Acute Transient Contrast-Induced Neurologic Deficit as a Complication of Percutaneous Coronary Intervention.

IF 0.9 4区 医学
Nelson Barrera, Katerina Jou, Francisco J Gallegos-Koyner, Salomon Chamay, Mario J Garcia, Roberto Cerrud-Rodriguez
{"title":"Acute Transient Contrast-Induced Neurologic Deficit as a Complication of Percutaneous Coronary Intervention.","authors":"Nelson Barrera, Katerina Jou, Francisco J Gallegos-Koyner, Salomon Chamay, Mario J Garcia, Roberto Cerrud-Rodriguez","doi":"10.14503/THIJ-23-8353","DOIUrl":null,"url":null,"abstract":"<p><p>Acute transient contrast-induced neurologic deficit is an uncommon condition triggered by the administration of intra-arterial contrast during angiography. It can present with encephalopathy, cortical blindness, seizures, or focal deficits. This report describes a patient who presented with severe neurologic deficits after percutaneous coronary intervention, with complete symptom resolution within 72 hours.</p>","PeriodicalId":48680,"journal":{"name":"Texas Heart Institute Journal","volume":"51 1","pages":""},"PeriodicalIF":0.9000,"publicationDate":"2024-05-08","publicationTypes":"Journal Article","fieldsOfStudy":null,"isOpenAccess":false,"openAccessPdf":"https://www.ncbi.nlm.nih.gov/pmc/articles/PMC11076990/pdf/","citationCount":"0","resultStr":null,"platform":"Semanticscholar","paperid":null,"PeriodicalName":"Texas Heart Institute Journal","FirstCategoryId":"3","ListUrlMain":"https://doi.org/10.14503/THIJ-23-8353","RegionNum":4,"RegionCategory":"医学","ArticlePicture":[],"TitleCN":null,"AbstractTextCN":null,"PMCID":null,"EPubDate":"","PubModel":"","JCR":"","JCRName":"","Score":null,"Total":0}
引用次数: 0

Abstract

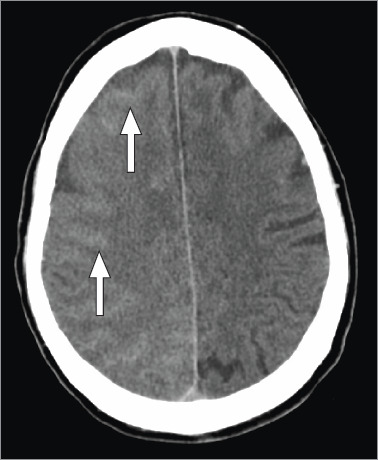
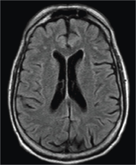
Acute transient contrast-induced neurologic deficit is an uncommon condition triggered by the administration of intra-arterial contrast during angiography. It can present with encephalopathy, cortical blindness, seizures, or focal deficits. This report describes a patient who presented with severe neurologic deficits after percutaneous coronary intervention, with complete symptom resolution within 72 hours.

Abstract Image

Abstract Image

经皮冠状动脉介入治疗并发症之一--急性一过性造影剂诱发的神经功能缺损。
急性一过性造影剂诱发的神经功能缺损是血管造影术中动脉内注射造影剂引发的一种不常见疾病。它可表现为脑病、皮质盲、癫痫发作或局灶性障碍。本报告描述了一名在经皮冠状动脉介入治疗后出现严重神经功能缺损的患者,其症状在 72 小时内完全消失。
本文章由计算机程序翻译,如有差异,请以英文原文为准。
求助全文
约1分钟内获得全文 求助全文
来源期刊
Texas Heart Institute Journal
Texas Heart Institute Journal CARDIAC & CARDIOVASCULAR SYSTEMS-
自引率
11.10%
发文量
131
期刊介绍: For more than 45 years, the Texas Heart Institute Journal has been published by the Texas Heart Institute as part of its medical education program. Our bimonthly peer-reviewed journal enjoys a global audience of physicians, scientists, and healthcare professionals who are contributing to the prevention, diagnosis, and treatment of cardiovascular disease. The Journal was printed under the name of Cardiovascular Diseases from 1974 through 1981 (ISSN 0093-3546). The name was changed to Texas Heart Institute Journal in 1982 and was printed through 2013 (ISSN 0730-2347). In 2014, the Journal moved to online-only publication. It is indexed by Index Medicus/MEDLINE and by other indexing and abstracting services worldwide. Our full archive is available at PubMed Central. The Journal invites authors to submit these article types for review: -Clinical Investigations- Laboratory Investigations- Reviews- Techniques- Coronary Anomalies- History of Medicine- Case Reports/Case Series (Submission Fee: $70.00 USD)- Images in Cardiovascular Medicine (Submission Fee: $35.00 USD)- Guest Editorials- Peabody’s Corner- Letters to the Editor
×
引用
GB/T 7714-2015
复制
MLA
复制
APA
复制
导出至
BibTeX EndNote RefMan NoteFirst NoteExpress
×
提示
您的信息不完整,为了账户安全,请先补充。
现在去补充
×
提示
您因"违规操作"
具体请查看互助需知
我知道了
×
提示
确定
请完成安全验证×
copy
已复制链接
快去分享给好友吧!
我知道了
右上角分享
点击右上角分享
0
联系我们:info@booksci.cn Book学术提供免费学术资源搜索服务,方便国内外学者检索中英文文献。致力于提供最便捷和优质的服务体验。 Copyright © 2023 布克学术 All rights reserved.
京ICP备2023020795号-1
ghs 京公网安备 11010802042870号
Book学术文献互助
Book学术文献互助群
群 号:604180095
Book学术官方微信