Atlantooccipital assimilation associated with combined atlas arch defect: a radiological case report.

IF 1.2 Q3 ANATOMY & MORPHOLOGY
Anatomy & Cell Biology Pub Date : 2024-09-30 Epub Date: 2024-05-13 DOI:10.5115/acb.23.281
Athikhun Suwannakhan, Pannawat Trerattanavong, Laphatrada Yurasakpong, Woranan Kirisattayakul, Nutmethee Kruepunga, Kiarttiyot Tuntiseranee, Kanitin Rumpansuwon, Thanyaporn Senarai
{"title":"Atlantooccipital assimilation associated with combined atlas arch defect: a radiological case report.","authors":"Athikhun Suwannakhan, Pannawat Trerattanavong, Laphatrada Yurasakpong, Woranan Kirisattayakul, Nutmethee Kruepunga, Kiarttiyot Tuntiseranee, Kanitin Rumpansuwon, Thanyaporn Senarai","doi":"10.5115/acb.23.281","DOIUrl":null,"url":null,"abstract":"<p><p>In this report, atlantooccipital assimilation (AS), anterior arch defect (AAD), and posterior arch defect (PAD) of the atlas, and several variations around the craniocervical junction were identified on computed tomography (CT) of a patient of unknown sex and age. Coronal and sagittal CT scans showed AS and bilateral fusion of the atlas and the base of occipital bone. Axial CT scan at the atlas revealed PAD type B on the left side and midline AAD. Morphometric measurements indicated a potential ventral spinal cord compression. In addition, mid-sagittal CT revealed the presence of fossa navicularis magna and incomplete formation of the transverse foramen on the right side. This study reports an extremely rare AS associated with AAD, PAD, and other variations of the clivus and the atlas. To our knowledge, no similar case has been reported in the literature.</p>","PeriodicalId":7831,"journal":{"name":"Anatomy & Cell Biology","volume":" ","pages":"468-472"},"PeriodicalIF":1.2000,"publicationDate":"2024-09-30","publicationTypes":"Journal Article","fieldsOfStudy":null,"isOpenAccess":false,"openAccessPdf":"https://www.ncbi.nlm.nih.gov/pmc/articles/PMC11424559/pdf/","citationCount":"0","resultStr":null,"platform":"Semanticscholar","paperid":null,"PeriodicalName":"Anatomy & Cell Biology","FirstCategoryId":"1085","ListUrlMain":"https://doi.org/10.5115/acb.23.281","RegionNum":0,"RegionCategory":null,"ArticlePicture":[],"TitleCN":null,"AbstractTextCN":null,"PMCID":null,"EPubDate":"2024/5/13 0:00:00","PubModel":"Epub","JCR":"Q3","JCRName":"ANATOMY & MORPHOLOGY","Score":null,"Total":0}
引用次数: 0

Abstract

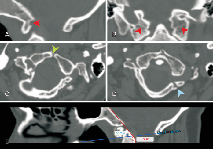
In this report, atlantooccipital assimilation (AS), anterior arch defect (AAD), and posterior arch defect (PAD) of the atlas, and several variations around the craniocervical junction were identified on computed tomography (CT) of a patient of unknown sex and age. Coronal and sagittal CT scans showed AS and bilateral fusion of the atlas and the base of occipital bone. Axial CT scan at the atlas revealed PAD type B on the left side and midline AAD. Morphometric measurements indicated a potential ventral spinal cord compression. In addition, mid-sagittal CT revealed the presence of fossa navicularis magna and incomplete formation of the transverse foramen on the right side. This study reports an extremely rare AS associated with AAD, PAD, and other variations of the clivus and the atlas. To our knowledge, no similar case has been reported in the literature.

Abstract Image

Abstract Image

伴有合并寰椎弓缺损的寰枕同位:一例放射学病例报告。
在本报告中,一名性别和年龄不详的患者通过计算机断层扫描(CT)发现了寰枕同化(AS)、寰枕前弓缺损(AAD)、寰枕后弓缺损(PAD)以及颅颈交界处的一些变异。冠状和矢状CT扫描显示寰椎和枕骨基部有强直性脊柱炎和双侧融合。寰椎的轴向 CT 扫描显示左侧为 PAD B 型,中线为 AAD。形态测量显示脊髓腹侧可能受到压迫。此外,中矢状面 CT 显示右侧存在舟状窝和横突孔未完全形成。本研究报告了一例极其罕见的伴有AAD、PAD以及其他颅楔和寰椎变异的强直性脊柱炎。据我们所知,文献中还没有类似病例的报道。
本文章由计算机程序翻译,如有差异,请以英文原文为准。
求助全文
约1分钟内获得全文 求助全文
来源期刊
Anatomy & Cell Biology
Anatomy & Cell Biology ANATOMY & MORPHOLOGY-
CiteScore
1.80
自引率
9.10%
发文量
75
×
引用
GB/T 7714-2015
复制
MLA
复制
APA
复制
导出至
BibTeX EndNote RefMan NoteFirst NoteExpress
×
提示
您的信息不完整,为了账户安全,请先补充。
现在去补充
×
提示
您因"违规操作"
具体请查看互助需知
我知道了
×
提示
确定
请完成安全验证×
copy
已复制链接
快去分享给好友吧!
我知道了
右上角分享
点击右上角分享
0
联系我们:info@booksci.cn Book学术提供免费学术资源搜索服务,方便国内外学者检索中英文文献。致力于提供最便捷和优质的服务体验。 Copyright © 2023 布克学术 All rights reserved.
京ICP备2023020795号-1
ghs 京公网安备 11010802042870号
Book学术文献互助
Book学术文献互助群
群 号:604180095
Book学术官方微信