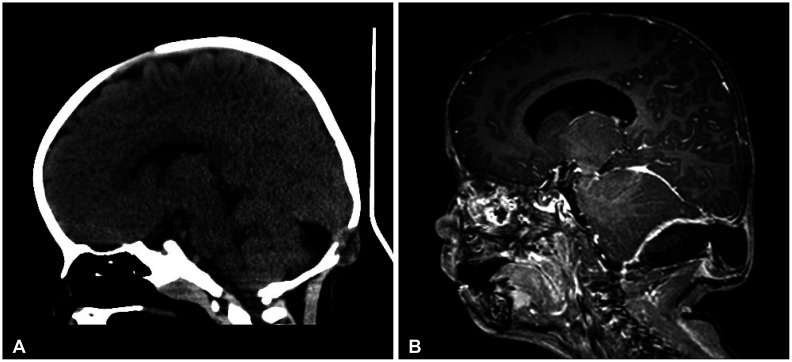
Eosinophilic granuloma (EG), a subtype of Langerhans cell histiocytosis (LCH), the monostotic form, is a rare condition characterized by a solitary bone lesion. It is even more unusual for this condition to be accompanied by an epidural hematoma (EDH). This case is unique in that it is the first to involve delayed EDH following a seizure. We describe a remarkable example of EG accompanied by an EDH and consider the rarity of this comorbidity. A 32-month-old boy developed a rapidly growing skull mass following a minor head injury. During surgical preparation for a biopsy, the patient experienced a single convulsion. Imaging following the seizure revealed an EDH in the vicinity of the mass. The mass was excised and confirmed to be an EG, but with positive margins. The patient underwent chemotherapy after systemic skeletal evaluation, in accordance with the LCH III protocol established by the Histiocytosis Society. EG is a rare neoplasm that typically presents as a painless growth on the skull that gradually enlarges over time. The correlation between EG and EDH is exceedingly uncommon, with only a few documented cases. This case study underscores the significance of considering EG in the differential diagnosis of an expanding cranium mass, even when associated with EDH. Prompt diagnosis and treatment can prevent serious complications and improve patient outcomes.

Abstract Image

Abstract Image

Abstract Image

小儿嗜酸性粒细胞肉芽肿与癫痫发作后迟发性硬膜外血肿相关:病例报告。
嗜酸性粒细胞肉芽肿(EG)是朗格汉斯细胞组织细胞增生症(LCH)的一种亚型,即单发型,是一种以单发性骨病变为特征的罕见疾病。更罕见的是,这种病还伴有硬膜外血肿(EDH)。本病例的独特之处在于,它是第一个在癫痫发作后出现延迟性硬膜外血肿的病例。我们描述了一个 EG 伴有 EDH 的特殊病例,并探讨了这种并发症的罕见性。一名 32 个月大的男孩在头部轻微受伤后出现了迅速增大的颅骨肿块。在准备活检的手术过程中,患者出现了一次抽搐。抽搐后的影像学检查发现肿块附近有EDH。肿块切除后证实为 EG,但边缘呈阳性。根据组织细胞增生症协会制定的 LCH III 方案,患者在接受全身骨骼评估后接受了化疗。EG 是一种罕见的肿瘤,通常表现为颅骨上的无痛性生长,随着时间的推移逐渐增大。EG 与 EDH 之间的相关性极为罕见,仅有少数病例记录在案。本病例研究强调了在鉴别诊断颅骨肿块增大时考虑 EG 的重要性,即使它与 EDH 相关。及时诊断和治疗可以预防严重并发症,改善患者预后。
本文章由计算机程序翻译,如有差异,请以英文原文为准。
求助全文
约1分钟内获得全文 求助全文
来源期刊
自引率
0.00%
发文量
0
×
引用
GB/T 7714-2015
复制
MLA
复制
APA
复制
导出至
BibTeX EndNote RefMan NoteFirst NoteExpress
×
提示
您的信息不完整,为了账户安全,请先补充。
现在去补充
×
提示
您因"违规操作"
具体请查看互助需知
我知道了
×
提示
确定
请完成安全验证×
copy
已复制链接
快去分享给好友吧!
我知道了
右上角分享
点击右上角分享
0
联系我们:info@booksci.cn Book学术提供免费学术资源搜索服务,方便国内外学者检索中英文文献。致力于提供最便捷和优质的服务体验。 Copyright © 2023 布克学术 All rights reserved.
京ICP备2023020795号-1
ghs 京公网安备 11010802042870号
Book学术文献互助
Book学术文献互助群
群 号:604180095
Book学术官方微信