Endoscopic Third Ventriculostomy for the Management of Obstructive Hydrocephalus in Pregnancy: A Case Report and Review of the Literature.

IF 0.7 Q4 CLINICAL NEUROLOGY
Journal of Neurological Surgery Reports Pub Date : 2024-05-13 eCollection Date: 2024-04-01 DOI:10.1055/s-0044-1786822
Alejandro Durán-Ojeda, Santiago Campos-Fajardo, Silvia Suárez-Monsalve, Carlos Alberto Lindado-Pacheco, Jaime Eduardo Becerra-Ospina
{"title":"Endoscopic Third Ventriculostomy for the Management of Obstructive Hydrocephalus in Pregnancy: A Case Report and Review of the Literature.","authors":"Alejandro Durán-Ojeda, Santiago Campos-Fajardo, Silvia Suárez-Monsalve, Carlos Alberto Lindado-Pacheco, Jaime Eduardo Becerra-Ospina","doi":"10.1055/s-0044-1786822","DOIUrl":null,"url":null,"abstract":"<p><p><b>Introduction</b>  Hydrocephalus is a condition characterized by the abnormal accumulation of cerebrospinal fluid within the brain's ventricular system. It can stem from obstructive and nonobstructive causes. Pregnancy introduces physiopathological changes that may heighten the risk of developing or worsening symptomatic hydrocephalus. Nevertheless, comprehensive reports on this aspect, especially regarding surgical interventions, remain scarce. <b>Case Report</b>  A young woman with a history of recurrent headaches experienced a worsening of her symptoms at the onset of her pregnancy. A magnetic resonance imaging (MRI) in the first trimester revealed increased ventricular dilation, indicating an obstructive cause due to aqueduct stenosis. During a neurosurgical board meeting, treatment options were discussed, considering the identifiable obstruction, the heightened intra-abdominal pressure associated with pregnancy, and the risk of ventricular shunt dysfunction. The patient underwent an endoscopic third ventriculostomy (ETV) without complications, leading to both symptom relief and a successful conclusion to the pregnancy. <b>Discussion</b>  Neurosurgical procedures in pregnant women are uncommon due to the increased risks to both the mother and the fetus. However, when performed by a qualified multidisciplinary team, they can lead to positive outcomes. In cases of hydrocephalus during pregnancy, ETV appears to be a viable alternative for surgical intervention, particularly when hydrocephalus becomes symptomatic and an obstructive cause is identified, whether in patients with existing shunts or those with newly developed hydrocephalus.</p>","PeriodicalId":44256,"journal":{"name":"Journal of Neurological Surgery Reports","volume":"85 2","pages":"e59-e65"},"PeriodicalIF":0.7000,"publicationDate":"2024-05-13","publicationTypes":"Journal Article","fieldsOfStudy":null,"isOpenAccess":false,"openAccessPdf":"https://www.ncbi.nlm.nih.gov/pmc/articles/PMC11090683/pdf/","citationCount":"0","resultStr":null,"platform":"Semanticscholar","paperid":null,"PeriodicalName":"Journal of Neurological Surgery Reports","FirstCategoryId":"1085","ListUrlMain":"https://doi.org/10.1055/s-0044-1786822","RegionNum":0,"RegionCategory":null,"ArticlePicture":[],"TitleCN":null,"AbstractTextCN":null,"PMCID":null,"EPubDate":"2024/4/1 0:00:00","PubModel":"eCollection","JCR":"Q4","JCRName":"CLINICAL NEUROLOGY","Score":null,"Total":0}
引用次数: 0

Abstract

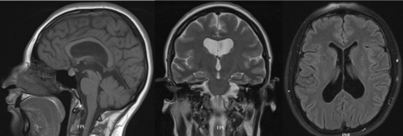
Introduction  Hydrocephalus is a condition characterized by the abnormal accumulation of cerebrospinal fluid within the brain's ventricular system. It can stem from obstructive and nonobstructive causes. Pregnancy introduces physiopathological changes that may heighten the risk of developing or worsening symptomatic hydrocephalus. Nevertheless, comprehensive reports on this aspect, especially regarding surgical interventions, remain scarce. Case Report  A young woman with a history of recurrent headaches experienced a worsening of her symptoms at the onset of her pregnancy. A magnetic resonance imaging (MRI) in the first trimester revealed increased ventricular dilation, indicating an obstructive cause due to aqueduct stenosis. During a neurosurgical board meeting, treatment options were discussed, considering the identifiable obstruction, the heightened intra-abdominal pressure associated with pregnancy, and the risk of ventricular shunt dysfunction. The patient underwent an endoscopic third ventriculostomy (ETV) without complications, leading to both symptom relief and a successful conclusion to the pregnancy. Discussion  Neurosurgical procedures in pregnant women are uncommon due to the increased risks to both the mother and the fetus. However, when performed by a qualified multidisciplinary team, they can lead to positive outcomes. In cases of hydrocephalus during pregnancy, ETV appears to be a viable alternative for surgical intervention, particularly when hydrocephalus becomes symptomatic and an obstructive cause is identified, whether in patients with existing shunts or those with newly developed hydrocephalus.

Abstract Image

Abstract Image

Abstract Image

内镜下第三脑室造口术治疗妊娠期梗阻性脑积水:病例报告和文献综述。
导言脑积水是一种以脑脊液在脑室系统内异常积聚为特征的疾病。脑积水可由梗阻性和非梗阻性原因引起。妊娠引起的生理病理变化可能会增加发生或加重症状性脑积水的风险。然而,有关这方面的综合报告,尤其是有关手术干预的报告仍然很少。病例报告 一位有反复头痛病史的年轻女性在怀孕初期症状加重。妊娠头三个月的磁共振成像(MRI)显示心室扩张加剧,表明是导水管狭窄导致的阻塞性病因。在一次神经外科委员会会议上,考虑到可识别的阻塞、与妊娠相关的腹内压增高以及心室分流功能障碍的风险,与会者讨论了治疗方案。患者在无并发症的情况下接受了内镜下第三脑室造口术(ETV),从而缓解了症状并成功结束了妊娠。讨论 孕妇接受神经外科手术并不常见,因为这对母亲和胎儿的风险都会增加。但是,如果由合格的多学科团队进行手术,则可以取得积极的效果。在妊娠期脑积水的病例中,ETV 似乎是手术干预的一个可行替代方案,尤其是当脑积水出现症状并确定阻塞原因时,无论是已有分流术的患者还是新出现脑积水的患者。
本文章由计算机程序翻译,如有差异,请以英文原文为准。
求助全文
约1分钟内获得全文 求助全文
来源期刊
自引率
0.00%
发文量
31
审稿时长
12 weeks
×
引用
GB/T 7714-2015
复制
MLA
复制
APA
复制
导出至
BibTeX EndNote RefMan NoteFirst NoteExpress
×
提示
您的信息不完整,为了账户安全,请先补充。
现在去补充
×
提示
您因"违规操作"
具体请查看互助需知
我知道了
×
提示
确定
请完成安全验证×
copy
已复制链接
快去分享给好友吧!
我知道了
右上角分享
点击右上角分享
0
联系我们:info@booksci.cn Book学术提供免费学术资源搜索服务,方便国内外学者检索中英文文献。致力于提供最便捷和优质的服务体验。 Copyright © 2023 布克学术 All rights reserved.
京ICP备2023020795号-1
ghs 京公网安备 11010802042870号
Book学术文献互助
Book学术文献互助群
群 号:604180095
Book学术官方微信