Hyaline cartilage at the portal plate and gallbladder in biliary atresia.

Q4 Medicine
Autopsy and Case Reports Pub Date : 2024-04-04 eCollection Date: 2024-01-01 DOI:10.4322/acr.2024.481
Sangamitra Rajasekaran, Hari Neupane, Monika Bawa, Uma Nahar Saikia, Sadhna Lal, Suvradeep Mitra
{"title":"Hyaline cartilage at the portal plate and gallbladder in biliary atresia.","authors":"Sangamitra Rajasekaran, Hari Neupane, Monika Bawa, Uma Nahar Saikia, Sadhna Lal, Suvradeep Mitra","doi":"10.4322/acr.2024.481","DOIUrl":null,"url":null,"abstract":"<p><p>Biliary atresia (BA) is a fibro-obliterative cholestatic disease of infancy. The presence of cartilage in the resected tissue is an uncommon finding. We documented the presence of both mature and immature hyaline cartilage in the portal plate and the wall of the gallbladder in a 2-month-old girl infant with BA who had undergone Kasai portoenterostomy. The presence of cartilage could be part of a heterotopia or an uncommon connective tissue metaplasia. The presence of immature cartilage with the merging of the perichondrium with the soft tissue highlights a metaplastic etiology in the index case.</p>","PeriodicalId":53117,"journal":{"name":"Autopsy and Case Reports","volume":"14 ","pages":"e2024481"},"PeriodicalIF":0.0000,"publicationDate":"2024-04-04","publicationTypes":"Journal Article","fieldsOfStudy":null,"isOpenAccess":false,"openAccessPdf":"https://www.ncbi.nlm.nih.gov/pmc/articles/PMC11021023/pdf/","citationCount":"0","resultStr":null,"platform":"Semanticscholar","paperid":null,"PeriodicalName":"Autopsy and Case Reports","FirstCategoryId":"1085","ListUrlMain":"https://doi.org/10.4322/acr.2024.481","RegionNum":0,"RegionCategory":null,"ArticlePicture":[],"TitleCN":null,"AbstractTextCN":null,"PMCID":null,"EPubDate":"2024/1/1 0:00:00","PubModel":"eCollection","JCR":"Q4","JCRName":"Medicine","Score":null,"Total":0}
引用次数: 0

Abstract

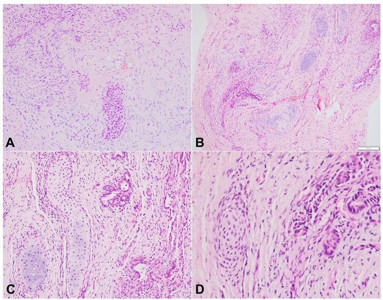
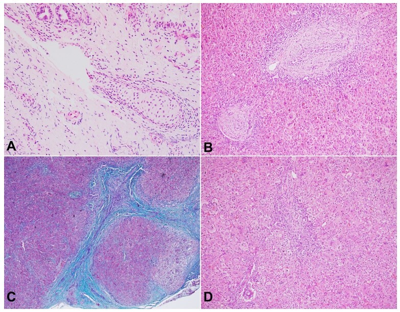
Biliary atresia (BA) is a fibro-obliterative cholestatic disease of infancy. The presence of cartilage in the resected tissue is an uncommon finding. We documented the presence of both mature and immature hyaline cartilage in the portal plate and the wall of the gallbladder in a 2-month-old girl infant with BA who had undergone Kasai portoenterostomy. The presence of cartilage could be part of a heterotopia or an uncommon connective tissue metaplasia. The presence of immature cartilage with the merging of the perichondrium with the soft tissue highlights a metaplastic etiology in the index case.

Abstract Image

Abstract Image

胆道闭锁的门板和胆囊处的透明软骨。
胆道闭锁(BA)是一种婴儿期纤维盲性胆汁淤积症。在切除的组织中发现软骨并不常见。我们记录了一名 2 个月大的 BA 女婴的门板和胆囊壁上同时存在成熟和不成熟的透明软骨,她曾接受过葛西氏肠门造口术。软骨的存在可能是异位瘤或不常见的结缔组织增生的一部分。在该病例中,未成熟软骨的存在以及软骨周围与软组织的合并凸显了变构病的病因。
本文章由计算机程序翻译,如有差异,请以英文原文为准。
求助全文
约1分钟内获得全文 求助全文
来源期刊
Autopsy and Case Reports
Autopsy and Case Reports Medicine-Internal Medicine
CiteScore
1.20
自引率
0.00%
发文量
60
审稿时长
9 weeks
×
引用
GB/T 7714-2015
复制
MLA
复制
APA
复制
导出至
BibTeX EndNote RefMan NoteFirst NoteExpress
×
提示
您的信息不完整,为了账户安全,请先补充。
现在去补充
×
提示
您因"违规操作"
具体请查看互助需知
我知道了
×
提示
确定
请完成安全验证×
copy
已复制链接
快去分享给好友吧!
我知道了
右上角分享
点击右上角分享
0
联系我们:info@booksci.cn Book学术提供免费学术资源搜索服务,方便国内外学者检索中英文文献。致力于提供最便捷和优质的服务体验。 Copyright © 2023 布克学术 All rights reserved.
京ICP备2023020795号-1
ghs 京公网安备 11010802042870号
Book学术文献互助
Book学术文献互助群
群 号:604180095
Book学术官方微信