Appendiceal Diverticulitis Mimics Cecal Diverticulitis Diagnosed Preoperatively.

IF 1.9 Q3 PATHOLOGY
Clinical Pathology Pub Date : 2024-04-19 eCollection Date: 2024-01-01 DOI:10.1177/2632010X241248909
Phu Cuong Pham, Hoang Anh Thi Van, Van Trung Hoang, The Huan Hoang, Duc Duy Nguyen, Duc Thanh Hoang
{"title":"Appendiceal Diverticulitis Mimics Cecal Diverticulitis Diagnosed Preoperatively.","authors":"Phu Cuong Pham, Hoang Anh Thi Van, Van Trung Hoang, The Huan Hoang, Duc Duy Nguyen, Duc Thanh Hoang","doi":"10.1177/2632010X241248909","DOIUrl":null,"url":null,"abstract":"<p><p>Appendiceal diverticulitis is an uncommon condition that clinically resembles acute appendicitis. However, it is an incidental finding in histopathological studies and is rarely diagnosed preoperatively by imaging studies. In this article, we present the clinical and imaging findings of a male patient presenting with right upper quadrant pain with a preoperative imaging diagnosis of appendiceal diverticulitis. He underwent laparoscopic appendectomy and confirmed the diagnosis of appendiceal diverticulitis. This is a rare preoperative diagnosis. The management is often like typical appendicitis which is appendectomy. It is important to differentiate it from diverticulitis of the small intestine or colon because these diseases usually require only conservative treatment.</p>","PeriodicalId":53204,"journal":{"name":"Clinical Pathology","volume":"17 ","pages":"2632010X241248909"},"PeriodicalIF":1.9000,"publicationDate":"2024-04-19","publicationTypes":"Journal Article","fieldsOfStudy":null,"isOpenAccess":false,"openAccessPdf":"https://www.ncbi.nlm.nih.gov/pmc/articles/PMC11032055/pdf/","citationCount":"0","resultStr":null,"platform":"Semanticscholar","paperid":null,"PeriodicalName":"Clinical Pathology","FirstCategoryId":"1085","ListUrlMain":"https://doi.org/10.1177/2632010X241248909","RegionNum":0,"RegionCategory":null,"ArticlePicture":[],"TitleCN":null,"AbstractTextCN":null,"PMCID":null,"EPubDate":"2024/1/1 0:00:00","PubModel":"eCollection","JCR":"Q3","JCRName":"PATHOLOGY","Score":null,"Total":0}
引用次数: 0

Abstract

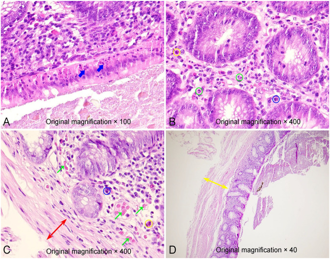
Appendiceal diverticulitis is an uncommon condition that clinically resembles acute appendicitis. However, it is an incidental finding in histopathological studies and is rarely diagnosed preoperatively by imaging studies. In this article, we present the clinical and imaging findings of a male patient presenting with right upper quadrant pain with a preoperative imaging diagnosis of appendiceal diverticulitis. He underwent laparoscopic appendectomy and confirmed the diagnosis of appendiceal diverticulitis. This is a rare preoperative diagnosis. The management is often like typical appendicitis which is appendectomy. It is important to differentiate it from diverticulitis of the small intestine or colon because these diseases usually require only conservative treatment.

Abstract Image

Abstract Image

术前诊断的阑尾憩室炎模仿盲肠憩室炎
阑尾憩室炎是一种不常见的疾病,临床上类似于急性阑尾炎。然而,它在组织病理学研究中只是偶然发现,很少在术前通过影像学检查确诊。在本文中,我们介绍了一名男性患者的临床和影像学检查结果,该患者因右上腹疼痛而在术前被影像学诊断为阑尾憩室炎。他接受了腹腔镜阑尾切除术,确诊为阑尾憩室炎。这是一种罕见的术前诊断。治疗方法通常与典型的阑尾炎相似,即阑尾切除术。重要的是要将其与小肠或结肠憩室炎区分开来,因为这些疾病通常只需要保守治疗。
本文章由计算机程序翻译,如有差异,请以英文原文为准。
求助全文
约1分钟内获得全文 求助全文
来源期刊
Clinical Pathology
Clinical Pathology PATHOLOGY-
CiteScore
2.20
自引率
7.70%
发文量
66
×
引用
GB/T 7714-2015
复制
MLA
复制
APA
复制
导出至
BibTeX EndNote RefMan NoteFirst NoteExpress
×
提示
您的信息不完整,为了账户安全,请先补充。
现在去补充
×
提示
您因"违规操作"
具体请查看互助需知
我知道了
×
提示
确定
请完成安全验证×
copy
已复制链接
快去分享给好友吧!
我知道了
右上角分享
点击右上角分享
0
联系我们:info@booksci.cn Book学术提供免费学术资源搜索服务,方便国内外学者检索中英文文献。致力于提供最便捷和优质的服务体验。 Copyright © 2023 布克学术 All rights reserved.
京ICP备2023020795号-1
ghs 京公网安备 11010802042870号
Book学术文献互助
Book学术文献互助群
群 号:604180095
Book学术官方微信