Association of Preoperative Osteoporotic Vertebral Compression Fractures with Muscle Atrophy in Lumbar Spinal Stenosis: A Retrospective Cohort Study.

IF 1.5
Progress in rehabilitation medicine Pub Date : 2024-03-29 eCollection Date: 2024-01-01 DOI:10.2490/prm.20240011
Kenta Suzuki, Yasuaki Mizoguchi, Yuki Hasebe, Fumihiko Kimura, Kazuo Saita, Satoshi Ogihara
{"title":"Association of Preoperative Osteoporotic Vertebral Compression Fractures with Muscle Atrophy in Lumbar Spinal Stenosis: A Retrospective Cohort Study.","authors":"Kenta Suzuki, Yasuaki Mizoguchi, Yuki Hasebe, Fumihiko Kimura, Kazuo Saita, Satoshi Ogihara","doi":"10.2490/prm.20240011","DOIUrl":null,"url":null,"abstract":"<p><strong>Objectives: </strong>Osteoporotic vertebral compression fractures (OVCFs) are common in older individuals and lead to pain, spinal deformities, and limited mobility. Paraspinal muscle function correlates with fracture severity, and this association may be more significant in patients with lumbar spinal stenosis (LSS). However, studies on the effects of OVCFs are lacking. This study aimed to investigate the relationship between OVCFs, fat infiltration, and muscle atrophy in patients with LSS.</p><p><strong>Methods: </strong>This study included 177 patients with preoperative LSS, of whom 16 had OVCFs and 161 did not. Lumbar lordosis angle, fat infiltration, and paraspinal muscle atrophy were evaluated in these patients. Information on patient characteristics such as smoking, diabetes, hemodialysis, steroid use, American Society of Anesthesiologists score, and bladder or bowel dysfunction were obtained from medical records. Logistic regression analysis was conducted to identify factors independently associated with OVCF.</p><p><strong>Results: </strong>Patients in the OVCF group were significantly older (P=0.006) than those without fractures, and a higher proportion of the OVCF group showed muscle atrophy (P=0.034). Significant variables and those with moderate effect sizes were included in the logistic regression analysis. Muscle atrophy (P=0.028) was independently associated with OVCF.</p><p><strong>Conclusions: </strong>Muscle atrophy was associated with preoperative OVCFs in patients with LSS. Identifying OVCFs in these patients may underscore the importance of tailored treatment and rehabilitation strategies for the paraspinal muscles.</p>","PeriodicalId":74584,"journal":{"name":"Progress in rehabilitation medicine","volume":"9 ","pages":"20240011"},"PeriodicalIF":1.5000,"publicationDate":"2024-03-29","publicationTypes":"Journal Article","fieldsOfStudy":null,"isOpenAccess":false,"openAccessPdf":"https://www.ncbi.nlm.nih.gov/pmc/articles/PMC10984831/pdf/","citationCount":"0","resultStr":null,"platform":"Semanticscholar","paperid":null,"PeriodicalName":"Progress in rehabilitation medicine","FirstCategoryId":"1085","ListUrlMain":"https://doi.org/10.2490/prm.20240011","RegionNum":0,"RegionCategory":null,"ArticlePicture":[],"TitleCN":null,"AbstractTextCN":null,"PMCID":null,"EPubDate":"2024/1/1 0:00:00","PubModel":"eCollection","JCR":"","JCRName":"","Score":null,"Total":0}
引用次数: 0

Abstract

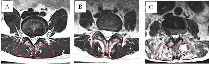
Objectives: Osteoporotic vertebral compression fractures (OVCFs) are common in older individuals and lead to pain, spinal deformities, and limited mobility. Paraspinal muscle function correlates with fracture severity, and this association may be more significant in patients with lumbar spinal stenosis (LSS). However, studies on the effects of OVCFs are lacking. This study aimed to investigate the relationship between OVCFs, fat infiltration, and muscle atrophy in patients with LSS.

Methods: This study included 177 patients with preoperative LSS, of whom 16 had OVCFs and 161 did not. Lumbar lordosis angle, fat infiltration, and paraspinal muscle atrophy were evaluated in these patients. Information on patient characteristics such as smoking, diabetes, hemodialysis, steroid use, American Society of Anesthesiologists score, and bladder or bowel dysfunction were obtained from medical records. Logistic regression analysis was conducted to identify factors independently associated with OVCF.

Results: Patients in the OVCF group were significantly older (P=0.006) than those without fractures, and a higher proportion of the OVCF group showed muscle atrophy (P=0.034). Significant variables and those with moderate effect sizes were included in the logistic regression analysis. Muscle atrophy (P=0.028) was independently associated with OVCF.

Conclusions: Muscle atrophy was associated with preoperative OVCFs in patients with LSS. Identifying OVCFs in these patients may underscore the importance of tailored treatment and rehabilitation strategies for the paraspinal muscles.

Abstract Image

Abstract Image

腰椎管狭窄症患者术前骨质疏松性椎体压缩骨折与肌肉萎缩的关系:回顾性队列研究
目的:骨质疏松性椎体压缩骨折(OVCF)在老年人中很常见,会导致疼痛、脊柱畸形和活动受限。脊柱旁肌肉功能与骨折严重程度相关,这种关联在腰椎管狭窄症(LSS)患者中可能更为显著。然而,目前还缺乏有关 OVCF 影响的研究。本研究旨在探讨腰椎管狭窄症患者OVCFs、脂肪浸润和肌肉萎缩之间的关系:本研究纳入了 177 名术前 LSS 患者,其中 16 人有 OVCF,161 人没有。对这些患者的腰椎前凸角度、脂肪浸润和脊柱旁肌肉萎缩情况进行了评估。从病历中获取了患者的特征信息,如吸烟、糖尿病、血液透析、类固醇使用、美国麻醉医师协会评分、膀胱或肠道功能障碍等。进行了逻辑回归分析,以确定与 OVCF 独立相关的因素:OVCF组患者的年龄明显大于无骨折组(P=0.006),OVCF组中出现肌肉萎缩的比例更高(P=0.034)。显著变量和影响大小适中的变量被纳入逻辑回归分析。肌肉萎缩(P=0.028)与OVCF独立相关:结论:肌肉萎缩与 LSS 患者术前的 OVCF 相关。在这些患者中识别 OVCF 可能会强调针对脊柱旁肌肉的定制治疗和康复策略的重要性。
本文章由计算机程序翻译,如有差异,请以英文原文为准。
求助全文
约1分钟内获得全文 求助全文
来源期刊
自引率
0.00%
发文量
0
×
引用
GB/T 7714-2015
复制
MLA
复制
APA
复制
导出至
BibTeX EndNote RefMan NoteFirst NoteExpress
×
提示
您的信息不完整,为了账户安全,请先补充。
现在去补充
×
提示
您因"违规操作"
具体请查看互助需知
我知道了
×
提示
确定
请完成安全验证×
copy
已复制链接
快去分享给好友吧!
我知道了
右上角分享
点击右上角分享
0
联系我们:info@booksci.cn Book学术提供免费学术资源搜索服务,方便国内外学者检索中英文文献。致力于提供最便捷和优质的服务体验。 Copyright © 2023 布克学术 All rights reserved.
京ICP备2023020795号-1
ghs 京公网安备 11010802042870号
Book学术文献互助
Book学术文献互助群
群 号:604180095
Book学术官方微信